Pterygoid & Zygomatic Dental Implants in Burnaby, BC

Overcoming Bone Loss Challenges With Innovative Solutions

Has a previous dentist told you that jawbone deterioration prevents you from getting dental implants? If so, you might be experiencing several consequences due to this condition. These challenges can include a lack of support for your remaining teeth and potential changes in your facial structure.

Pterygoid and Zygomatic dental implants can be considered for patients with significant bone loss in the upper jawbone. Dr. Noroozi, our highly trained implant specialist at IMPrESS Perio Implant Center perform these procedures with expert skill levels and advanced techniques and technologies to create precise, predictable surgeries.

What Are Pterygoid Implants?

Pterygoid dental implants are anchored at a 45-degree angle into the pterygoid bone in the back of the upper jawbone. This type of implant is typically used when there is insufficient bone volume in the upper jawbone to support traditional dental implants.

Since the pterygoid bone is a strong and dense bone that provides excellent support for dental implants, doctors at Advanced Dental Implant Center can offer Pterygoid dental implants as a long-term solution to missing or damaged teeth.

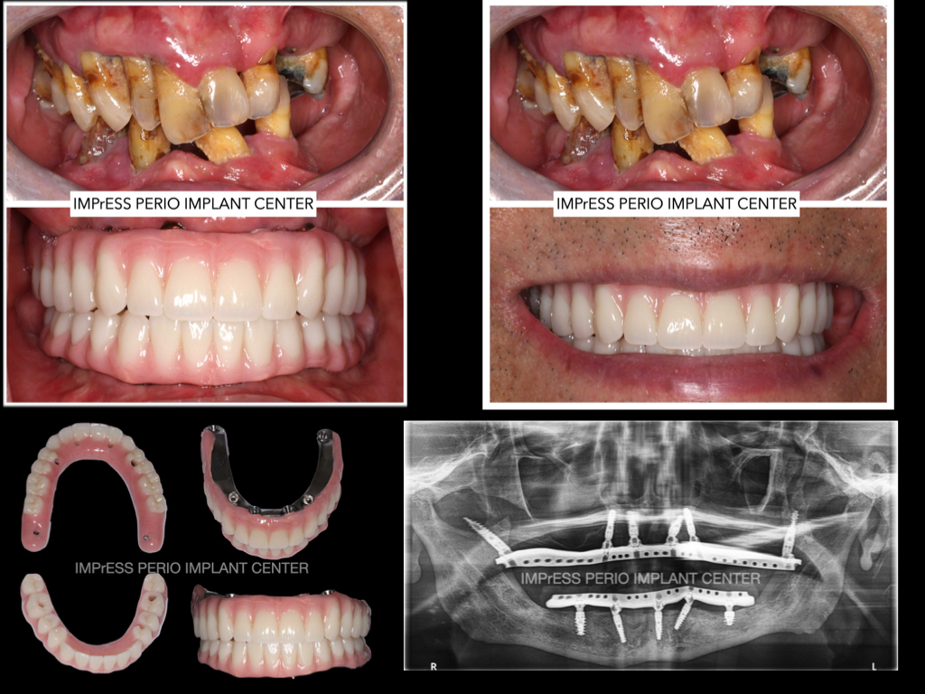
All On X Full Mouth Implants Fixed Teeth IMPrESS Perio Implant Centre Dr Noroozi Burnaby Vancouver BC

What Are Zygomatic Implants

Zygomatic dental implants are anchored into the zygomatic bone in the cheekbone area. This type of implant is also used in cases where there is not enough bone volume in the upper jawbone to support traditional implants. The zygomatic bone is longer and stronger than the jawbone and provides an excellent alternative to traditional implants in these cases.

A Solution for Sever Bone Loss Patients

Patients who suffer from severe bone loss are typically told they do not have enough bone for traditional dental implant surgery. With Pterygoid and Zygomatic implants, the impossible is now possible, and patients can benefit from enjoying their life with permanent teeth secured by implants.

Your Top Periodontal Services & Implants in Burnaby

Accepting new patients. Schedule Your Appointment today!

Our Top Procedures for Your Dental Health

A natural tooth consists of a root and a crown. If you compare natural teeth to implant-supported replacement teeth, you’ll see they have the same basic parts.

Pinhole Surgical Technique, breakthrough gum grafting alternative treatment for gum recessions…

A minimally invasive solution with a fixed full-arch implant restoration for high patient satisfaction, Fixed (Non-removable) Same-Day-Teeth, providing immediate function and aesthetics

Unlike with regular scalpel “gum surgery” there is no cutting of the gum tissues or sewing with stitches, so the whole experience is virtually pain free. Laser

Mehdi Noroozi, Periodontist, Implant Surgeon

For nearly two decades, Dr. Noroozi and his dedicated team have transformed the smiles of thousands of patients, delivering exceptional results with minimal discomfort, fewer complications, and quicker recovery times. As the founder and clinical director of IMPrESS Perio Implant Center, Dr. Noroozi leads a renowned practice specializing in advanced microsurgery and minimally invasive periodontal and dental implant procedures.

Faranak Zaeimdar, Prosthodontist

Dr. Zaeimdar is a Board Certified Specialist in Prosthetic Dentistry.

Nathalie Pauletto, Periodontist

Dr. Pauletto then graduated from the University of British Columbia in 1997, with a combined diploma in the specialty of Periodontics and a Masters of Clinical Dental Science, which involved […]