Dental Implants in Vancouver | Burnaby

What are dental implants?

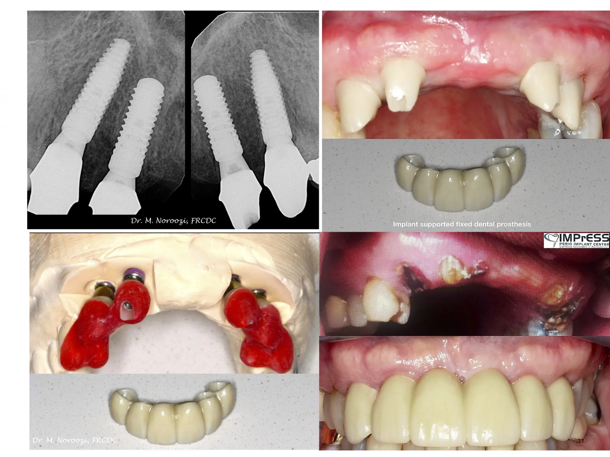
A natural tooth consists of a root and a crown. If you compare natural teeth to implant-supported replacement teeth, you’ll see they have the same basic parts. Both have a crown (the visible part used to chew food). Both have a root that holds the tooth securely under the gum and is anchored into the jaw. The difference is that the implant is made of titanium – the same time-tested material used by surgeons for artificial joints. Dr. Noroozi is renowned for his specialized interest in implantology. Implantology involves the replacement of missing teeth using one or more titanium screws. These screws help anchor or fix in place dentures, crowns or bridges.

Your Top Periodontal Services & Implants in Burnaby

Accepting new patients. Schedule Your Appointment today!

When you lose a tooth, you lose both the root and the crown. To replace the tooth, the surgeon first replaces the root with a  dental implant. Time is allowed for bone to heal and grow around the dental implant. The bone bonds with the titanium, creating a strong foundation for artificial teeth.  A support post (abutment) is then placed on the implant and a new replacement tooth (crown) is placed on top of the abutment. In many cases, a temporary replacement tooth can be attached to the implant immediately after it is placed. If all of your teeth are missing, a variety of treatment options are available to support the replacement teeth. 

IMPreSS Perio Vancouver Burnaby Implant Dentist Specialist Dr. Noroozi

Dental implants are nothing new. They have been used to permanently replace teeth since the mid-60s. Dental implants have many advantages compared to traditional crown and bridge solutions. If one or more of your teeth are missing, there are a number of ways to replace them. An alternative to bridges, partials, or complete dentures may be dental implants. Implants are used to replace missing roots and support artificial replacement teeth. They are comfortable and look like natural teeth. Computer Guided Dental Implant Surgery

Your Top Periodontal Services & Implants in Burnaby

Accepting new patients. Schedule Your Appointment today!

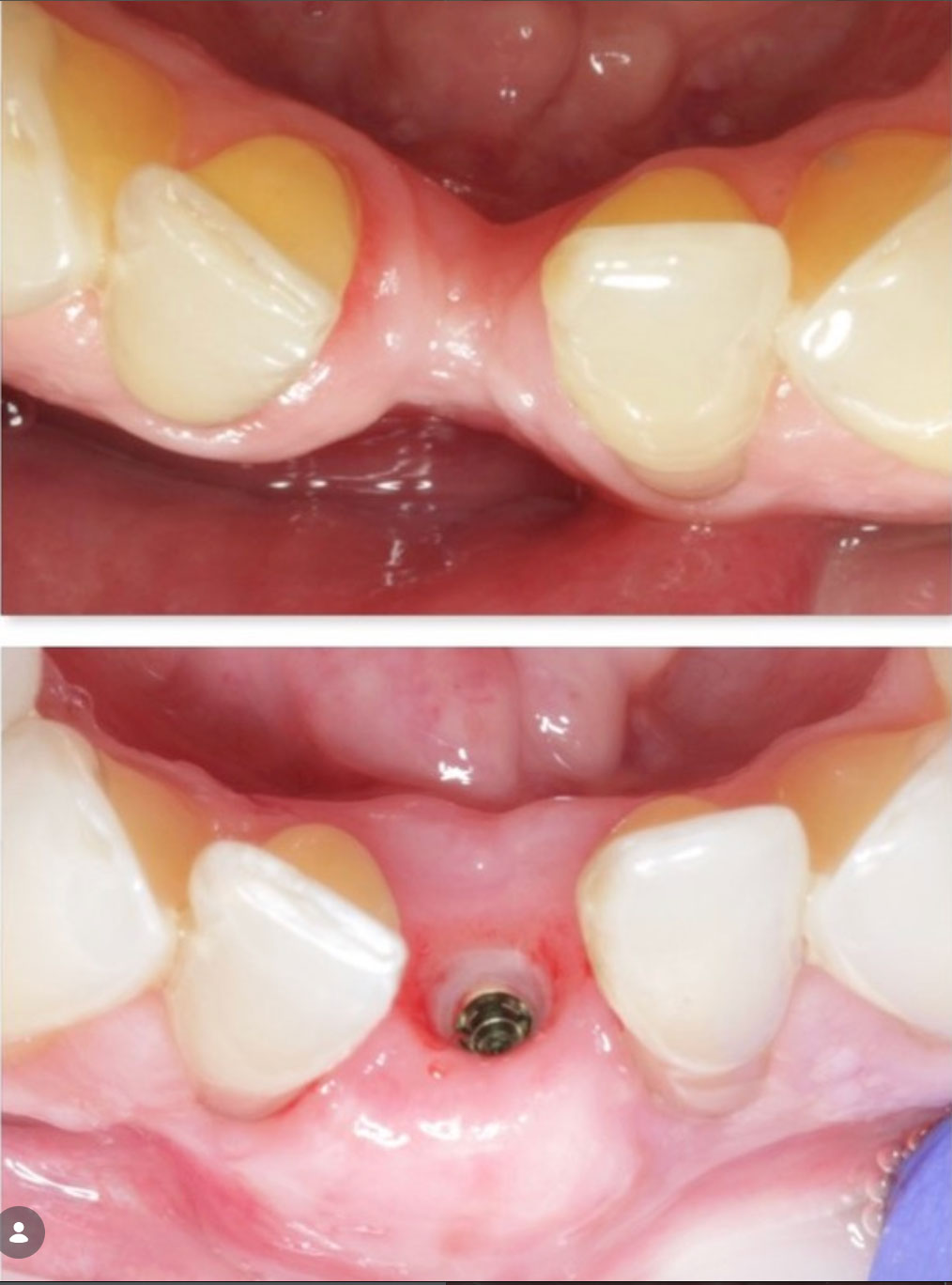
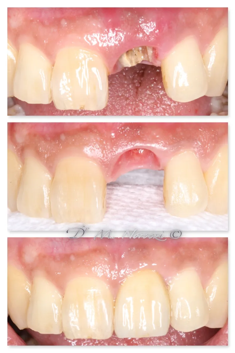
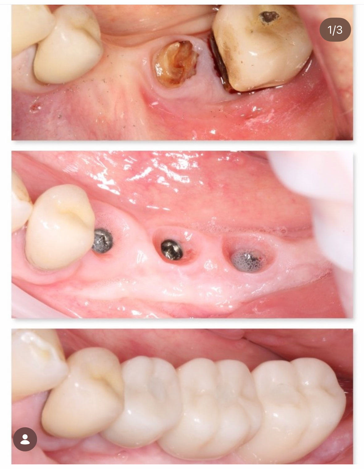
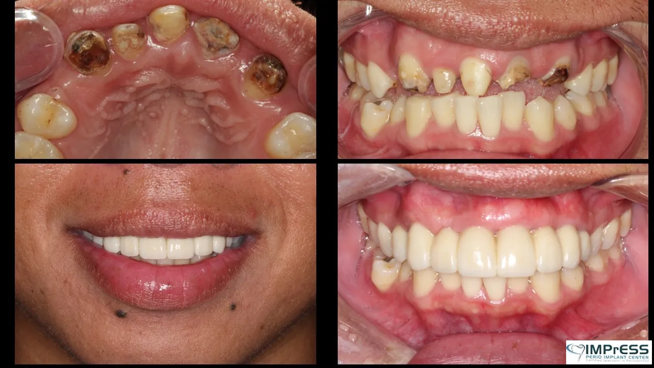
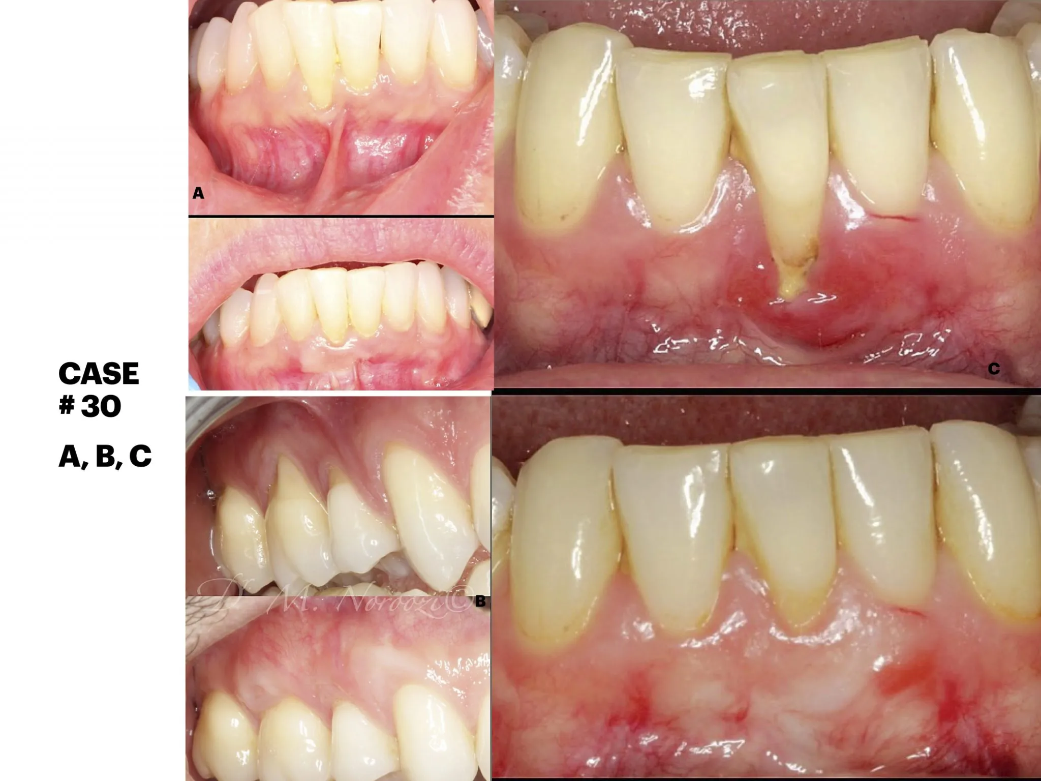
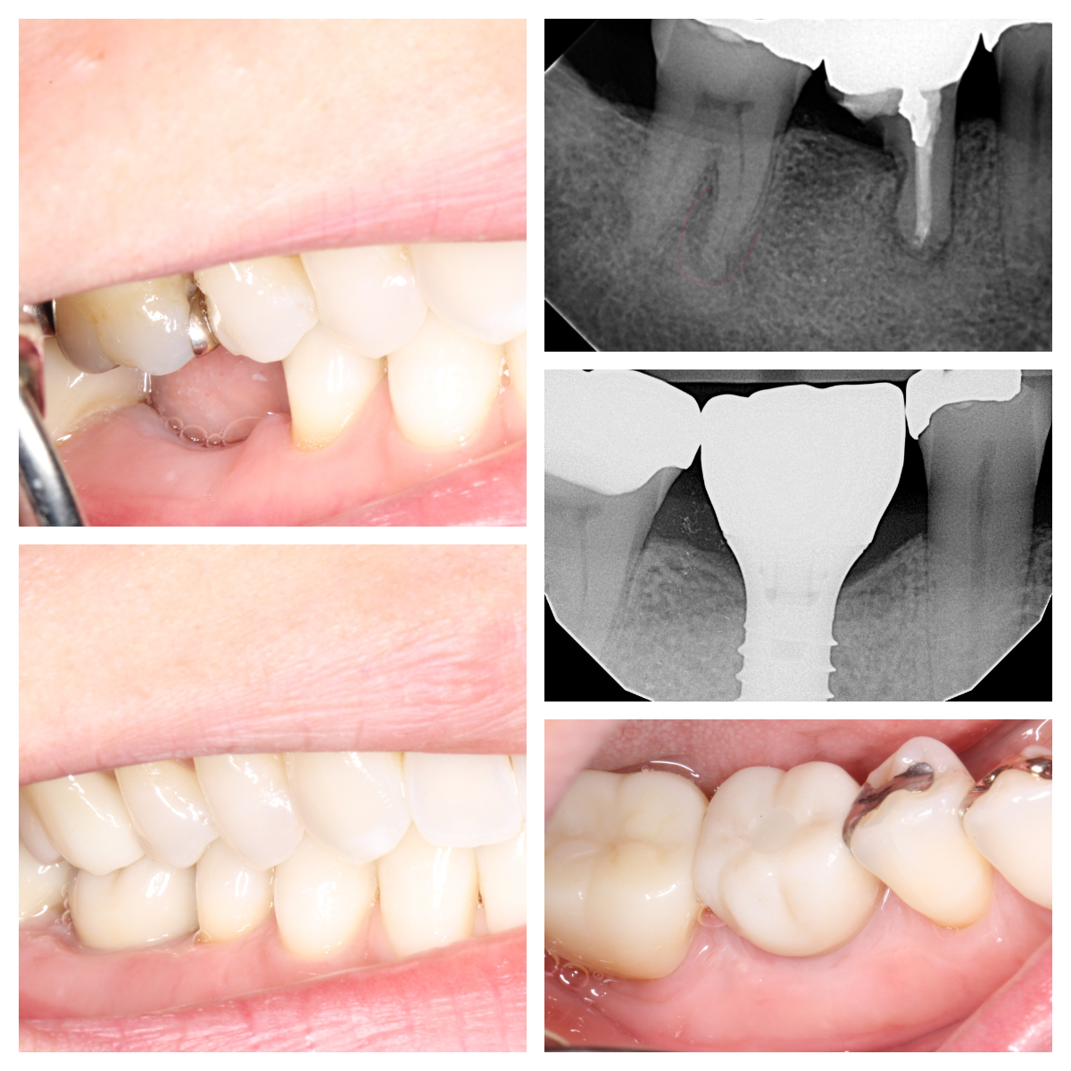
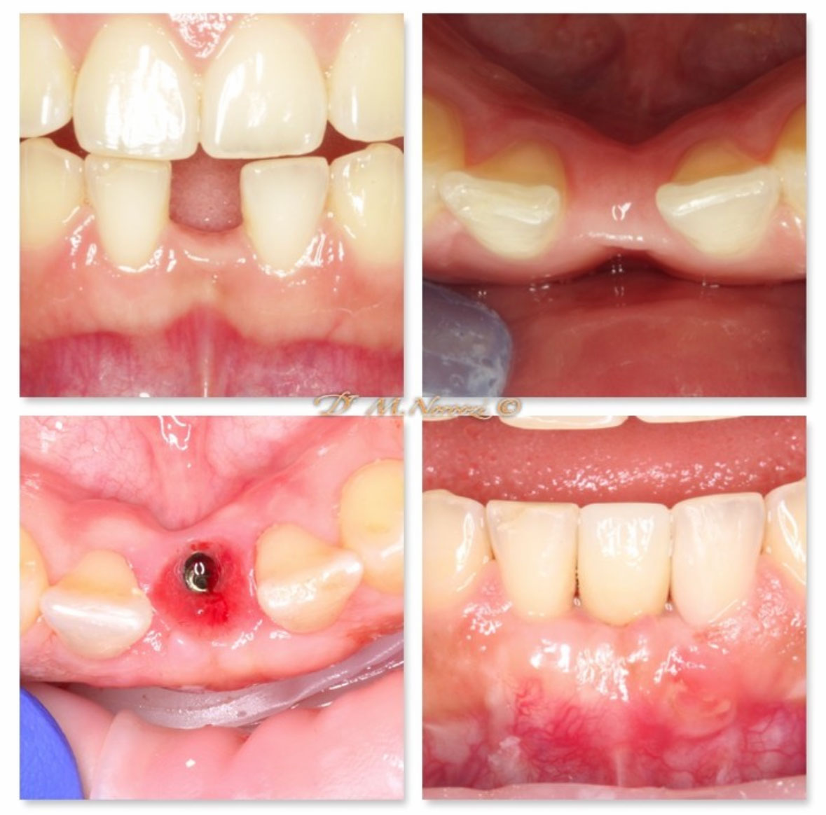
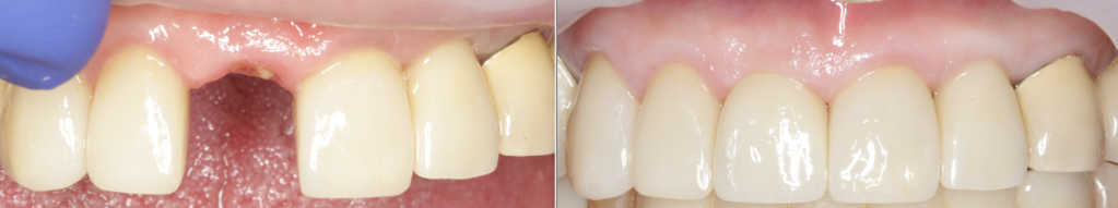
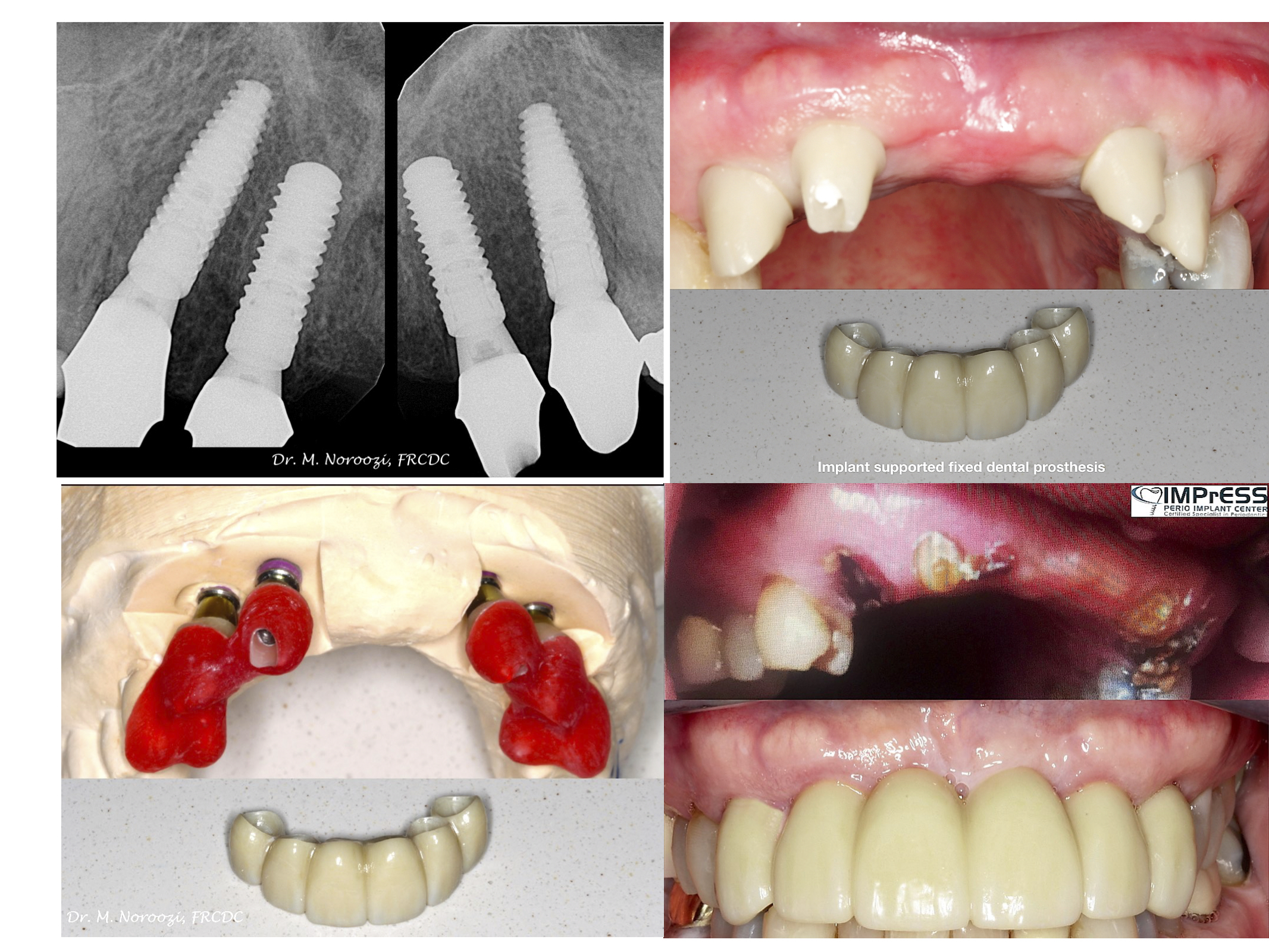
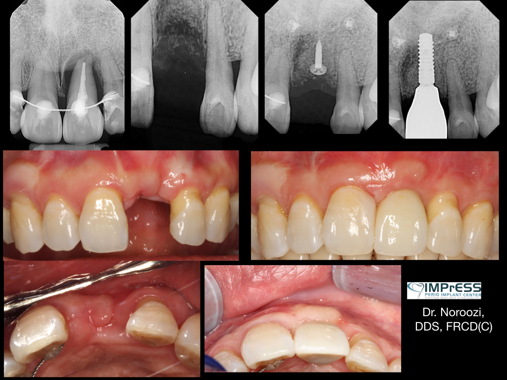
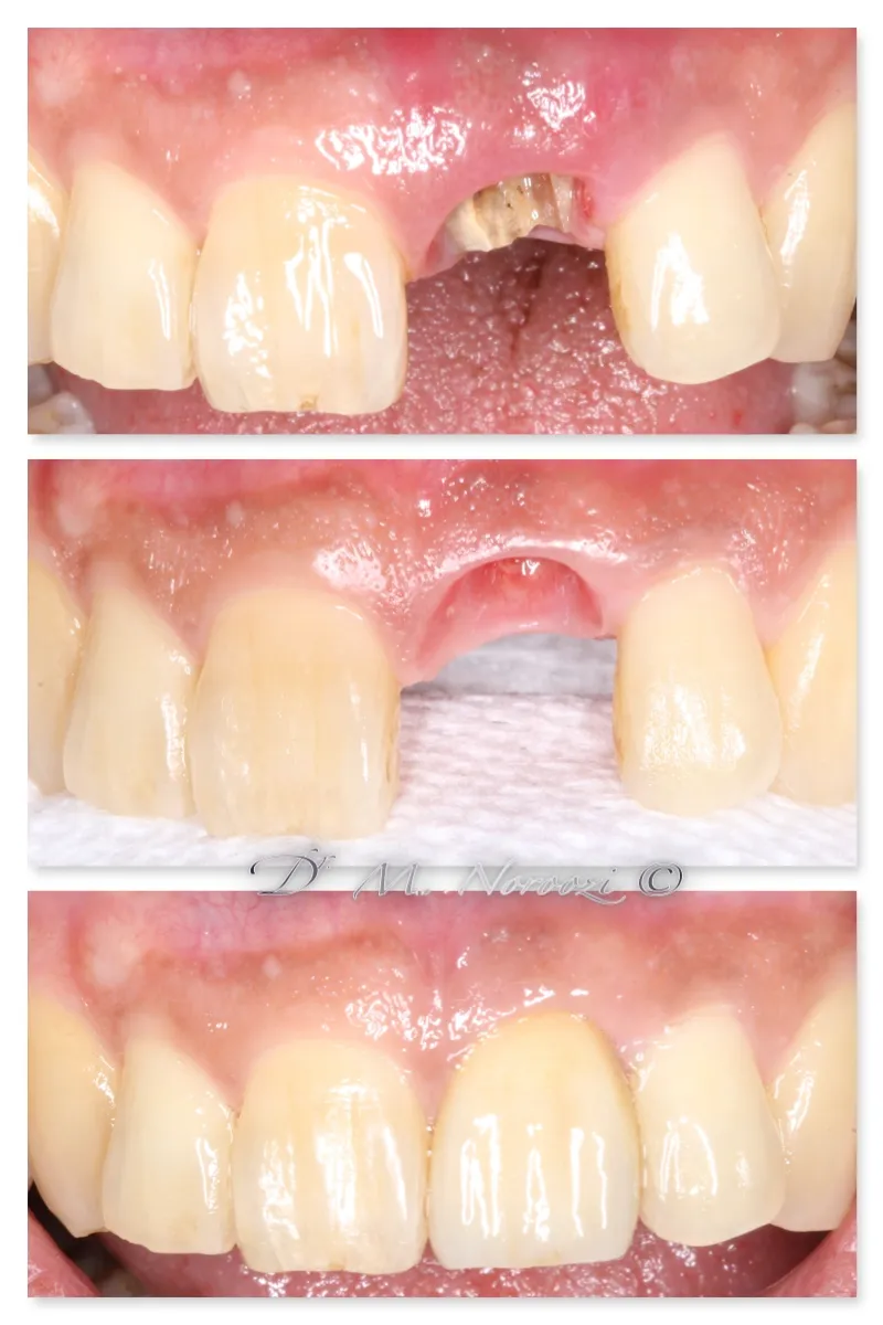
Before & Afters of Dental Implant Patients

Complete Dental Implant Cases Gallery

Six reasons why you should consider implants instead of other solutions for teeth replacement

  1. They look, feel, and function like your natural teeth.
  2. Healthy teeth do not need to be ground down to support dental implants.
  3. Anchoring dental implants in the jawbone stimulate bone tissue and gums, ensuring an attractive, aesthetic result while helping to maintain facial structures.
  4. Dental implants do not require any adhesives to hold the new teeth in place.
  5. They eliminate the discomfort and insecurity of loose, ill-fitting dentures.
  6. You have a secure and permanent tooth replacement.
Implants IMPrESS Perio Implant Center Dr. Noroozi Implant Specialist in Vancouver

Who does this procedure?

If you are having an implant, your dentist may refer you to a dental specialist who has further training in this area. Specialists who place implants are periodontists. Specialists who place crowns, bridges, and dentures on implants are called prosthodontists.

Who can get dental implants?

If you are in good general health, have healthy gums, and have enough bone in the jaw to hold an implant, dental implants might be right for you. If your jawbone has shrunk or if it has not developed normally, you may be able to have a bone graft to build up the bone. A bone graft is a way of adding new bone to your jawbone. Your dentist or dental specialist will tell you if bone grafting can be done.

How dental implants are done?

  • Your specialist will carefully examine your mouth and take x-rays of your head, jaw, and teeth to find out if dental implants are right for you.
  • During the first stage of surgery, your dentist or specialist will put a dental implant into your jawbone beneath the gum tissue. The gum tissue is then stitched back into place. As the tissue heals, the implant will bond with the bone and attach to the gum. It can take several months to heal.
  • During the second stage of surgery and once the tissue is healed, your dentist or specialist will attach an abutment to the implant. An abutment is a post that connects the replacement tooth to the implant. In some cases, the first and second stage of implant surgery may be done in one single stage.
  • An artificial replacement tooth is made and your dentist or specialist attaches it to the abutment. It may take several appointments to properly fit the replacement tooth to the abutment.
  • When replacing several teeth or all of your teeth, a fixed bridge is anchored to your dental implants. A bridge is a dental restoration that replaces one or more missing teeth by spanning an area that has no teeth. The bridge is held firmly in place by dental implants on each side of the missing tooth or teeth.

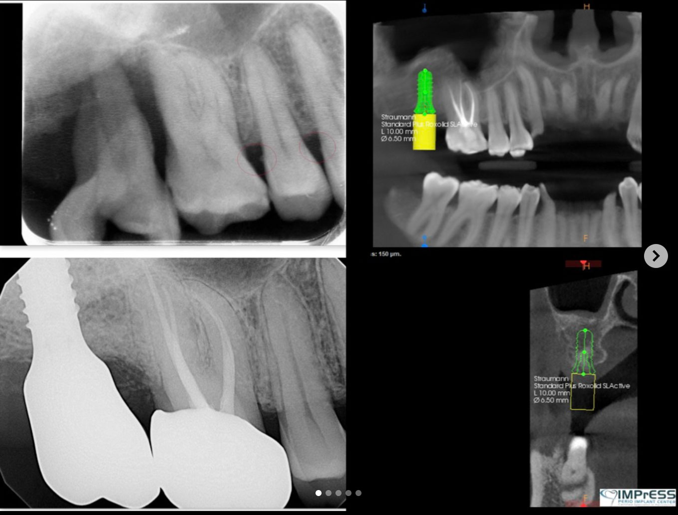
Surgical advances with SAME-DAY IMPLANTS in Vancouver BC

Using the most recent advances in dental implant technology, Dr. Noroozi is able to place single stage implants. These implants do not require a second procedure to uncover them but may require a minimum of six weeks of healing time before artificial teeth are placed. There are even situations where the implant can be placed at the same time as the tooth extraction and the artificial tooth can be inserted immediately following the implant placement – further minimizing your number of surgical procedures.

We use digital innovations to digitally plan implant placement to receive the most predictable outcome through:

  • Create radiographic and surgical templates from guided surgery software
  • Nerve detection, segmentation, and implant placement for prosthetic-driven implant planning with guided surgery software.
  • Precision surgical guided placement using restorative-driven three-dimensional imaging and planning allows for more predictable surgical placement.
  • High surface digital impression scanning and CAD/ CAM milling allows for precision design and modeling for improved accuracy of both the abutment and restorations. Combining these digital technologies allows us to plan and treat the patient in a more efficient manner with more predictable results.
Digital Implant Dentistry in Burnaby BC, IMPrESS Perio Implant Center

Caring for my dental implant(s)

Because dental implants are placed in the jawbone, artificial replacement teeth attached to implants look and act much like natural teeth. Like natural teeth, implants need to be kept clean using a toothbrush and floss. Your dentist will show you the proper cleaning procedure for implants. Regular dental checkups are important so your dentist can make sure that your bite is right and that your implants are not loose.

What to do if my dental implants have failed?

If you have dental implants from another practice that are failing or have failed we can help! Dr. Noroozi and IMPrESS team are experts in treating implant complications. Call our expert staff to schedule a consultation where our periodontist will examine the implants and discuss with you the options for repair or replacement.

What else should I know?

  • Several visits to your dentist or dental specialist may be needed until the process is done.
  • Checkups will be scheduled during the following year so your dentist can be sure your implants are working properly.
  • You will need to take very good care of your implants.
  • Implants can cost more than other kinds of replacement teeth and might not be covered by your dental plan. But in most cases, this is a one-time cost, unlike other kinds of tooth replacement procedures.

Dental implant treatment is sometimes a team effort between your periodontist and a restorative dentist.  Dr. Noroozi  at IMPrESS Perio Implant Center located in Burnaby BC performs the actual implant surgery, initial tooth extractions, and bone and gum grafting if necessary.  The restorative dentist (your dentist) or our specialists (if you do not have a dentist) will fit and make the permanent prosthesis. Your dentist or our specialists will also make any temporary prosthesis needed during the implant process.

Not all implants are created equal.

Straumann offers you important advantages for your missing teeth, with trusted products built on a foundation of quality, scientific research, and leading-edge technology. Why Choose Us?

Straumann Dental Implant Vancouver Implant Centre IMPrESS Perio Dr. Mehdi Noroozi Vancouver Periodontist

Worldwide Confidence, Worldwide Trust

Recognized as one of the leading providers of dental implants, more than 14 million Straumann implants have been sold to clinicians in over 70 countries. Rest assured that no matter where life takes you, care for you and your Straumann dental implants is nearby.

Clinical Excellence
Straumann dental implants are one of the most well-documented systems with more than 30 years of extensive scientific and clinical evidence – few implant companies can make that claim.

Swiss Quality and Precision
With Swiss precision engineering roots, Straumann implants and components are manufactured under exacting processes and held to the highest quality standards.

Supported by Science
Straumann dental implants have shown a 98.8% survival rate in long-term clinical studies.1 This 10-year survival rate (meaning the implant is still secure in a patient’s mouth) is one of the highest observed to date.

Leading implant surface and implant material
Straumann offers some of the most advanced dental implant surfaces and materials available, designed to shorten treatment times and make tooth replacement less intrusive.

  • Straumann SLActive® is an advanced implant surface designed to bond faster with bone, reduce healing time, and increase the predictability of implant treatment.
  • Straumann Roxolid® is the first Titanium Zirconium alloy designed for dental implants and provides improved strength2 over Straumann’s Titanium implants, offering a new option for patients with limited bone or narrow spaces between teeth.

Looking to read more? Learn more about the benefits of Straumann dental implants.

General Disclaimer: The results in the photographs are examples only and do not imply any certainty of the result of a procedure, and all outcomes are subject to the circumstances of the individual patient.

Our Top Procedures for Your Dental Health

A natural tooth consists of a root and a crown. If you compare natural teeth to implant-supported replacement teeth, you’ll see they have the same basic parts.

Pinhole Surgical Technique, breakthrough gum grafting alternative treatment for gum recessions…

A minimally invasive solution with a fixed full-arch implant restoration for high patient satisfaction, Fixed (Non-removable) Same-Day-Teeth, providing immediate function and aesthetics

Unlike with regular scalpel “gum surgery” there is no cutting of the gum tissues or sewing with stitches, so the whole experience is virtually pain free. Laser

Mehdi Noroozi, Periodontist, Implant Surgeon

For nearly two decades, Dr. Noroozi and his dedicated team have transformed the smiles of thousands of patients, delivering exceptional results with minimal discomfort, fewer complications, and quicker recovery times. As the founder and clinical director of IMPrESS Perio Implant Center, Dr. Noroozi leads a renowned practice specializing in advanced microsurgery and minimally invasive periodontal and dental implant procedures.

Faranak Zaeimdar, Prosthodontist

Dr. Zaeimdar is a Board Certified Specialist in Prosthetic Dentistry.

Nathalie Pauletto, Periodontist

Dr. Pauletto then graduated from the University of British Columbia in 1997, with a combined diploma in the specialty of Periodontics and a Masters of Clinical Dental Science, which involved […]