Dental Technology

IMPrESS Perio Implant Center utilizes the technological advances to insure your treatment is successful yet comfortable.

Your Top Periodontal Services & Implants in Burnaby

Accepting new patients. Schedule Your Appointment today!

Surgically Clean Air Purifiers

Surgically Clean Air IMPrESS Perio Implant CenterIMPrESS Perio Implant Center uses Surgically Clean Air high-end premium purifiers to remove toxins, pollutants, and airborne contaminants from our office. By using a six-stage purification system of filters and UV lights, we ensure that the air you breathe is clean, healthy, and odor-free. 

Stages 1 and 2 remove large and microscopic air contaminates. Stage 3 absorbs unhealthy odors, chemicals, and gases. Stages 4 and 5 kill bacteria and viruses, while stage 6 re-energizes the clean air before circulating it back into the room. Breath easy. The air at IMPrESS Perio Implant Center is pure and clean, with your health in mind.

Sterilization

At IMPrESS Perio Implant Center, patient health and safety is our number one priority. We go to great lengths to make sure that the care you receive is in as clean an environment as possible, we have invested in state of the art sterilization and infection control procedures.

Digital Radiography

is a form of x-ray imaging where digital X-ray sensors are used instead of traditional photographic film. Advantages include time efficiency through bypassing chemical processing and the ability to digitally transfer and enhance images. Also, less radiation can be used to produce an image of similar contrast to conventional radiography. Instead of X-ray film, digital radiography uses a digital image capture device (sensor). This gives advantages of immediate image preview and availability as well as the ability to apply special image processing techniques that enhance the overall display of the image.

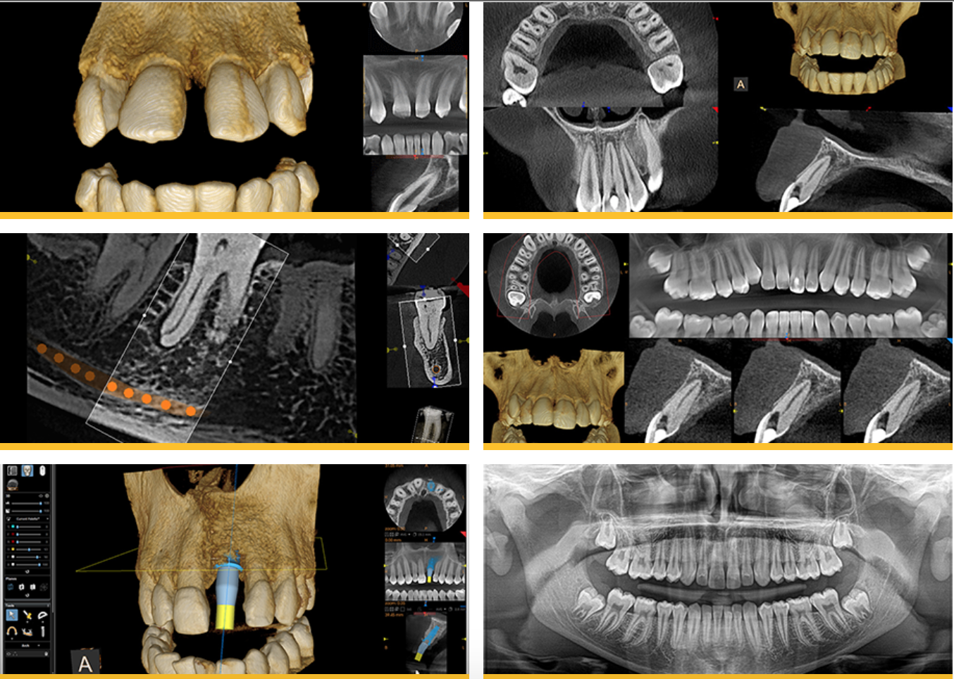
Cone Beam CT Scanning & Computer-Guided Implant Planning

Dental CT 3D imaging is becoming the standard of care in dental implantology. This 3D radiographic image provides a detailed mapping of the anatomy so that implants can be placed more quickly, more accurately, and with a much higher level of comfort and safety. Quality, predictability, and reliability of treatment is our priority at IMPrESS Perio Implant Center. In implant dentistry, we are able to provide all that with the use of the CT scan and planning software in our office.

Intraoral Scanner for Digital Impression

Digital impressions allows dentists to create a virtual, computer-generated replica of the hard and soft tissues in the mouth using optical scanning devices. The digital technology captures clear and highly accurate impression data in mere minutes, without the need for traditional impression materials that some patients find inconvenient and messy. Many patients find digital impressions an easier and more comfortable procedure because traditional impression materials are avoided. The impression information then is transferred to a computer and used to create restorations, often without the need for stone models.

NSK Variosurge Ultrasonic

Piezoelectric Surgical Unit
The Variosurge surgical unit is used by Dr. Noroozi during surgical procedures where the bone needs to be altered while preserving soft tissue, nerves. and arteries. It has the highest power on the market and ensures fast and safe bone surgery. This technology is less detrimental to bone healing than the traditional use of rotary instruments. Read more…

Cavitron® 300 Series
Less heat, less water, and greater patient comfort.

Cavitron products have long been the leader in ultrasonic scaling units. With a legacy of quality and performance, the Cavitron family of products continues to innovate to meet all of your ultrasonic scaling needs. The Cavitron 300 Series Ultrasonic Scaling System is the newest addition to the family of Cavitron Systems. Our most efficient system ever!

  • The digital operating system produces less heat, requiring less water for better patient comfort*
  • Quieter than other ultrasonic systems for patient comfort

AIRFLOW PERIO®

Air polishing is a procedure which uses air and water pressure to deliver a controlled stream of specially processed sodium bicarbonate or glycine powders in a slurry through the handpiece nozzle. Fine particles of powders are propelled by compressed air in a warm spray and directed onto the surfaces of the teeth. This pressurized jet of air, water and powder removes surface stains, plaque and other soft deposits such as food particles trapped in between the teeth.

Indications for the use of air polishing devices include general post-scaling prophylaxis, cleaning of deep fissures, interproximal cleaning, surface cleaning (stains and dental plaque removal), surface cleaning, tooth cleaning before fluoridation, and removal of temporary cement residues. The literature overwhelmingly supports the use of an air-polishing device as an efficient and effective means of removing stain and plaque from tooth surfaces. Air polishing requires less time than traditional polishing methods and is considered an equally safe, sometimes superior, alternative. Most investigators agree that intact enamel surfaces are not damaged when stain removal is performed by means of an air-polishing device. In short, air polishing is believed to be the least damaging and most efficient means of removing stain on enamel. Today’s scientific literature on the use of AIR-FLOW in periodontology can be summarized as follows: The indication of the use of AIR-FLOW was expanded by the development of new glycine-based powders. Thus, AIR-FLOW can also be used subgingivally to remove biofilm in the context of periodontal maintenance therapy on natural teeth and implants. Clinical as well as microbial parameters show that AIR-FLOW, compared with other biofilm management methods, is efficient, reliable, safe, time-saving and gentle on tissues. Treatment is also associated with greater patient comfort.

Autogenous Concentrated Growth Factors (A-PRF, L-PRF)

During surgery, Dr. Noroozi utilizes a variety of treatment modalities. Among them are concentrated growth factors such as PRF/L-PRF and/or Emdogain, a protein-based gel that is designed to promote predictable regeneration of lost periodontal hard and soft tissues caused by periodontitis, helping to save and preserve the tooth and also to reconstruct bone for dental implants. GEM 21S® Growth-factor Enhanced Matrix: innovative tissue engineering principles which combine a bioactive protein with a bone stimulating matrix. This completely synthetic grafting system is engineered to stimulate wound healing and bone regeneration by triggering a cascade of molecular events when implanted into the body that continues on even after the implanted material is gone. Read more…

Needle-Free Anaesthesia with Oraqix

Administered with a blunt-tipped applicator, the fast-acting gel is applied below the gum line within the periodontal pockets. Its numbing effect takes place within 30 seconds and lasts approximately 20 minutes.

At IMPrESS Perio Implant Center, all Treatment rooms are outfitted with a closed water system. This system uses distilled water to prevent waterborne bacteria and viruses. There is no better way to have control of dental waterlines than with the use of self-contained water bottles on the dental units. This system is configured to feed distilled water to the handpieces, syringes, and ultrasonic scalers. Why is this done? Simply stated, it is to have control of water quality. Through the water bottles, we can also deliver sterilizing chemicals that can kill hazardous biofilms. Ultimately, the quality of water delivered to the patient’s mouth is the best, cleanest and healthiest water we can provide.

IV Sedation

We’ve taken the fear, anxiety, and pain out of dentistry. Intravenous sedation is an excellent example of our efforts to bring you the latest technology and help you to have a pleasant experience in our office.

IV Sedation Vancouver Periodontist Implant Dentist

Periowave is a painless, non-invasive photo disinfection procedure that can significantly improve treatment outcomes when combined with scaling and root planing. Periowave eliminates many of the harmful bacteria and toxins associated with periodontal disease. Periowave is approved for the treatment of chronic periodontitis, gingivitis, endodontics, and peri-implantitis disease.

It is a non-antibiotic therapy that rapidly destroys gram-negative oral pathogens without pain, heat, or surgery. Unlike thermal lasers that cut tissue, Periowave utilizes a cold (non-thermal) diode laser. It does not cause damage to root surfaces, dental materials, or surrounding tissues. Periowave does not exhibit any of the issues commonly associated with antibiotics, such as bacterial resistance, allergic or sensitivity reactions, opportunistic infections, or prolonged doses of medication.

BIOLASE WaterLase™ Laser Gum Therapy in Burnaby Vancouver BC

Dr. Noroozi is pleased to be a periodontist in Burnaby Vancouver BC who now offers highly effective BIOLASE WaterLase™ technology in his office. This laser gum surgery system is revolutionizing the way certain dental procedures are performed, including treatments for periodontal disease. Dr. Noroozi now offers BIOLASE WaterLase™ treatments to patients who would like to receive laser gum surgery as an alternative to more traditional oral surgery methods.

Picasso Lite Laser

is one of the most celebrated, endorsed, and awarded lasers in the industry. Its ease of use makes it the perfect solution for treating soft tissue.

Resonance Frequency Analysis Removes Doubts

Penguin RFA technology at IMPrESS Perio Implant Center verifies implant to bone integration and monitors the bond between a dental implant and surrounding bone. When attached to an implant, the MulTipegTM is forced to vibrate by exciting it with magnetic pulses. The frequency of the vibration is picked up by the instrument and translated into an ISQ scale value between 1 and 99. The higher the ISQ value, the better the stability. RFA measures implant stability as a function of interface stiffness and correlates with implant displacement, i.e. micro-mobility. The ISQ value is determined by the local bone density and is influenced by for instance implant placement technique, implant design, and healing time. It seems like implants with low and/or falling ISQ values pose an increased risk for failure compared with implants with high and/or increasing values.

Guided Biofilm Therapy (GBT)

Guided Biofilm Therapy is an evidence-based, systematic approach to dental hygiene that focuses on the complete removal of biofilm—the primary cause of cavities, gum disease, and peri-implant infections.

Unlike traditional cleaning methods, GBT:

  • Identifies biofilm using a disclosing agent
  • Removes it gently with airflow technology
  • Preserves healthy tooth structure and soft tissue
  • Enhances patient comfort and outcomes

It’s prevention done right—precise, predictable, and personalized.

Our Top Procedures for Your Dental Health

A natural tooth consists of a root and a crown. If you compare natural teeth to implant-supported replacement teeth, you’ll see they have the same basic parts.

Pinhole Surgical Technique, breakthrough gum grafting alternative treatment for gum recessions…

A minimally invasive solution with a fixed full-arch implant restoration for high patient satisfaction, Fixed (Non-removable) Same-Day-Teeth, providing immediate function and aesthetics

Unlike with regular scalpel “gum surgery” there is no cutting of the gum tissues or sewing with stitches, so the whole experience is virtually pain free. Laser