Porcelain Veneers in Burnaby, BC

Porcelain Veneers at IMPrESS Perio Implant Center

At IMPrESS Perio Implant Center, veneer treatment is planned by a specialist-led team with advanced training in prosthodontics, periodontics, and dental implants. This helps patients receive care that considers the full smile, not just the visible surface of the teeth.

Our Burnaby clinic serves patients from Vancouver, Burnaby, North Vancouver, West Vancouver, New Westminster, Coquitlam, Richmond, Surrey, and nearby Metro Vancouver communities.

If you are considering porcelain veneers, we can help you understand your options and build a treatment plan that suits your goals.

Book your consultation today to learn if porcelain veneers are right for your smile.

What Are Porcelain Veneers?

Porcelain veneers are thin shells of ceramic that bond directly to the front surfaces of the teeth. They are an ideal choice for improving your smile and have become increasingly popular due to their simplicity and versatility. As a cosmetic dental procedure, dental veneers create a brighter, whiter smile composed of more perfectly aligned and shapely teeth. Veneers are sometimes placed for cosmetic reasons alone, rather than for necessary health purposes. The translucent quality of today’s porcelain veneers provides a more natural look than what has been available to past generations. This allows a beautiful and natural-looking smile. Porcelain material is a perfect solution for the demands of your teeth.

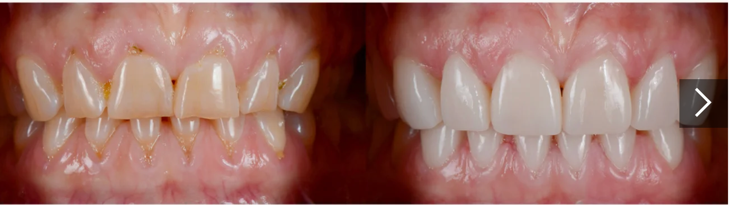
Before and After of Porcelain Veneers in Vancouver

Placing custom teeth veneers requires a high degree of technical skill as well as attention to cosmetic detail – skills that demonstrate the extensive training prosthodontists undergo. IMPrESS prosthodontist places veneers routinely and designs each case individually to match and enhance the characteristics of each patient’s smile.

Despite the cause of unattractive teeth, veneers alone have the ability to solve most, if not all, of your cosmetic concerns regarding your smile and existing teeth. These problems include:

Wear and Tear: Teeth naturally wear down as people age. Older teeth are more likely to have cracks, chips, or an uneven appearance.

Worn Enamel: The thin, hard white substance covering your teeth (enamel) may become worn, dulled, and discolored over time.

Uneven Teeth: Uneven length or width of teeth can be the result of teeth grinding or general wear.

Genetics: Certain people may be born with abnormal appearance of teeth or spacing between the teeth that grows wider as they age.

Will Porcelain Veneers Look Like Natural Teeth?

When bonded to the teeth, the ultra-thin porcelain veneers are virtually undetectable and highly resistant to coffee, tea, or even cigarette stains. For strength and appearance, their resemblance to healthy, white tooth enamel is unsurpassed by other restorative options.

How Long Do Porcelain Veneers Last?

With proper care, porcelain veneers will brighten your smile for well over a decade. Our Drs will ensure that your veneers are crafted from the highest quality porcelains and are bonded with the most advanced and proven materials available.

Refraining from using your veneers as tools to open and cut things will prolong their life and if accidental breakage or damage occurs, it is usually possible to replace only the veneer involved.

Custom Porcelain Veneers in Burnaby

At Impress Perio, we offer customized porcelain veneer services in Burnaby for patients seeking to improve their smile aesthetics. Veneers are thin, durable shells made from porcelain that are custom-designed to cover the front of your teeth, providing a perfect fit for your smile.

What Are Porcelain Veneers?

Porcelain veneers are an effective cosmetic dental treatment designed to correct imperfections like discoloration, chips, cracks, or uneven spacing. The treatment involves minimal removal of tooth enamel and results in a more aesthetically pleasing, symmetrical smile.

Why Opt for Porcelain Veneers?

Versatile: Fix multiple dental issues in one procedure.

Long-lasting: With proper care, porcelain veneers can last over a decade.

Natural look and feel: Porcelain veneers are designed to mimic the natural appearance of your teeth.

Quick results: Most patients achieve their desired results in just two visits.

Porcelain Veneer Procedure at Impress Perio

Consultation – We start with a comprehensive consultation to assess your goals.

Preparation – Your teeth are prepared by removing a small amount of enamel.

Impressions – Custom impressions are made to ensure the veneers fit perfectly.

Fitting – The porcelain veneers are placed, giving you a natural, flawless smile.

before and after veneers

Are Porcelain Veneers Right for You?

Porcelain veneers may be a good option if you want to improve the colour, shape, size, or symmetry of your teeth. 

Veneers are best suited for patients with healthy teeth and gums. If you have tooth decay, active gum disease, or bite concerns, these issues may need to be treated first. This helps create a stronger foundation for your veneers and supports a better long-term result.

At IMPrESS Perio Implant Center, your consultation includes a careful review of your teeth, gums, bite, and smile goals. This helps our team determine whether porcelain veneers are the right treatment or whether another option may better suit your needs.

Your Top Periodontal Services & Implants in Burnaby

Accepting new patients. Schedule Your Appointment today!

Our Top Procedures for Your Dental Health

A natural tooth consists of a root and a crown. If you compare natural teeth to implant-supported replacement teeth, you’ll see they have the same basic parts.

Pinhole Surgical Technique, breakthrough gum grafting alternative treatment for gum recessions…

A minimally invasive solution with a fixed full-arch implant restoration for high patient satisfaction, Fixed (Non-removable) Same-Day-Teeth, providing immediate function and aesthetics

Unlike with regular scalpel “gum surgery” there is no cutting of the gum tissues or sewing with stitches, so the whole experience is virtually pain free. Laser

Mehdi Noroozi, Periodontist, Implant Surgeon

For nearly two decades, Dr. Noroozi and his dedicated team have transformed the smiles of thousands of patients, delivering exceptional results with minimal discomfort, fewer complications, and quicker recovery times. As the founder and clinical director of IMPrESS Perio Implant Center, Dr. Noroozi leads a renowned practice specializing in advanced microsurgery and minimally invasive periodontal and dental implant procedures.

Faranak Zaeimdar, Prosthodontist

Dr. Zaeimdar is a Board Certified Specialist in Prosthetic Dentistry.

Nathalie Pauletto, Periodontist

Dr. Pauletto then graduated from the University of British Columbia in 1997, with a combined diploma in the specialty of Periodontics and a Masters of Clinical Dental Science, which involved […]