Case Studies

All materials and contents are courtesy of Dr. Mehdi Noroozi Inc and patients treated in his practice and subject to copyright. Not to be copied or duplicated for any purpose. 

General Disclaimer: The results in the photographs are examples only and do not imply any certainty of the result of a procedure, and all outcomes are subject to the circumstances of the individual patient.

“Join Dr. Noroozi on Instagram for updates, education, and real patient results.” 

IMPrESS Perio Implant Center Newsletter 2025

IMPrESS Perio Implant Center Newsletter 2023

IMPrESS Perio Newsletter 2022

IMPrESS Perio Newsletter April 2021

Sinus & Implant Surgery

Dental Implant Centre in Vancouver Burnaby Sinus Lift Dental implant Surgery Dr. Noroozi Implant Specialist IMPrESS Perio Implant Center.001
Sinus Lift, Bone Graft, Implants Dr. Noroozi IMPrESS Perio Implant Center
IMPrESS Perio Implant Center Dr. Noroozi Vancouver Periodontist Implant Specialist Burnaby BC

Bone Graft, Guided Bone Regeneration and Implants

Bone Graft Implants Dr Noroozi IMPRESS Perio Implant Center

Bone Graft, Guided Bone Regeneration and Implants

IMPrESS Perio Implant Center Dr. Noroozi Vancouver Periodontist Implant Specialist Burnaby BC

CBCT Guided Implant Surgery – Restoratively Driven Implants

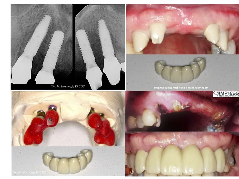
Multiple Dental Implants IMPrESS Perio Implant Center Burnaby Implant Specialist Vancouver Implant Center Dr. Mehdi Noroozi Implant Specialist in BC
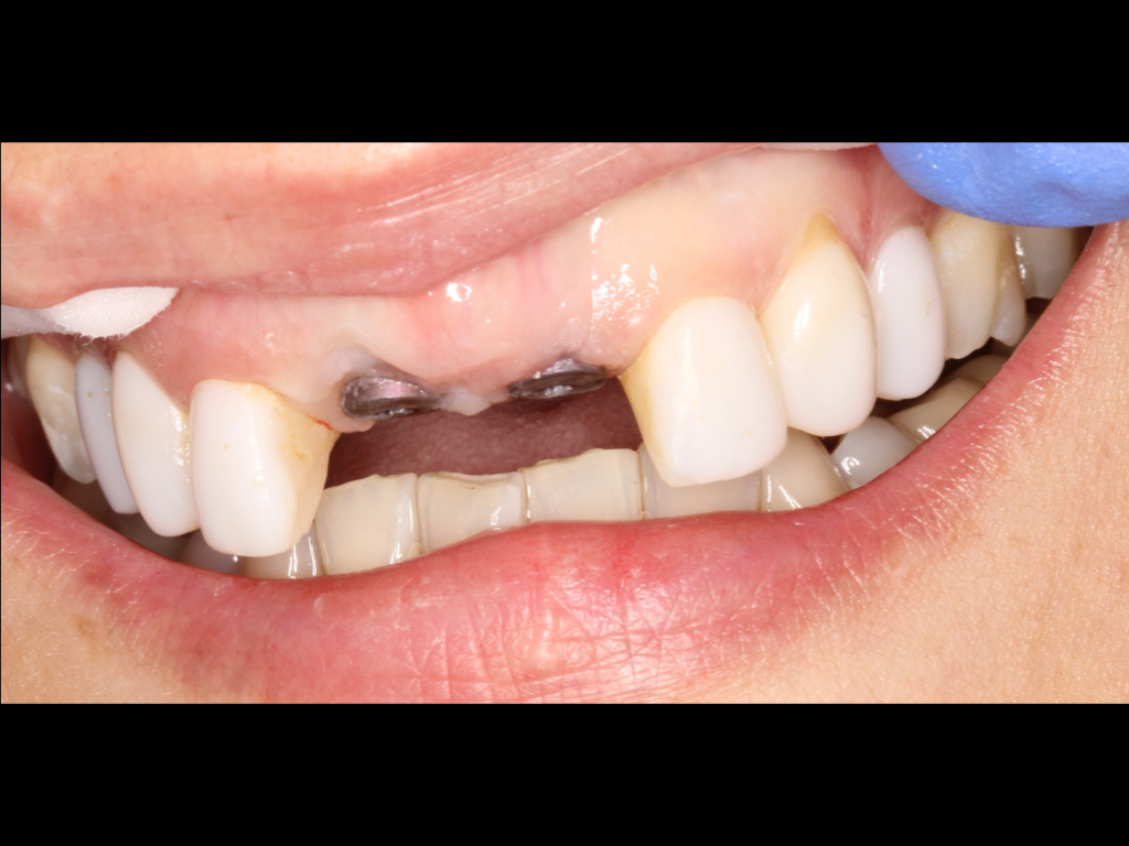
IMPrESS Perio Immediate upper front implants with partial extraction therapy, guided surgery and provisional and final crowns
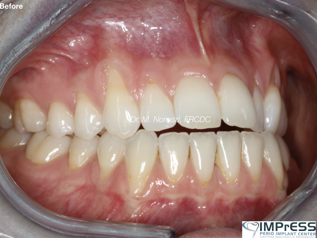
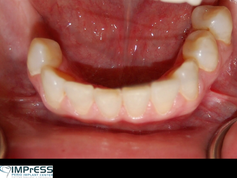
Front Teeth Dental Implants in Vancouver
Front tooth implant Esthetic implant dentist Implant specialist IMPrESS Perio Implant Center Dr. M. Noroozi Implant Specialist
Front Teeth Dental Implant Bridge by Vancouver Dr. Noroozi Implant Specialist
maxillary central and lateral incisor replacement with implant IMPrESS Perio Implant Center Dr. Noroozi Implant Specialist-Vancouver Burnaby BC.010
Implant dentistry bone and soft tissue grafting IMPrESS Perio Implant Center Dr. Mehdi Noroozi Implant Specialist Vancouver Burnaby BC
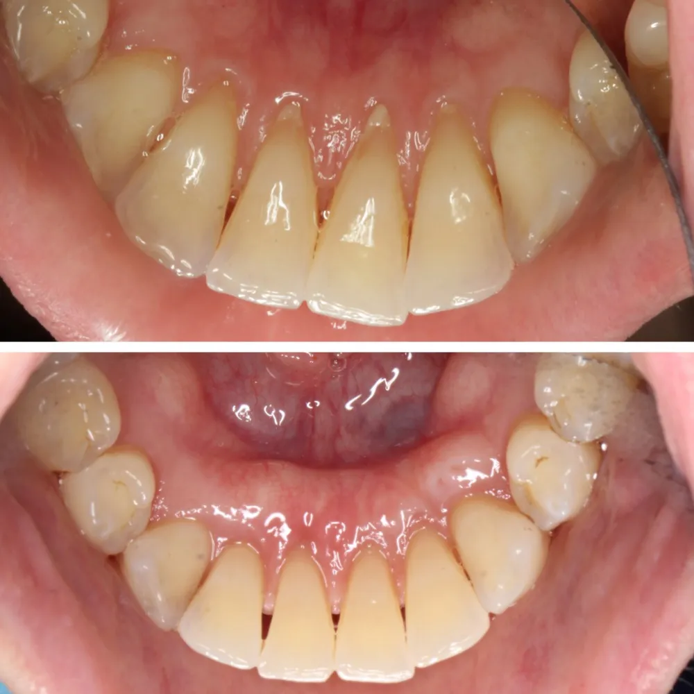
Congenitally missing teeth replacement with dental implants IMPrESS Perio Implant Center
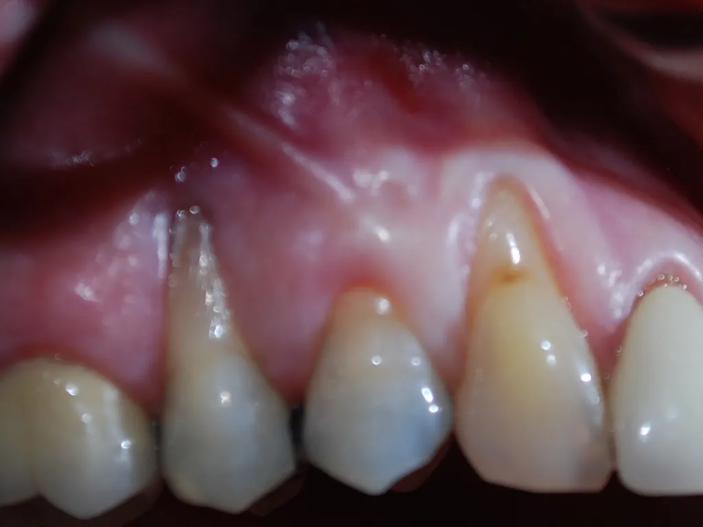
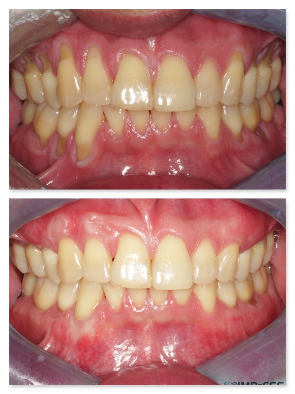
Aesthetic Crown Lengthening for Gummy Smile or Uneven Gum Line
Dental Implants Vancouver BC

Management of Implant Complications

Implant Complication Management
Porcelain Veneers By Burnaby Prosthodontist IMPrESS Perio Implant Center

Failing Dental Bridge Being Replaced by Dental Implants

Dr. Noroozi IMPrESS Perio Implant Center Vancouver and Burnaby Advanced Centre for Periodontics and Implant Dentistry
Dr. Noroozi IMPrESS Perio Implant Center Vancouver and Burnaby Advanced Centre for Periodontics and Implant Dentistry
Dr. Noroozi IMPrESS Perio Implant Center Vancouver and Burnaby Advanced Centre for Periodontics and Implant Dentistry
Dr. Noroozi IMPrESS Perio Implant Center Vancouver and Burnaby Advanced Centre for Periodontics and Implant Dentistry
Replacing Missing Teeth with Implants at IMPrESS Perio
before and after of implant bridge in Vancouver
Implant Tooth IMPRESS Perio Implant Center Burnaby Dental Clinic

Implant Complication Management

Implant complication management

“Beyond Repair: Transformative Bone Grafting and Implant Therapy for Devastating Anterior Teeth Loss”

Dr Noroozi IMPrESS Perio Implant Center Bone Grafting for Dental Implants Khoury Technique

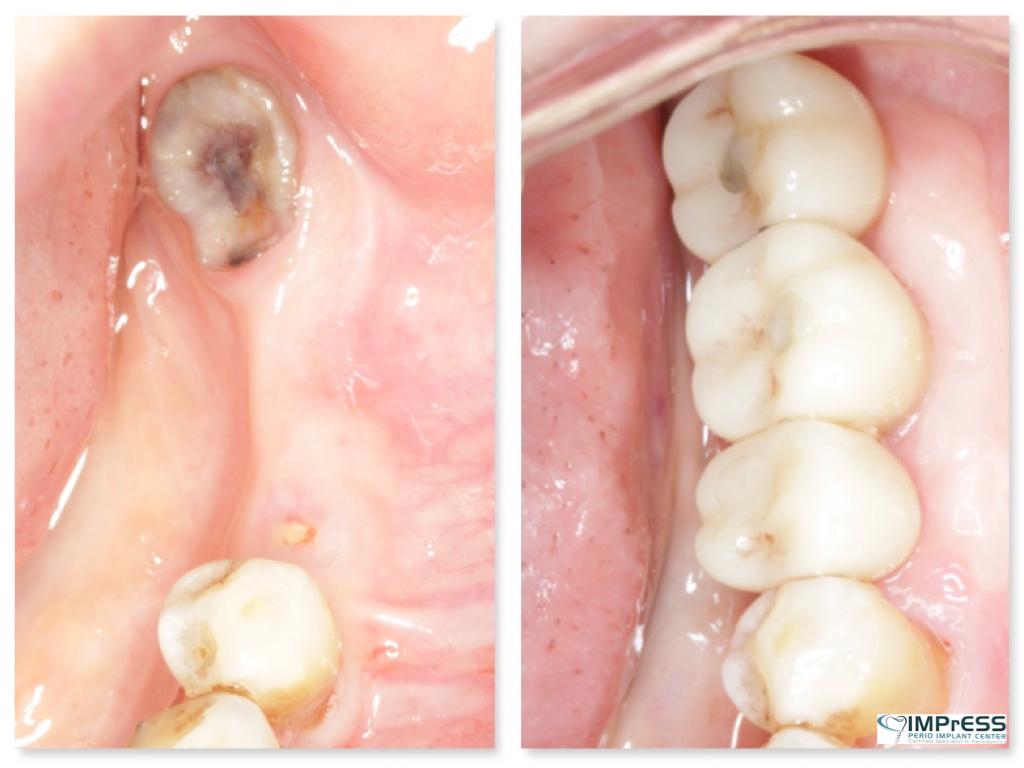
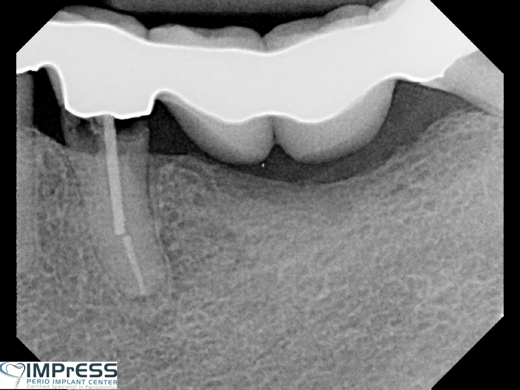
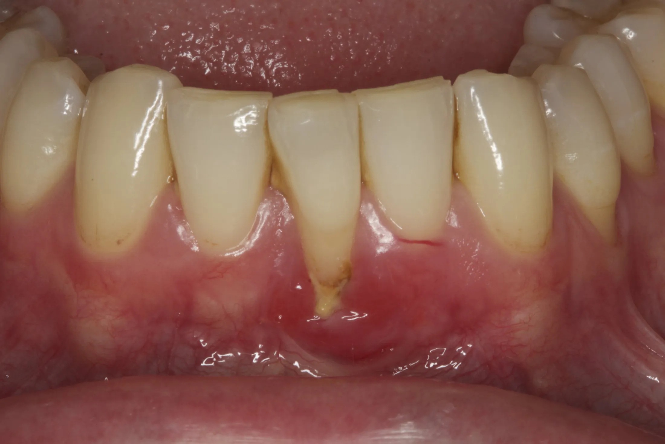
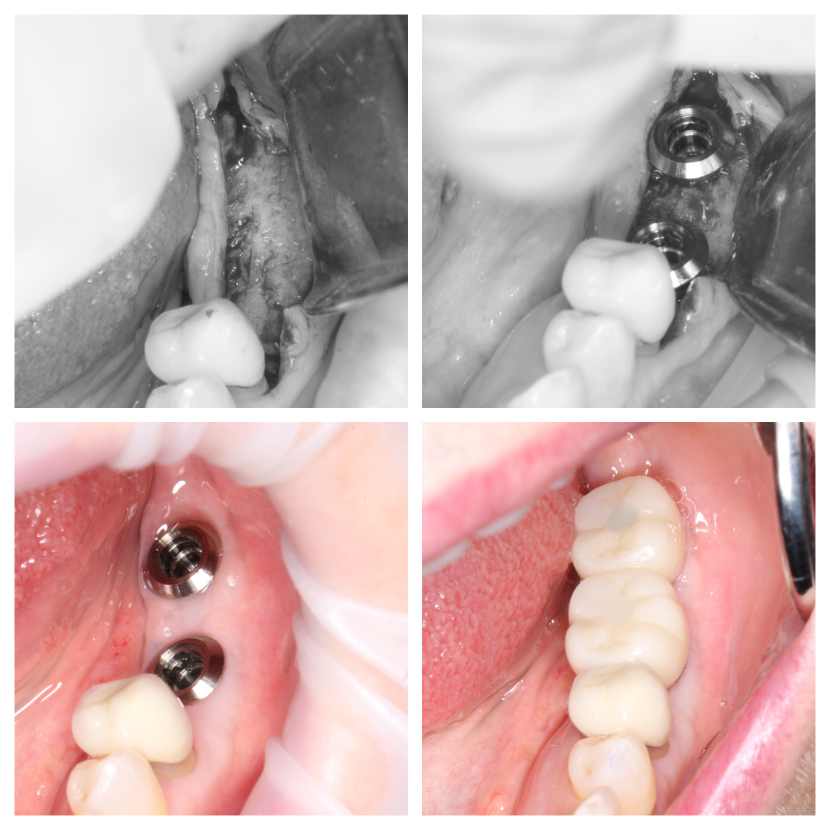
Immediate Implant Placement in Molar Extraction Site

IMPrESS Perio Implant Center Dr. Noroozi Vancouver Periodontist Implant Specialist Burnaby BC
immediate implant placement in molar site Dr. Noroozi

Vertical Bone & Gum Augmentation & Guided Implant Placement

Vancouver Best Implant Dentist Bone Graft Front Tooth Implant Best Dental Implant Centre Vancouver BC

Same-Day Guided Implant Surgery and Implant Temporary Crown

Front Implant tooth Best Implant Dentist Vancouver Burnaby BC Best Implant CenterIMPrESS Perio Implant Center Dr. Noroozi Vancouver Periodontist Implant Specialist Burnaby BC
IMPrESS Perio Implant Center Dr. Noroozi Vancouver Periodontist Implant Specialist Burnaby BC
IMPrESS Perio Implant Center Dr. Noroozi Vancouver Periodontist Implant Specialist Burnaby BC

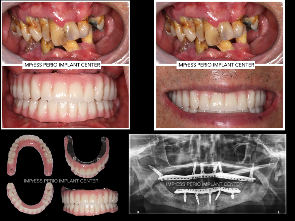
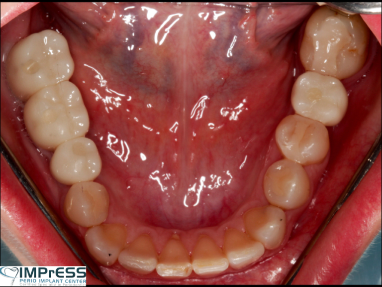
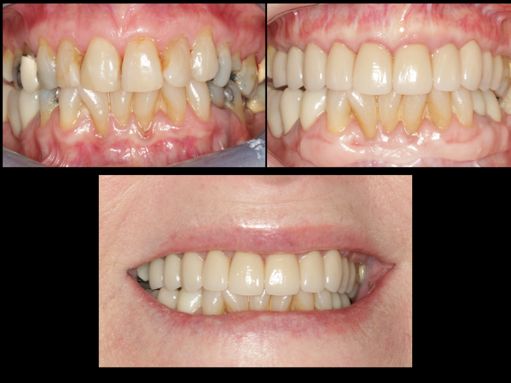
Full Mouth Reconstruction with Fixed Implant Bridge – All on X

IMPrESS Perio Implant Center Dr. Noroozi Vancouver Periodontist Implant Specialist Burnaby BC
All on X implant Full Mouth Implant Reconstruction All on 4 Implants IMPrESS Perio Implant Center Vancouver Burnaby Periodontist Prosthodontist Implant Specialist Dr. Noroozi Periodontist Implant Specialist
mile Makeover with Full Mouth Implants IMPrESS Perio Implant Center Burnaby BC Dr Noroozi
Full Mouth Implant Rehabilitation IMPrESS Perio Implant Center Dr. Noroozi implant Specialist Burnaby Vancouver BC
All On X Full Mouth Implants Fixed Teeth IMPrESS Perio Implant Centre Dr Noroozi Burnaby Vancouver BC
All on X Full Mouth Implant Rehabilitation IMPrESS Perio Implant Center Dr. Noroozi Implant Specialist Burnaby
All on X implant Full Mouth Implant Reconstruction All on 4 Implants IMPrESS Perio Implant Center Vancouver Burnaby Periodontist
Full Mouth Implant Restoration Burnaby Implant Specialist IMPrESS Perio Implant Center Dr. Noroozi
Full Mouth Implants IMPrESS Perio Implant Center Burnaby Vancouver BC Dr. Noroozi All On 4 Implants
IMPrESS Perio Implant Center Dr. Noroozi Vancouver Periodontist Implant Specialist Burnaby BC
3 on 6 implants Full Mouth Implants IMPrESS Perio Implant Center Dr. M. Noroozi Vancouver Implant Specialist
All on Four Implants Vancouver Burnaby BC Teeth in a day IMPrESS Perio Implant Center Dr. Noroozi
Best All on X Full Mouth Implants All On 4 Vancouver Dental Implants Dr. Noroozi IMPrESS Perio Implant Center Implant Specialist
Fixed Implant Teeth IMPrESS Perio Implant Center Dr. Noroozi Implant Specialist
Fixed Implant Teeth IMPrESS Perio Implant Center Dr. Noroozi Implant Specialist
Fixed Implant Teeth IMPrESS Perio Implant Center Dr. Noroozi Implant Specialist
Fixed Implant Teeth IMPrESS Perio Implant Center Dr. Noroozi Implant Specialist
Porcelain Hybrid Imlant Supported Fixed Bridge to replace all missing teeth Burnaby Vancouver BC
Xray of full mouth implants Vancouver BC

Sinus Lift, Bone Graft, Dental Implants Surgery and Restoration

Sinus Lift Guided Dental Implant Surgery Vancouver BC Dr. Noroozi Periodontist in Burnaby BC
Bone Grafting for implants Guided Implant Surgery Implant Bridge Dr. Noroozi Vancouver Implant Specialist IMPrESS Perio Implant Center
Bone Grafting for implants Guided Implant Surgery Implant Bridge Dr. Noroozi Vancouver Implant Specialist IMPrESS Perio Implant Center

Guided Tissue Regeneration with Bone Graft & Growth Factors to Save teeth

Gummy Smile Treatment- Lip Repositioning & Aesthetic Crown lengthening

Gummy Smile Treatment Esthetic Crown lengthening Dr. Noroozi IMPrESS Perio Implant Center Burnaby BC Vancouver Burnaby Periodontist

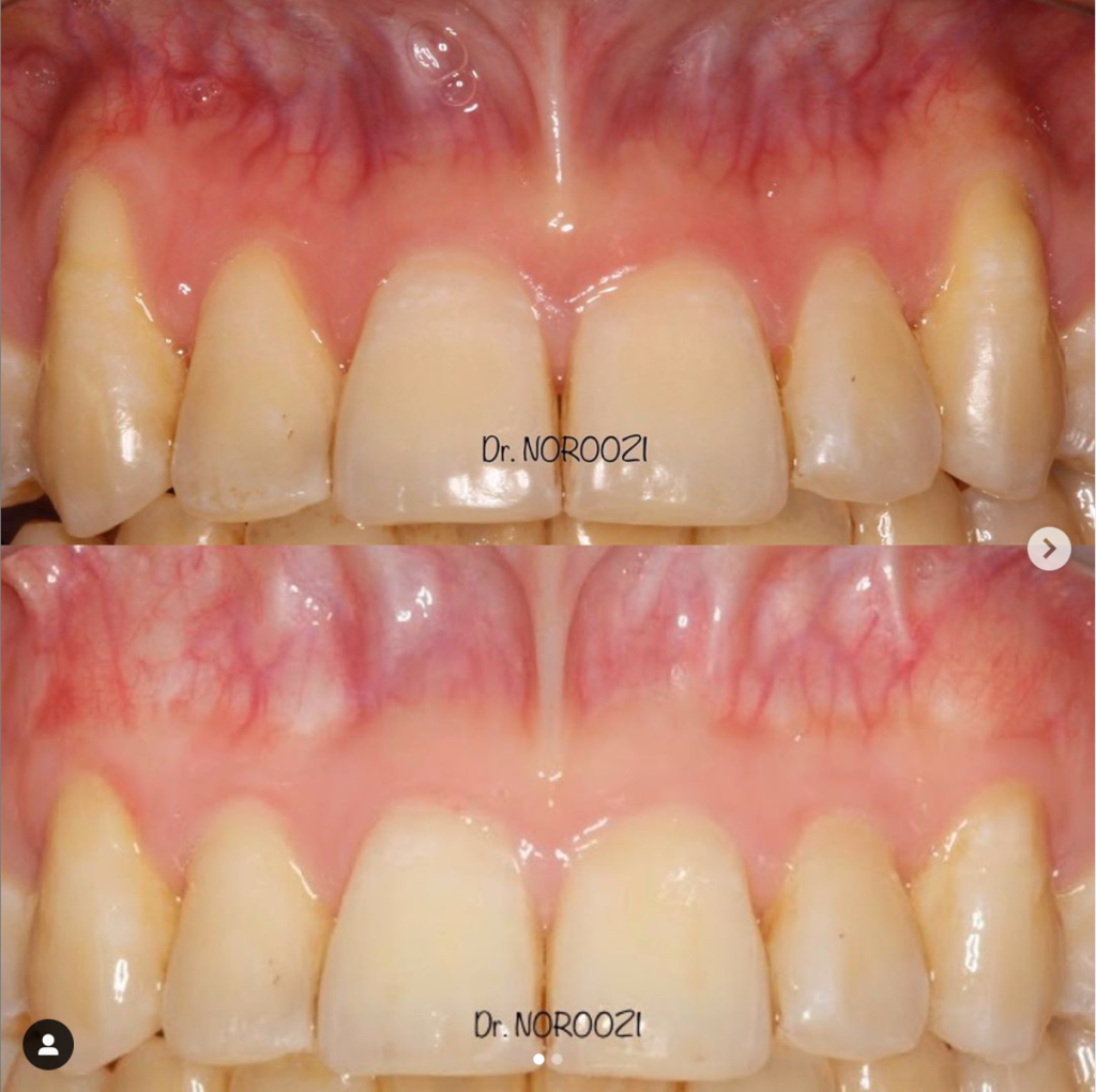
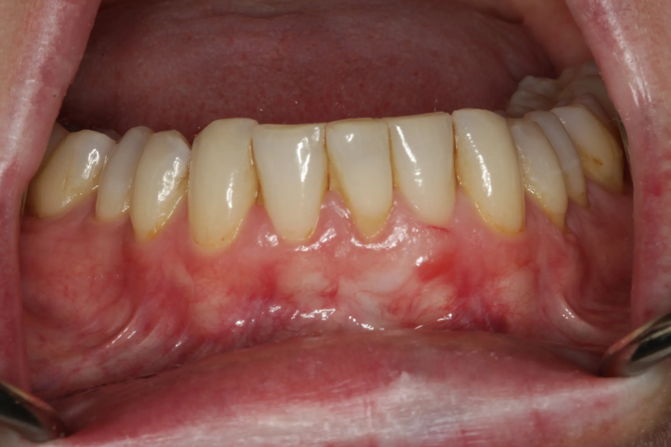
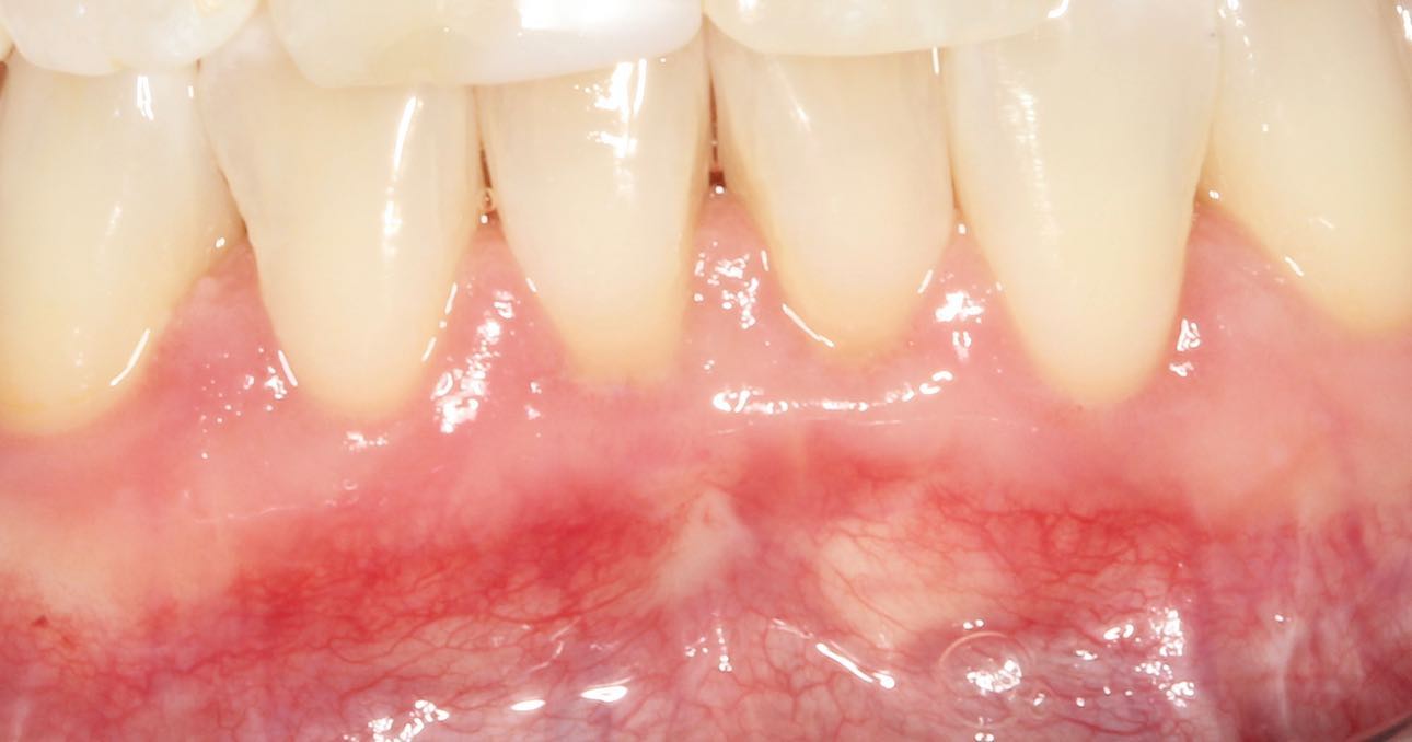
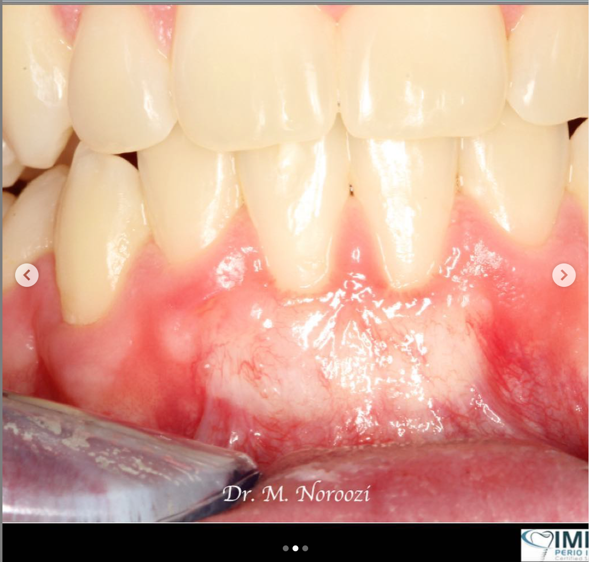
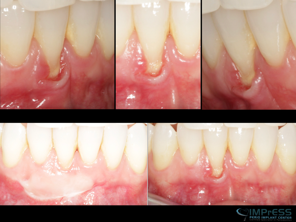
Allograft Dermal with Pinhole Surgery, Alternative to Gum Grafting 

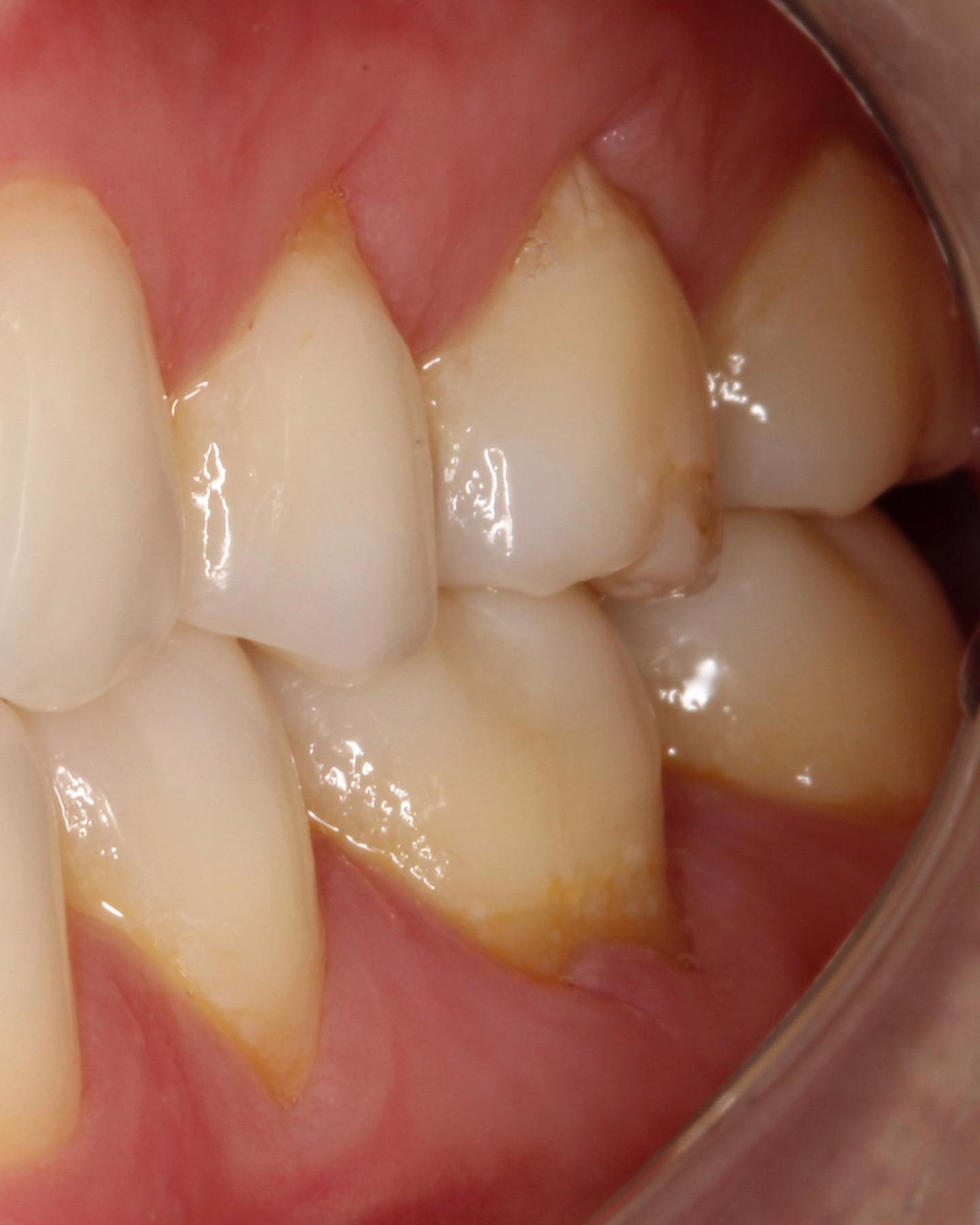
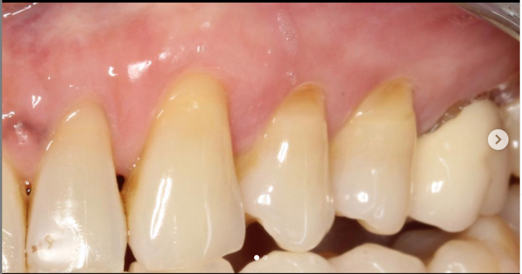
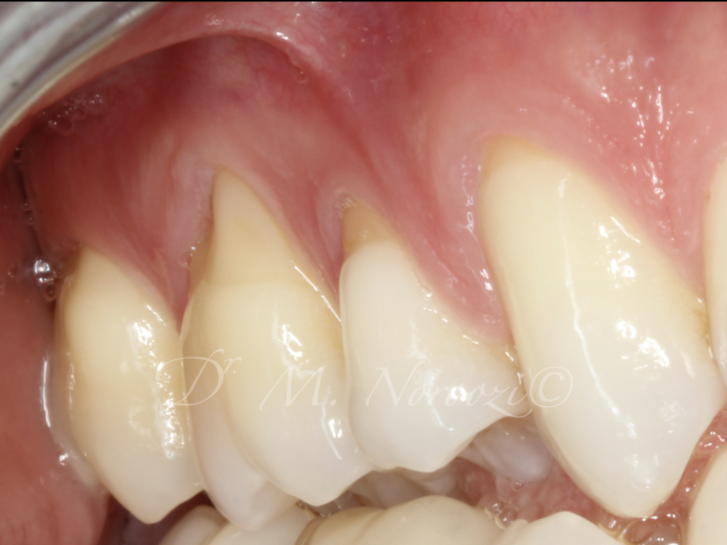
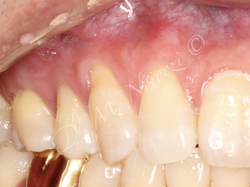
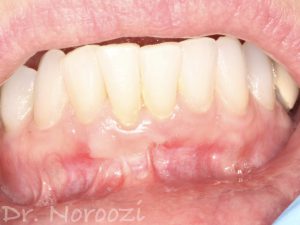
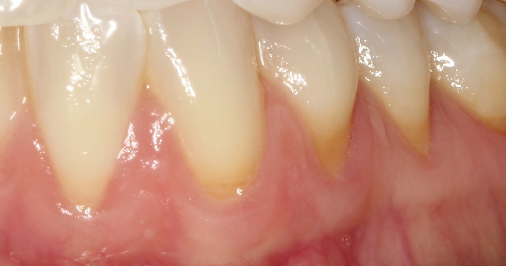
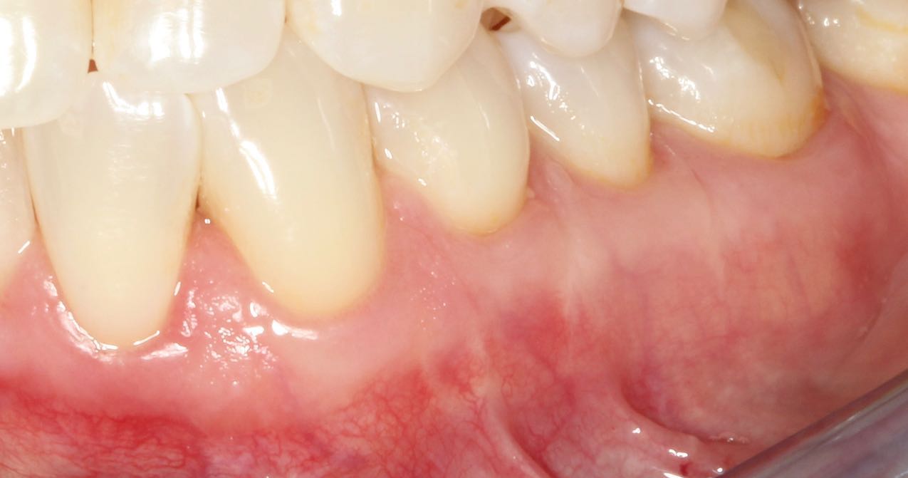
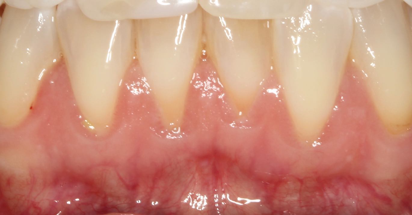
Connective Tissue Gingival Grafting for Gingival Recession

Your Top Periodontal Services & Implants in Burnaby

Accepting new patients. Schedule Your Appointment today!

CBCT Guided Implant Surgery – Restoratively Driven Implants

Multiple Dental Implants IMPrESS Perio Implant Center Burnaby Implant Specialist Vancouver Implant Center Dr. Mehdi Noroozi Implant Specialist in BC
IMPrESS Perio Immediate upper front implants with partial extraction therapy, guided surgery and provisional crowns
Front Teeth Dental Implant Bridge by Vancouver Dr. Noroozi Implant Specialist
Front Teeth Dental Implants in Vancouver
Front tooth implant Esthetic implant dentist Implant specialist IMPrESS Perio Implant Center Dr. M. Noroozi Implant Specialist
maxillary central and lateral incisor replacement with implant IMPrESS Perio Implant Center Dr. Noroozi Implant Specialist-Vancouver Burnaby BC.010
Implant dentistry bone and soft tissue grafting IMPrESS Perio Implant Center Dr. Mehdi Noroozi Implant Specialist Vancouver Burnaby BC
Congenitally missing teeth replacement with dental implants IMPrESS Perio Implant Center
Aesthetic Crown Lengthening for Gummy Smile or Uneven Gum Line
Dental Implants Vancouver BC

Management of Implant Complications

Implant Complication Management
Porcelain Veneers By Burnaby Prosthodontist IMPrESS Perio Implant Center

Failing Dental Bridge Being Replaced by Dental Implants

Dr. Noroozi IMPrESS Perio Implant Center Vancouver and Burnaby Advanced Centre for Periodontics and Implant Dentistry
Implant Tooth IMPRESS Perio Implant Center Burnaby Dental Clinic
Dr. Noroozi IMPrESS Perio Implant Center Vancouver and Burnaby Advanced Centre for Periodontics and Implant Dentistry
Dr. Noroozi IMPrESS Perio Implant Center Vancouver and Burnaby Advanced Centre for Periodontics and Implant Dentistry
Dr. Noroozi IMPrESS Perio Implant Center Vancouver and Burnaby Advanced Centre for Periodontics and Implant Dentistry
Replacing Missing Teeth with Implants at IMPrESS Perio
before and after of implant bridge in Vancouver

Implant Complication Management

Implant complication management

“Beyond Repair: Transformative Bone Grafting and Implant Therapy for Devastating Anterior Teeth Loss”

Dr Noroozi IMPrESS Perio Implant Center Bone Grafting for Dental Implants Khoury Technique

Immediate Implant Placement in Molar Extraction Site

IMPrESS Perio Implant Center Dr. Noroozi Vancouver Periodontist Implant Specialist Burnaby BC
immediate implant placement in molar site Dr. Noroozi

Vertical Bone & Gum Augmentation & Guided Implant Placement

Vancouver Best Implant Dentist Bone Graft Front Tooth Implant Best Dental Implant Centre Vancouver BC

Same-Day Guided Implant Surgery and Implant Temporary Crown

Front Implant tooth Best Implant Dentist Vancouver Burnaby BC Best Implant CenterIMPrESS Perio Implant Center Dr. Noroozi Vancouver Periodontist Implant Specialist Burnaby BC
IMPrESS Perio Implant Center Dr. Noroozi Vancouver Periodontist Implant Specialist Burnaby BC
IMPrESS Perio Implant Center Dr. Noroozi Vancouver Periodontist Implant Specialist Burnaby BC

Full Mouth Reconstruction with Fixed Implant Bridge – All on X

IMPrESS Perio Implant Center Dr. Noroozi Vancouver Periodontist Implant Specialist Burnaby BC
All on X implant Full Mouth Implant Reconstruction All on 4 Implants IMPrESS Perio Implant Center Vancouver Burnaby Periodontist Prosthodontist Implant Specialist Dr. Noroozi Periodontist Implant Specialist
mile Makeover with Full Mouth Implants IMPrESS Perio Implant Center Burnaby BC Dr Noroozi
Full Mouth Implant Rehabilitation IMPrESS Perio Implant Center Dr. Noroozi implant Specialist Burnaby Vancouver BC
All On X Full Mouth Implants Fixed Teeth IMPrESS Perio Implant Centre Dr Noroozi Burnaby Vancouver BC
All on X Full Mouth Implant Rehabilitation IMPrESS Perio Implant Center Dr. Noroozi Implant Specialist Burnaby
All on X implant Full Mouth Implant Reconstruction All on 4 Implants IMPrESS Perio Implant Center Vancouver Burnaby Periodontist
Full Mouth Implant Restoration Burnaby Implant Specialist IMPrESS Perio Implant Center Dr. Noroozi
IMPrESS Perio Implant Center Dr. Noroozi Vancouver Periodontist Implant Specialist Burnaby BC
3 on 6 implants Full Mouth Implants IMPrESS Perio Implant Center Dr. M. Noroozi Vancouver Implant Specialist
All on Four Implants Vancouver Burnaby BC Teeth in a day IMPrESS Perio Implant Center Dr. Noroozi
Best All on X Full Mouth Implants All On 4 Vancouver Dental Implants Dr. Noroozi IMPrESS Perio Implant Center Implant Specialist
Fixed Implant Teeth IMPrESS Perio Implant Center Dr. Noroozi Implant Specialist
Fixed Implant Teeth IMPrESS Perio Implant Center Dr. Noroozi Implant Specialist
Fixed Implant Teeth IMPrESS Perio Implant Center Dr. Noroozi Implant Specialist
Fixed Implant Teeth IMPrESS Perio Implant Center Dr. Noroozi Implant Specialist
Porcelain Hybrid Imlant Supported Fixed Bridge to replace all missing teeth Burnaby Vancouver BC
Xray of full mouth implants Vancouver BC

Sinus Lift, Bone Graft, Dental Implants Surgery and Restoration

Sinus Lift Guided Dental Implant Surgery Vancouver BC Dr. Noroozi Periodontist in Burnaby BC
Bone Grafting for implants Guided Implant Surgery Implant Bridge Dr. Noroozi Vancouver Implant Specialist IMPrESS Perio Implant Center
Bone Grafting for implants Guided Implant Surgery Implant Bridge Dr. Noroozi Vancouver Implant Specialist IMPrESS Perio Implant Center

Guided Tissue Regeneration with Bone Graft & Growth Factors to Save teeth

Gummy Smile Treatment- Lip Repositioning & Aesthetic Crown lengthening

Gummy Smile Treatment Esthetic Crown lengthening Dr. Noroozi IMPrESS Perio Implant Center Burnaby BC Vancouver Burnaby Periodontist

Allograft Dermal with Pinhole Surgery, Alternative to Gum Grafting 

Connective Tissue Gingival Grafting for Gingival Recession

Your Top Periodontal Services & Implants in Burnaby

Accepting new patients. Schedule Your Appointment today!