Smile makeovers often require more than one type of dental care. You may need cosmetic treatment, gum treatment, implants, tooth repair, or other treatments.
At IMPrESS Perio Implant Center, your care is led by a specialist team with advanced training in prosthodontics, periodontics, dental implants, and restorative dentistry. This helps ensure your treatment plan is based on the full picture of your oral health.
If you are ready to improve your smile, replace missing teeth, or rebuild your bite, book your consultation today.
A smile makeover is a process of improving the appearance of the smile through one or more cosmetic dentistry procedures, such as:
Some of the components taken into consideration include your facial appearance, skin tone, hair color, teeth (color, width, length, shape, and tooth display), gum tissue, and lips. Smile makeovers are performed for many reasons and customized according to your unique considerations.
What is it that you like or dislike about your smile or your teeth? Some aspects of your smile that your cosmetic dentist will review with you and that could be improved include the following:
Tooth Color: Silver or amalgam dental fillings can be replaced with natural, tooth-colored composite restorations, while teeth whitening can improve the color of stained or dulled teeth. Tooth color and shading are important considerations during the evaluation of and preparation for various procedures, including porcelain veneers, crowns, bridges, composite bonding and dental implants.
When considering the color of your teeth, keep in mind that dark or discolored teeth may suggest an aged mouth. A well-shaped smile comprised of bright, white teeth lends to a youthful appearance. The shade your dentist selects for teeth whitening and veneers is carefully evaluated with special consideration given to the tone and color of your face and hair. Cosmetic dentists are skilled at finding the right balance between providing you with a brighter, whiter smile and maintaining a natural tooth color.
Alignment and Spacing: Teeth that are crooked, overlapping, or have gaps between them can be straightened and aligned, when necessary, through orthodontics or Invisalign and improved with veneers.
Missing Teeth: One or more missing teeth can negatively affect the appearance of your smile – as well as affect your bite and increase your risk for tooth decay – making replacement an integral part of oral health and facial esthetics. Missing teeth can be replaced by dental implants, bridges or partial dentures.
Harmony and Balance: Uneven, chipped, and cracked teeth can be cosmetically bonded for an improved appearance, and a gummy smile can be re-contoured to help improve the overall look of the smile.
Fuller Lips, Smile and Cheeks: An unshapely or aging face can be improved or rejuvenated with certain procedures in the smile makeover category, including orthodontics and/or oral maxillofacial surgery.
A cosmetic dentist will work closely with you to develop a treatment plan designed to achieve exactly what you want from your makeover. This treatment plan may consist of many cosmetic and functionally restorative procedures, potentially including teeth whitening, composite bonding, veneers, dental crowns, orthodontics (braces), oral maxillofacial surgery and gummy smile reduction.

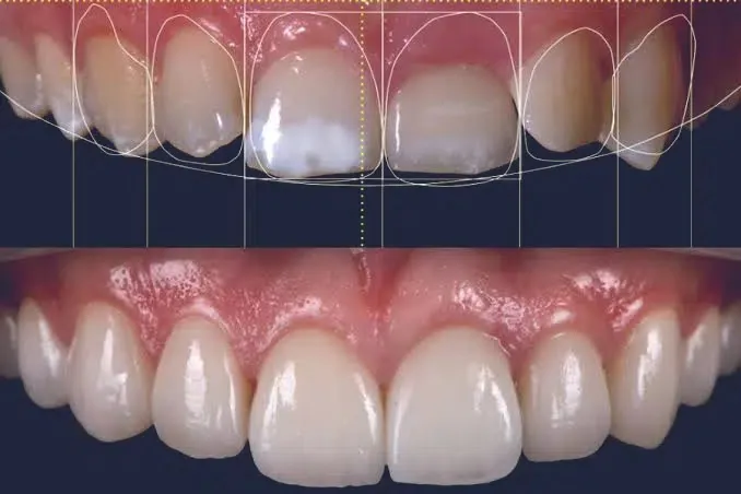
In addition to the color, alignment and balance of your teeth in the aesthetic zone of your smile (the section of upper and lower teeth that show when you smile), there are several attributes of your teeth and smile that your cosmetic dentist will evaluate with you when planning your makeover. These include:
Tooth Length: Long teeth lend a youthful appearance. Aging produces wear and tear that often results in shorter teeth, and a gummy smile also can make teeth appear shorter. A treatment for shorter teeth may include reshaping and lengthening the two front central teeth with composite bonding or porcelain veneers. If you have a gummy smile, your cosmetic dentist may provide treatment to modify the gum line and lengthen the appearance of the teeth using laser dentistry procedures. You may also be referred to a periodontist for crown lengthening if necessary.
Teeth lengthening may also impact your overall facial appearance. For example, shapely, long, square teeth on a round-faced individual can provide a slimming effect.
Smile Line: The smile line is an imaginary line that follows the edges of your upper teeth from side to side, which ideally should be the same as the curve of your lower lip when you smile. This standard point of reference may be used to help determine how long your new teeth should be.
Tooth Proportions: Your cosmetic dentist will examine your teeth to determine if they are in correct proportion with each other. Most people recognize a pleasing smile as one in which the two central front teeth are dominant and have a width-to-length ratio of 4-to-5. This proportion guides the length and width of other teeth in the aesthetic zone so that the smile line appears balanced.
Tooth Texture and Characterization: An artistic dentist can characterize your crowns or veneers to create a more feminine or a more masculine appearance, in addition to matching the look and feel of natural teeth or those you’ve seen in photographs.

Cosmetic dentistry procedures require regular oral hygiene care and may require maintenance over time. For example, teeth whitening must be repeated on occasion in order to maintain brightness. Porcelain veneers may chip or break off and need replacement. Permanent composite bonding may stain and require enhancement or replacement. Dental crowns typically require replacement after 10 to 15 years. Gummy smile improvements may also require enhancement over time.
Your ceramist, lab technician and the materials chosen by your dentist also impact the longevity of your smile makeover. To achieve the best results, take special care in selecting your cosmetic dentist and inquiring about your material options.
Your oral health must be evaluated before a cosmetic dentist develops a plan for your smile makeover. Your dentist will conduct a comprehensive evaluation of your teeth, gums, underlying support structure and bite (occlusion) to determine candidacy for a smile makeover. If your evaluation reveals that you have an oral health problem – such as a misaligned bite (malocclusion) or gum disease – you will need to have that taken care of first.
Cosmetic dentists incorporate a variety of dental technologies to show you the changes that you can expect to see in your smile. For example, during your oral health evaluation for veneers and crowns, your cosmetic dentist may create a wax model mockup of temporary teeth to accurately communicate the requirements of your procedure to the dental lab technician. Temporaries and wax mockups also offer you a preview of the expected outcome to ensure that you are comfortable with the proposed treatment plan.
Other methods available for you to preview your smile makeover include the following:
Dental Imaging Software: Imaging technologies offer a preview of your results. Your dentist may use imaging technology to communicate the specifications for your procedure to the dental lab technician or any other dental professionals involved in your treatment plan. However, a digital image only gives you an idea of what you might look like when the treatment is complete; it may not fully match your final results.
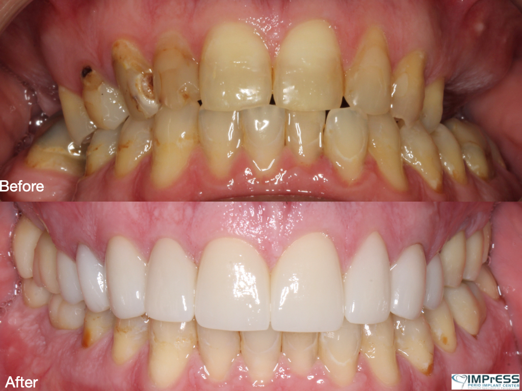
Before and After Photos: Before and after photos of other patients who have had smile makeovers offer examples of the results you may expect to see. The photos may also give you an idea of the quality of work performed by your cosmetic dentist.
Dental Study Models: Your dentist will take an impression of your teeth and fill it with plaster to form an exact model of your teeth. The plaster can then be reshaped by trimming away excess areas or enlarging areas that require more volume. Dentists use study models to show you every aspect of the changes you can expect to see with your makeover. Dental lab technicians also use study models as guides for fabricating materials like crowns or veneers.
Your dentist may work with a laboratory that incorporates digital technologies. In such instances your dentist may be able to use digital scans of your teeth, rather than traditional impressions, for use in making the models of your teeth and smile.
Dental Composite Bonding Mockup: Dental composite bonding may serve as a mockup of your smile makeover. The dentist can temporarily bond composite resin material to your teeth so you can fully visualize the impact of the procedure before treatment begins. In the case of veneers, dental composite bonding allows you to identify how comfortable you are with their look, feel and fit. Adjustments may be made until you are comfortable with the function and appearance of your new smile. Temporary mockups have no lasting impact on your teeth once they are removed.
The duration of treatment and cost of your smile makeover will vary depending on your dentist, your location, your level of dental insurance, the state of your oral health and the extent of your customized makeover plan.
Your treatment may be more expensive and take longer if your dentist identifies any underlying oral health issues before beginning treatment. Although these restorative procedures may be covered in part by your dental insurance carrier, you will still pay more for treatment than someone with immaculate oral health.
With proper care and regular dental visits, your smile will look good, and your crowns, veneers and other restorations will last for many years. In fact, resin-based restorations (such as tooth-colored fillings) can last anywhere from three to nine years or longer with proper care. Porcelain restorations can last 10 years or more before they need to be replaced.
A smile makeover focuses on improving the appearance of your smile. Full mouth reconstruction is often needed when dental problems affect your comfort, bite, or ability to chew. It may involve replacing missing teeth, repairing worn or broken teeth, treating gum disease, or rebuilding the bite.
Some patients need a mix of both. For example, you may need dental implants or crowns to restore function, along with veneers or whitening to improve the final look of your smile. During your consultation, our team can explain which option fits your needs.
Pinhole Surgical Technique, breakthrough gum grafting alternative treatment for gum recessions…
A minimally invasive solution with a fixed full-arch implant restoration for high patient satisfaction, Fixed (Non-removable) Same-Day-Teeth, providing immediate function and aesthetics
Unlike with regular scalpel “gum surgery” there is no cutting of the gum tissues or sewing with stitches, so the whole experience is virtually pain free. Laser
For nearly two decades, Dr. Noroozi and his dedicated team have transformed the smiles of thousands of patients, delivering exceptional results with minimal discomfort, fewer complications, and quicker recovery times. As the founder and clinical director of IMPrESS Perio Implant Center, Dr. Noroozi leads a renowned practice specializing in advanced microsurgery and minimally invasive periodontal and dental implant procedures.