Periodontal Plastic Surgery Procedures

Cosmetic Periodontal Surgery Procedures Vancouver BC

Periodontists are often considered the plastic surgeons of dentistry. If you are looking to improve your smile, a periodontist may be able to help.

Aesthetic Crown Lengthening for Gummy Smile or Uneven Gum Line

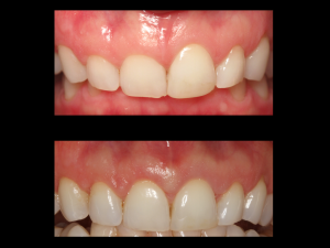
Do you feel your teeth look too short and your smile is too gummy or do your gums cover too much of some teeth while leaving the others the right length? If so, dental crown lengthening might be the solution for you. During this procedure, the excess gum tissue is removed to expose more of the crown of the tooth. Then your gumline is sculpted to give your new smile just the right look. Although your teeth appear short, they may actually be the proper length. The teeth may be covered with too much gum tissue. We can correct this by performing the periodontal plastic surgery procedure, crown lengthening. During this procedure, excess gum and bone tissue are reshaped to expose more of the natural tooth. This can be done to more than one tooth, to even your gum line, and to create a beautiful smile.

Your Top Periodontal Services & Implants in Burnaby

Accepting new patients. Schedule Your Appointment today!

Gum Grafting for Long Teeth/Exposed Roots

Sometimes gum recession causes the tooth root to become exposed, which makes your teeth look long and can make you look older than you are. This recession can happen as a result of a variety of causes, including periodontal diseases. Gum graft surgery and other root coverage procedures are designed to cover exposed roots, to reduce further gum recession and to protect vulnerable roots from decay. During gum graft surgery, your periodontist takes gum tissue from your palate or another donor source to cover the exposed root. 

Gum Recession Treatment Gum Graft CTG Tunnel Dr. Noroozi Vancouver Periodontist Implant Specialist IMPrESS Perio Implant Center

This can be done for one tooth or several teeth to even your gum line and reduce sensitivity. A gum graft can reduce further recession and bone loss. In some cases, it can cover exposed roots to protect them from decay. This may reduce tooth sensitivity and improve esthetics of your smile. Whether you have a gum graft to improve function or esthetics, patients often receive the benefits of both: a beautiful new smile and improved periodontal health – your keys to smiling, eating and speaking with comfort and confidence. Soft tissue graft is used to cover unattractive tooth roots, reduce gum recession, and protect the roots from decay and eventual loss.

Your Top Periodontal Services & Implants in Burnaby

Accepting new patients. Schedule Your Appointment today!

Bone Grafting for Indentations in the Gums and Jawbone

Tooth loss can cause an indentation in the gums and jawbone where the tooth used to be. This happens because the jawbone recedes when it no longer is holding a tooth in place. Not only is this indention unnatural looking, it also causes the replacement tooth to look too long compared to the adjacent teeth. Ridge augmentation can fill in this defect recapturing the natural contour of the gums and jaw. A new tooth can then be created that is natural-looking, easy to clean, and beautiful. Tooth loss causes the jaw bone to recede and can lead to an unnatural looking indentation in your gums and jaw, and appearance of a general aging. The original look of your mouth may not be recaptured because of spaces remaining under and between replacement teeth. They may appear too long compared to nearby teeth. Bone grafting following tooth loss can preserve the socket/ridge and minimize gum and bone collapse. There is less shrinkage and a more aesthetic tooth replacement for either an implant crown or fixed bridge around the replacement teeth.

For more information about gum grafting and bone grafting, please refer to the treatment section of our website, and click on each individual procedure for an in-depth description.

Frenectomy by Vancouver Burnaby Periodontist with Dental Laser 

A frenum is a naturally occurring muscle attachment, normally seen between the front teeth (either upper or lower). It connects the inner aspect of the lip with the gum. A lack of attached gingiva, in conjunction with a high (closer to the biting surface) frenum attachment, which exaggerates the pull on the gum margin, can result in recession. Additionally, an excessively large frenum can prevent the teeth from coming together resulting in a gap between the front teeth. If pulling is seen or the frenum is too large to allow the teeth to come together, the frenum is surgically released from the gum with a frenectomy. A frenectomy is simply the surgical removal of a frenum. When Orthodontic treatment is planned or initiated, the removal of an abnormal frenum, with or without a gingival graft, can increase stability and improve the success of the final orthodontic result.

Gum Graft Surgery Gum Grafting for Treatment of Receding Gums Frenectomy Dr. Noroozi Gum Graft Specialist Periodontist IMPrESS Perio Implant Center
Before frenectomy
Gum Graft Surgery Gum Grafting for Treatment of Receding Gums Frenectomy Dr. Noroozi Gum Graft Specialist Periodontist IMPrESS Perio Implant Center
After frenectomy+ Gum Graft

Upper lip repositioning to correct the gummy smile

The amount of gums showing in a normal full smile is 1-2mm. A display of 4mm or more of gum exposure is considered unattractive. The incidence of gummy smile may approximate 14 percent in females and 7 percent in males. Hyperfunction of the lip elevator muscles often results in excessive gum display and is the primary factor when lip length is normal and the lower third of the face is proportional to the other thirds. A differential diagnosis of excessive gum display must include an examination for delayed eruption, orthodontic problems, and skeletal deformities. Some cases may require complex treatment involving crown lengthening, orthodontics, orthognathic surgery, lip positioning surgery and restorative dentistry.

Screen Shot 2016-01-26 at 9.31.42 PM

The amount of gums showing in a normal full smile is 1-2mm. A display of 4mm or more of gum exposure is considered unattractive. The incidence of gummy smile may approximate 14 percent in females and 7 percent in males. Hyperfunction of the lip elevator muscles often results in excessive gum display and is the primary factor when lip length is normal and the lower third of the face is proportional to the other thirds. A differential diagnosis of excessive gum display must include an examination for delayed eruption, orthodontic problems, and skeletal deformities. Some cases may require complex treatment involving crown lengthening, orthodontics, orthognathic surgery, lip positioning surgery and restorative dentistry.

Call us today to book your consultation appointment with our specialists!

Benefits of Laser Gum Surgery in Vancouver BC

Comfort: With laser treatment, there is reduced or no bleeding, minimized swelling, no charring, and no drill noise or vibration. The stress and anxiety often associated with dental work is therefore eliminated when you experience quick, effective, and essentially pain-free laser procedures. Also, postoperative sensitivity is greatly limited by laser dentistry, and recovery time is much quicker than with traditional methods. In fact, due to the less-invasive nature of the laser technique, the mouth begins to heal immediately after work is completed!

Reduced Risk of Infection: The laser’s high-energy light beam acts as a sterilizer on the area it is working, thereby reducing the risk of bacterial infections and relapses.

Anesthesia Limited or Eliminated: Because laser dentistry is virtually painless, no longer will you suffer from fear of injections and numbness. Often, only a light anesthetic spray is required. Laser treatment eliminates the complications and costs associated with anesthesia.

Uses:
Dr. Noroozi uses WaterLase® express to remove bacteria and infected tissue without scalpels. He can perform a variety of procedures using laser technology, such as frenectomy, osseous surgery, and periodontal pocket reduction surgery to treat periodontitis. Dr. Noroozi is also able to use laser technology as a way to regenerate healthy gums and remove disease areas in a virtually painless way. This method also encourages healthy gum to regenerate and attach to the teeth

Our Top Procedures for Your Dental Health

A natural tooth consists of a root and a crown. If you compare natural teeth to implant-supported replacement teeth, you’ll see they have the same basic parts.

Pinhole Surgical Technique, breakthrough gum grafting alternative treatment for gum recessions…

A minimally invasive solution with a fixed full-arch implant restoration for high patient satisfaction, Fixed (Non-removable) Same-Day-Teeth, providing immediate function and aesthetics

Unlike with regular scalpel “gum surgery” there is no cutting of the gum tissues or sewing with stitches, so the whole experience is virtually pain free. Laser

Mehdi Noroozi, Periodontist, Implant Surgeon

For nearly two decades, Dr. Noroozi and his dedicated team have transformed the smiles of thousands of patients, delivering exceptional results with minimal discomfort, fewer complications, and quicker recovery times. As the founder and clinical director of IMPrESS Perio Implant Center, Dr. Noroozi leads a renowned practice specializing in advanced microsurgery and minimally invasive periodontal and dental implant procedures.

Faranak Zaeimdar, Prosthodontist

Dr. Zaeimdar is a Board Certified Specialist in Prosthetic Dentistry.

Nathalie Pauletto, Periodontist

Dr. Pauletto then graduated from the University of British Columbia in 1997, with a combined diploma in the specialty of Periodontics and a Masters of Clinical Dental Science, which involved […]