Inlays & Onlays in Burnaby, BC

When more than half of the tooth’s biting surface is damaged a dentist will often use inlays/onlays.

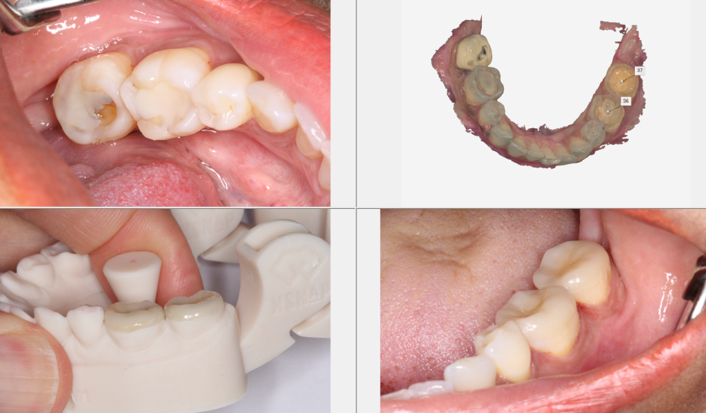
What are inlays/onlays?

Inlays and onlays can be made of porcelain, gold, or a composite resin. These pieces are bonded to the damaged area of the tooth. An inlay (which is similar to a filling) is used inside the cusp tips of the tooth. An onlay is a more substantial reconstruction (similar to the inlay), but extending out over one or more of the cusps of the tooth.

Traditionally, gold has been the material of choice for inlays/onlays. In recent years, however, porcelain has become increasingly popular due to its strength and color which can potentially match the natural color of your teeth.

How are inlays and onlays applied?

Inlays and onlays require two appointments to complete. During the first visit, the filling being replaced or the damaged or decaying area of the tooth is removed and the tooth is prepared for the inlay or onlay. To ensure proper fit and bite, an impression of the tooth is made and sent to a lab for fabrication. We will then apply a temporary sealant on the tooth and a subsequent appointment will be scheduled.

At the second appointment, the temporary sealant is removed. Drs. Lewis or Brody will then make sure that the inlay/onlay fits correctly. If the fit is satisfactory, the inlay/onlay will be bonded to the tooth with a strong resin and polished for a smooth finish.

Considerations for Inlays and Onlays

Traditional fillings can reduce the strength of a natural tooth by up to 50%. As an alternative, inlays/onlays that are bonded directly onto the tooth using special high-strength resins, can actually increase the strength of a tooth by up to 75%. As a result, they can last from 10 to 30 years. In some cases, where the damage to the tooth is not extensive enough to merit an entire dental crown, onlays can provide a very good alternative.

Your Top Periodontal Services & Implants in Burnaby

Accepting new patients. Schedule Your Appointment today!

Our Top Procedures for Your Dental Health

A natural tooth consists of a root and a crown. If you compare natural teeth to implant-supported replacement teeth, you’ll see they have the same basic parts.

Pinhole Surgical Technique, breakthrough gum grafting alternative treatment for gum recessions…

A minimally invasive solution with a fixed full-arch implant restoration for high patient satisfaction, Fixed (Non-removable) Same-Day-Teeth, providing immediate function and aesthetics

Unlike with regular scalpel “gum surgery” there is no cutting of the gum tissues or sewing with stitches, so the whole experience is virtually pain free. Laser

Mehdi Noroozi, Periodontist, Implant Surgeon

For nearly two decades, Dr. Noroozi and his dedicated team have transformed the smiles of thousands of patients, delivering exceptional results with minimal discomfort, fewer complications, and quicker recovery times. As the founder and clinical director of IMPrESS Perio Implant Center, Dr. Noroozi leads a renowned practice specializing in advanced microsurgery and minimally invasive periodontal and dental implant procedures.

Faranak Zaeimdar, Prosthodontist

Dr. Zaeimdar is a Board Certified Specialist in Prosthetic Dentistry.

Nathalie Pauletto, Periodontist

Dr. Pauletto then graduated from the University of British Columbia in 1997, with a combined diploma in the specialty of Periodontics and a Masters of Clinical Dental Science, which involved […]