Pinhole Gum Rejuvenation™ in Vancouver, BC – Allograft Dermal Matrix

Pinhole Surgical Technique, breakthrough gum grafting alternative treatment for gum recessions, no palatal grafting, no scalpels, quick, easy and instantly pleasing, minimally invasive, patient-friendly and scientifically documented

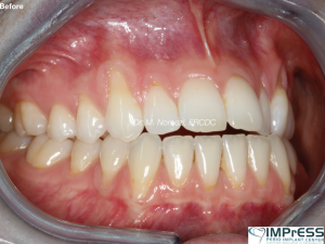
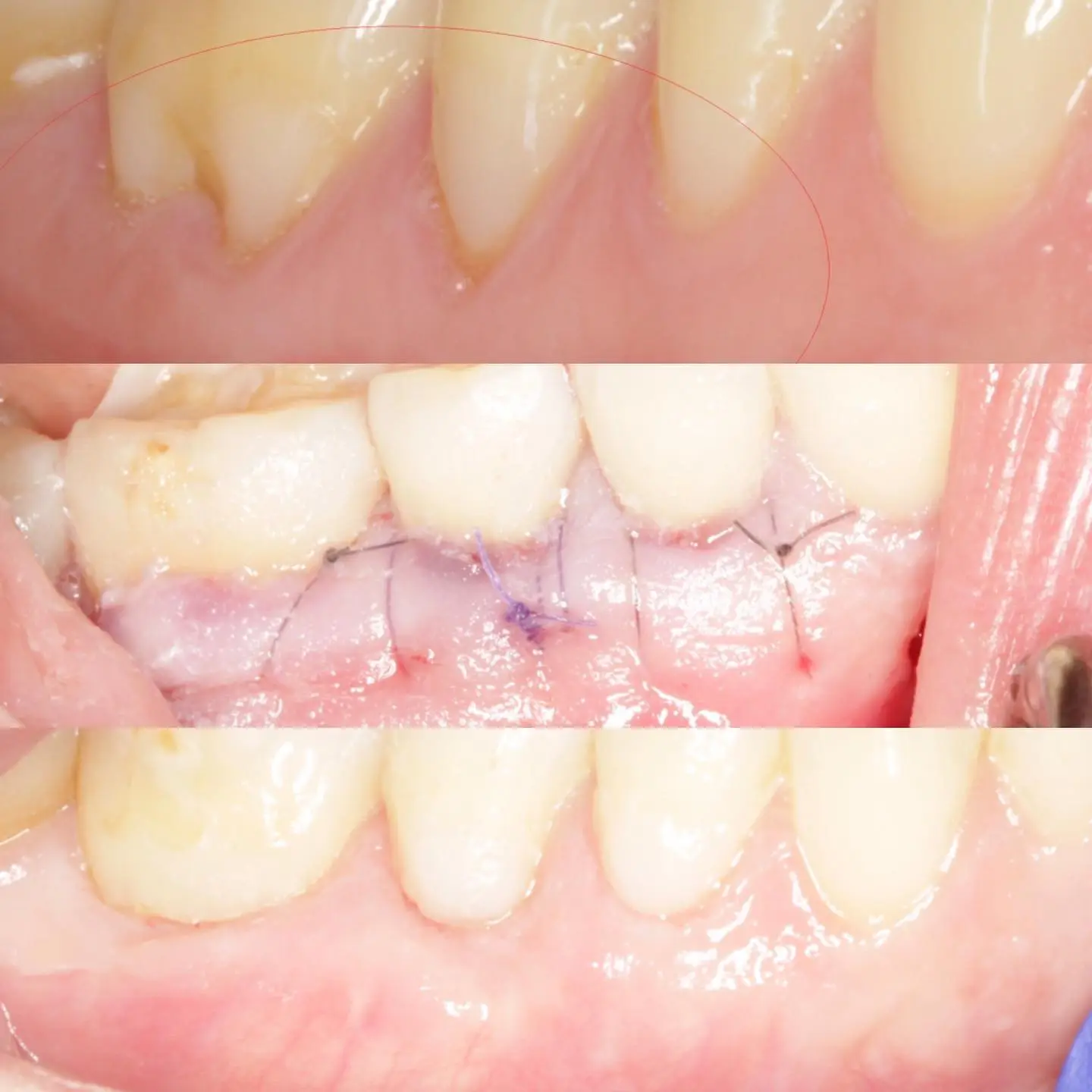
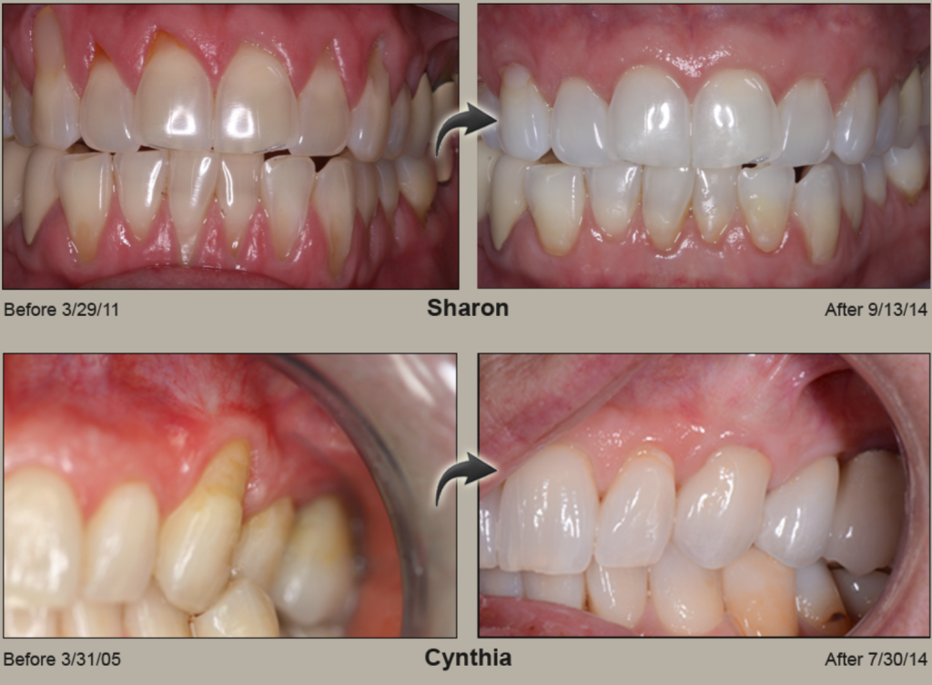
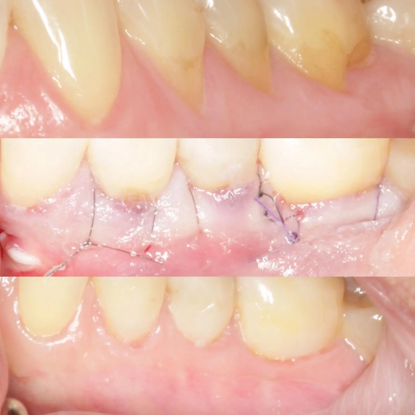
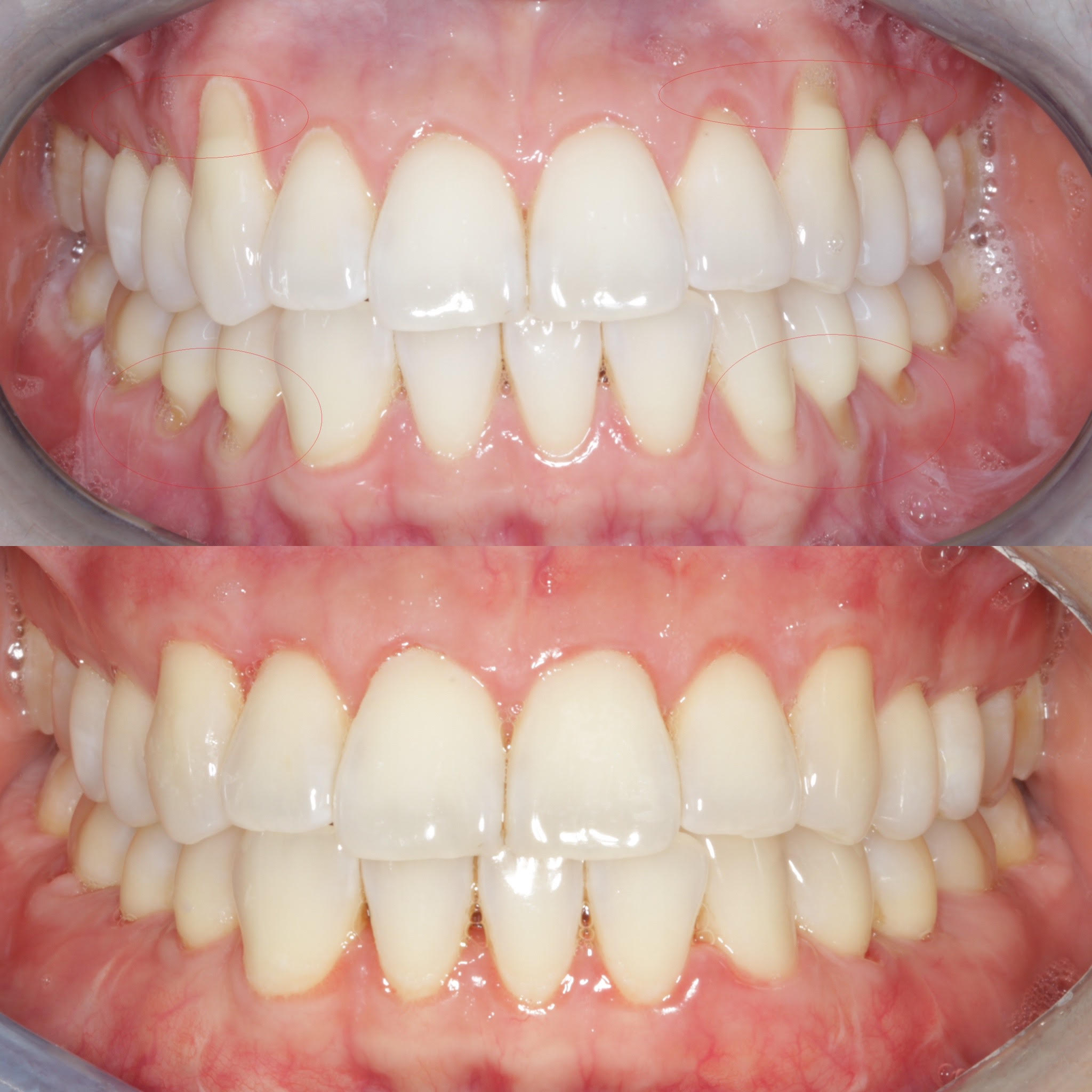
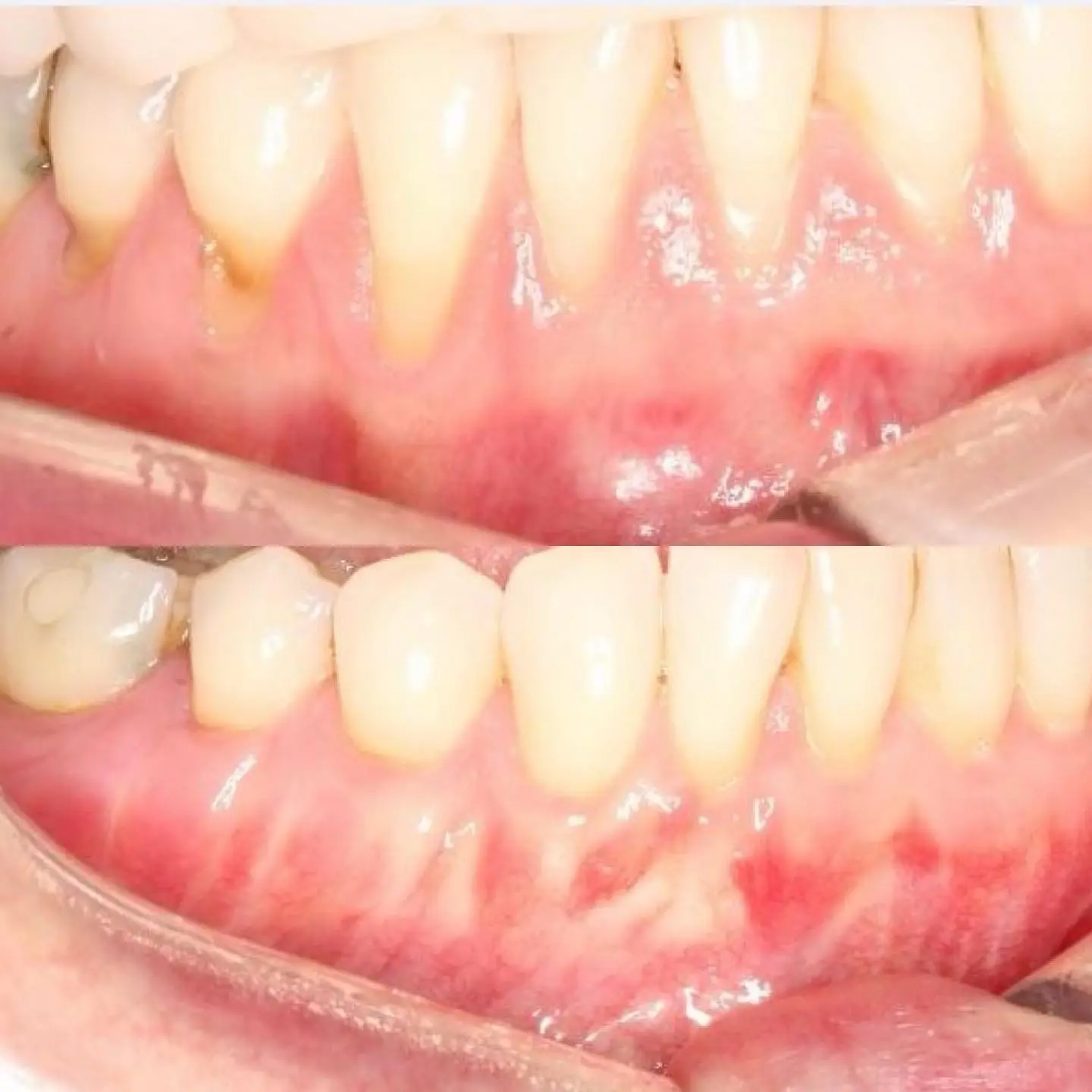
The Pinhole surgical technique also known as Pinhole gum rejuvenation is a scalpel free, graft free, and minimally invasive procedure for correcting gum recession and saving teeth. Through a small hole made by the needle, specially designed instruments are used to gently loosen the gum tissue and glide it over the receded part of the tooth. Patients can expect minimal post-operative symptoms such as pain, swelling, and bleeding. Patients are pleasantly surprised by the instant cosmetic improvement. Most patients are able to resume light normal activities within 24 to 48 hours after treatment excluding working out and strenuous activities.

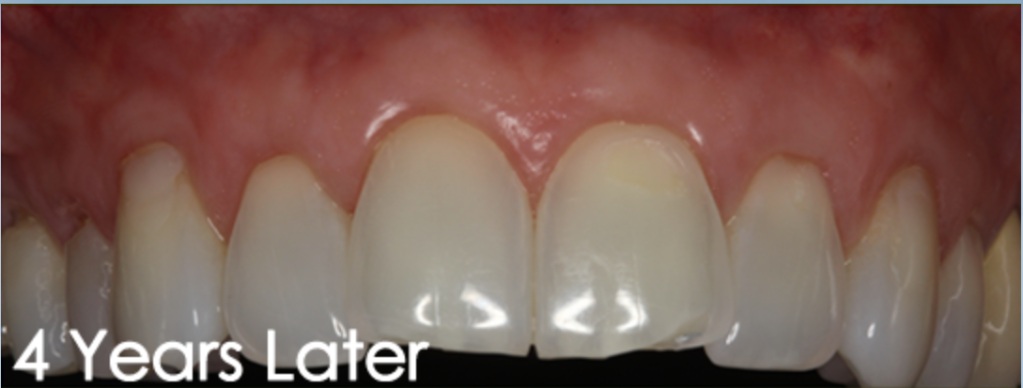
Pinhole Surgical Technique with Allograft Dermal TIssue Gum Graft Alternative for Gum Recession Treatment Dr. Noroozi IMPrESS Perio Implant Center
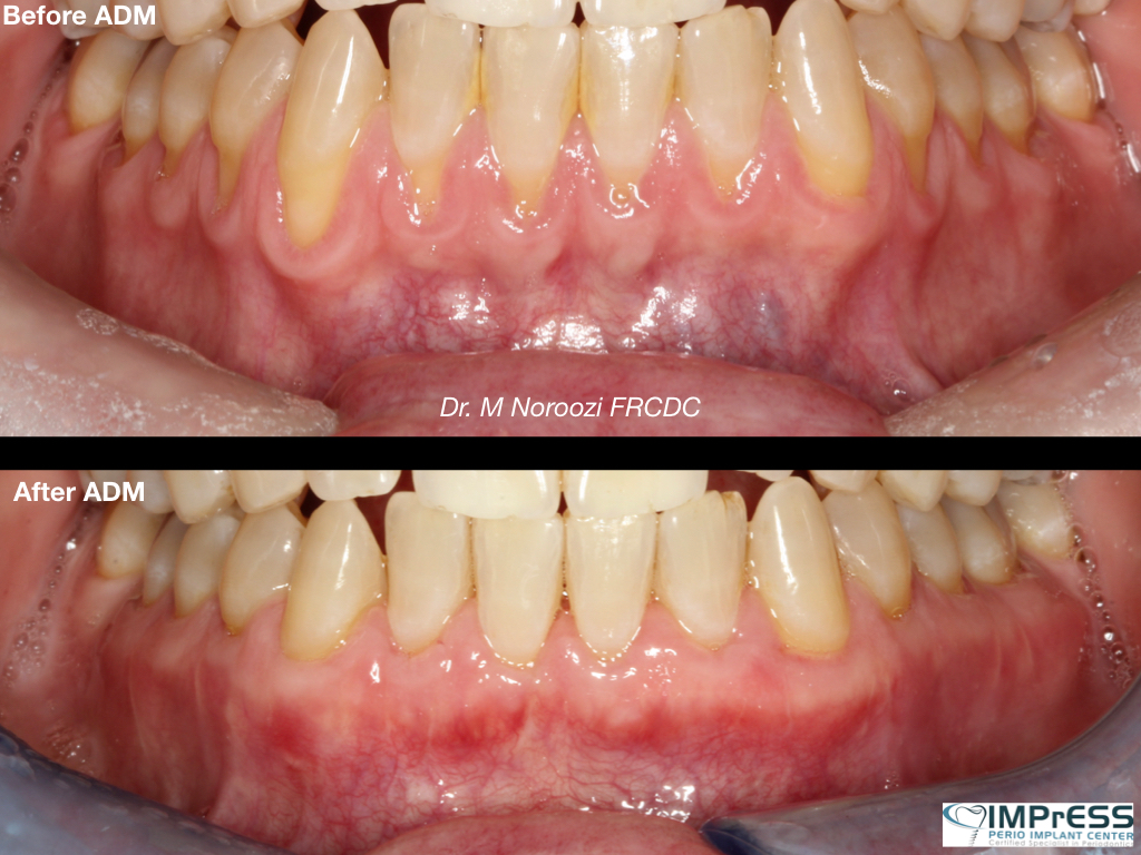
Pinhole Gum Rejuvenation Allograft Dermal Tissue Dr. Noroozi Periodontist IMPrESS Perio Implant Center Vancouver Burnaby BC
Pinhole Gum Rejuvenation Allograft Dermal Tissue Gum Graft Alternative Dr. Noroozi IMPrESS Perio Implant Center Periodontist in Vancouver Burnaby
Pinhole Gum Rejuvenation Dr. Mehdi Noroozi Burnaby Periodontist
Pinhole Gum Rejuvenation Gum Recession Reversal Gum Grafting Alternative Dr. Noroozi Periodontist IMPrESS Perio Implant Center.jpg
Pinhole Gum Rejuvenation Gum Recession Reversal Gum Grafting Alternative Dr. Noroozi Periodontist IMPrESS Perio Implant Center.jpg

What is gum recession?

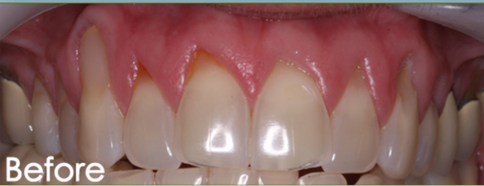
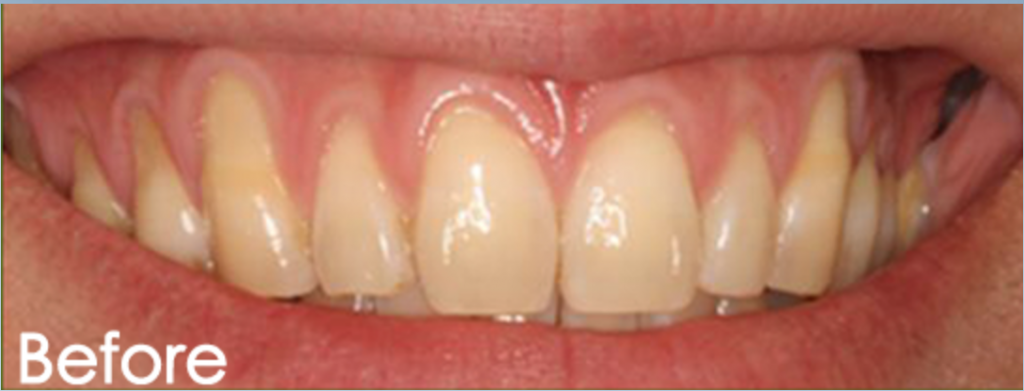
Gum recession refers to the loss of gum tissue along the gumline. This can occur as a result of periodontal disease (gingivitis, periodontitis, advanced periodontitis), the natural aging process, or abrasive habits when it comes to brushing the teeth. Gum recession is a common dental problem and most people do not know that they have gum recession because it occurs gradually. The first sign of gum recession is usually tooth sensitivity or you may notice teeth that look longer than normal. Typically a notch can be felt near the gum line.

Pinhole Gum Rejuvenation Dr. Mehdi Noroozi Burnaby Periodontist IMPrESS Perio Implant Center

What are the consequences of gum recession?

Recession is the process in which the margin of the gum tissue that protects the teeth wears away or pulls back exposing more of the tooth root. When gum recession occurs, pockets or gaps form between the teeth and gum line, therefore, making it easy for disease-causing bacteria to build up and destroy teeth. If left untreated, the supporting tissue and bone structures of the teeth can be severely damaged and may ultimately result in tooth loss and even severe health consequences. Do not ignore the gum recession! Early detection and treatment are essential to maintaining overall health and saving teeth. If you think that your gums are receding make an appointment immediately for an evaluation of your individual case.

Best Gum Graft Alternative with Dermal graft to treat gum recession Dr. Noroozi Vancouver Periodontist IMPrESS Perio Implant

Why should gum recession be taken seriously?

When gum recession occurs, the root structure of the tooth becomes exposed. This means that tooth decay and other problems can affect the teeth along the gumline and beneath it. Since healthy gums are essential for a healthy mouth, getting gum recession treated is important for lasting dental wellness.

Why do gums recede?

  • Aggressive tooth brushing
  • Periodontal diseases
  • Insufficient dental care
  • Hormonal changes
  • Tobacco products
  • Grinding and clenching teeth
  • Crooked teeth or a misaligned bite
  • Body piercing of the lip or tongue

Symptoms of Gum Recession:

  • Sensitive teeth
  • Tender gums
  • Longer tooth line
  • Exposed roots
  • Loose teeth
Gum Graft Alternative Gum Recession Treatment Alloderm Pinhole Surgical technique Vancouver BC Noroozi

What is the Chao Pinhole® Surgical Technique (PST) in Vancouver BC?

The Pinhole Surgical Technique is a minimally invasive option for treating gum recession. Unlike traditional grafting techniques, PST is incision and palatal graft free. All of the tools and techniques used to perform the Chao Pinhole® Surgical Technique were created by Dr. John Chao, who trained Dr. Mehdi Noroozi.

Gum Graft Alternative Pinhole Surgical Technique Alloderm Dr. Noroozi Periodontist Vancouver

How does the Chao Pinhole® Surgical Technique (PST) differ from traditional gum grafting?

Traditional gum recession treatments involve the use of palatal soft tissue grafts in order to rebuild the gum line. This soft tissue would be sutured in place and would join with existing gum tissue as it healed. While this traditional grafting treatment is effective, comparable results with better patient experience can be achieved through the Chao Pinhole® Surgical Technique.

How is Chao Pinhole® Surgical Technique (PST) performed in Vancouver BC?

During the Chao Pinhole® Surgical Technique, a needle is used to make a small hole in the patient’s existing gum tissue. Through this pinhole, special instruments are used to gently loosen the gum tissue. These tools help expand and slide the gumline to cover the exposed root structure. It simply involves the adjustment of the existing tissue. There are no palatal grafts, no or minimal sutures, and no incisions needed with the Chao Pinhole® Surgical Technique. The procedure takes about 1-2 hours. The recovery time is short and patients can get back to normal life very soon.

What are the benefits of Chao Pinhole® Surgical Technique (PST) in Vancouver BC?

The benefits of the Pinhole® Surgical Technique are many:

  • Can correct gum recession in as little as one treatment session.
  • Less discomfort for the patient after treatment
  • Faster recovery for the patient than traditional grafting
  • No need for scalpels or invasive surgical tools
  • No need to take donor tissue from the patient’s palate
  • Excellent, natural-looking, long-lasting results
  • It can prevent tooth loss and the need for other costly procedures such as implants or dentures.
  • Treatment sessions can be completed in as little as 1 to 2 hours in many cases.
  • It can enhance a more youthful and attractive appearance.
  • Patients often describe feeling happier due to being able to smile without the shame or guilt associated with ugly receded gums.
  • Most patients are back to normal light activities within 24 to 48 hours post-procedure

Dr. Mehdi Noroozi, certified Pinhole specialist, performs revolutionary Pinhole® Surgical Technique in Vancouver and Burnaby BC for the treatment of receding gums. Contact us today at IMPrESS Perio Implant Center Phone Number604-733-4867 to book your consultation appointment with our specialist.

Gum Graft Alternative Gum Recession Reversal Pinhole Surgical technique Dr. Noroozi Periodontist
Pinhole Surgery Gum Rejuvenation Dr. Mehdi Noroozi Burnaby BC Periodontist
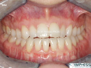
Pinhole Gum Rejuvenation Dr. Mehdi Noroozi Burnaby Periodontist IMPrESS Perio Implant Center
Pinhole Gum Rejuvenation Dr. Mehdi Noroozi Burnaby Periodontist IMPrESS Perio Implant Center
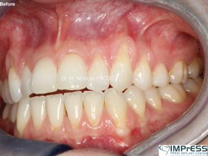
Pinhole Gum Rejuvenation Dr. Mehdi Noroozi Burnaby Periodontist IMPrESS Perio Implant Center
Pinhole Surgical Technique wtih Allograft Dermal Matrix Dr. Noroozi Periodontist in Burnaby BC IMPrESS Perio Implant Center
Gum Graft Alternative Allograft Donor tissue Straumann Vancouver BC Canada
Pinhole Surgical Technique Alloderm Gum Recession Treatment Vancouver BC
Pinhole Surgical Technique Gum Graft Alternative for treatment of Gum recession IMPrESS Perio Dr. Noroozi

Pinhole Surgery Patient_Brochure

Pinhole Surgery-INSTRUCTIONS

Pinhole Surgical Technique Publication

General Disclaimer: The results in the photographs are examples only and do not imply any certainty of the result of a procedure, and all outcomes are subject to the circumstances of the individual patient.

Our Top Procedures for Your Dental Health

A natural tooth consists of a root and a crown. If you compare natural teeth to implant-supported replacement teeth, you’ll see they have the same basic parts.

Pinhole Surgical Technique, breakthrough gum grafting alternative treatment for gum recessions…

A minimally invasive solution with a fixed full-arch implant restoration for high patient satisfaction, Fixed (Non-removable) Same-Day-Teeth, providing immediate function and aesthetics

Unlike with regular scalpel “gum surgery” there is no cutting of the gum tissues or sewing with stitches, so the whole experience is virtually pain free. Laser

Mehdi Noroozi, Periodontist, Implant Surgeon

For nearly two decades, Dr. Noroozi and his dedicated team have transformed the smiles of thousands of patients, delivering exceptional results with minimal discomfort, fewer complications, and quicker recovery times. As the founder and clinical director of IMPrESS Perio Implant Center, Dr. Noroozi leads a renowned practice specializing in advanced microsurgery and minimally invasive periodontal and dental implant procedures.

Faranak Zaeimdar, Prosthodontist

Dr. Zaeimdar is a Board Certified Specialist in Prosthetic Dentistry.

Nathalie Pauletto, Periodontist

Dr. Pauletto then graduated from the University of British Columbia in 1997, with a combined diploma in the specialty of Periodontics and a Masters of Clinical Dental Science, which involved […]