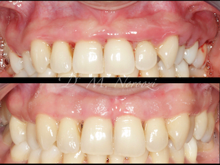
Pocket Reduction Osseous Surgery

Osseous surgery, sometimes referred to as pocket reduction surgery or gingivectomy, refers to a number of different surgeries aimed at gaining access to the tooth roots to remove tartar and disease-causing bacteria.

Your Top Periodontal Services & Implants in Burnaby

Accepting new patients. Schedule Your Appointment today!

Goals of Osseous Surgery

Osseous surgery is used to reshape deformities and remove pockets in the alveolar bone surrounding the teeth. It is a common necessity in effective treatment of more advanced periodontal diseases. The ultimate goal of osseous surgery is to reduce or eliminate the periodontal pockets that cause periodontal disease. Despite the word “surgery” the procedure is reported to feel more like a thorough cleaning. The specific goals of surgery include:

  • Reducing Bacterial Spread:
    Bacteria from the mouth can spread throughout the body and cause other life-threatening conditions such as heart disease and respiratory disease. Removing deep tartar and thereby bacteria can help reduce the risk of bacteria spreading.
  • Preventing Bone Loss:
    The immune system’s inflammatory response prompted by periodontal bacteria can lead to bone loss in the jaw region, and cause teeth to fall out. Osseous surgery seeks to stop periodontal disease before it progresses to this level.
  • Enhancing the Smile:
    Mouths plagued with periodontal disease are often unsightly. Brown gums, rotting teeth, and ridge indentations can leave a person feeling depressed and too self-conscious to smile. Fortunately, osseous surgery can help reduce bacteria and disease and thereby restore your mouth to its former radiance, while restoring confidence at the same time.
  • Facilitating Home Care:
    As the gum pocket deepens, it can become nearly impossible to brush and floss adequately. Osseous surgery reduces pocket size, making it easier to brush and floss, and thereby prevent further periodontal disease.

What does the procedure entail?

A local anesthetic will be used to numb the area prior to surgery. First, Drs. Noroozi or Pauletto will cut around each tooth of the affected area to release the gum tissue from the bone. This allows access to the bone and roots of the teeth. After the roots have been thoroughly cleaned through scaling, a drill and hand tools will be used to reshape the bone around the teeth. Bone is removed in some areas to restore the normal rise and fall of the bone, but at a lower level. Bone grafting may also be necessary to fill in large defects.

Next, the gums will be placed back over the remaining bone and will be sutured with tiny stitches that are left in place for 5-10 days. The site will also be covered with a bandage (periodontal pack) or dressing. Pain medicine and mouth rinses containing Chlorhexidine are generally prescribed following the surgery.

Do not be alarmed if bleeding and swelling occur after the surgery. This can be controlled easily by placing an ice pack on the outside of the affected area. 

Pocket Reduction Surgery Open Flap Debridement Laser Gum Surgery Dr. Noroozi Periodontist Vancouver Burnaby BC

In cases where the bleeding and swelling is in excess, it is advised that you call to notify our office. Several follow up visits may be necessary and you must fulfill a meticulous maintenance program especially during the initial phases of healing to avoid post-operative infection.

If you have any questions about pocket reduction surgery or treatment for periodontal disease, please contact our practice.

Your Top Periodontal Services & Implants in Burnaby

Accepting new patients. Schedule Your Appointment today!

Our Top Procedures for Your Dental Health

A natural tooth consists of a root and a crown. If you compare natural teeth to implant-supported replacement teeth, you’ll see they have the same basic parts.

Pinhole Surgical Technique, breakthrough gum grafting alternative treatment for gum recessions…

A minimally invasive solution with a fixed full-arch implant restoration for high patient satisfaction, Fixed (Non-removable) Same-Day-Teeth, providing immediate function and aesthetics

Unlike with regular scalpel “gum surgery” there is no cutting of the gum tissues or sewing with stitches, so the whole experience is virtually pain free. Laser

Mehdi Noroozi, Periodontist, Implant Surgeon

For nearly two decades, Dr. Noroozi and his dedicated team have transformed the smiles of thousands of patients, delivering exceptional results with minimal discomfort, fewer complications, and quicker recovery times. As the founder and clinical director of IMPrESS Perio Implant Center, Dr. Noroozi leads a renowned practice specializing in advanced microsurgery and minimally invasive periodontal and dental implant procedures.

Faranak Zaeimdar, Prosthodontist

Dr. Zaeimdar is a Board Certified Specialist in Prosthetic Dentistry.

Nathalie Pauletto, Periodontist

Dr. Pauletto then graduated from the University of British Columbia in 1997, with a combined diploma in the specialty of Periodontics and a Masters of Clinical Dental Science, which involved […]