Gum Grafting for Function & Aesthetics Vancouver Burnaby Periodontist

What Is Gum Recession?

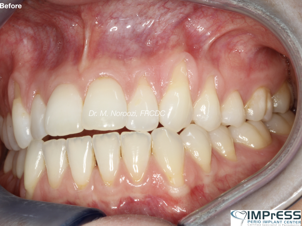
Gum recession occurs when your tooth root becomes exposed and may be a sign of gum disease, which destroys the structures that support your teeth. Dr. Noroozi has helped his patients treat gum tissue loss due to periodontal disease. His restorative procedures help patients regenerate essential gum tissue needed to support and protect the teeth, covering roots exposed by gum recession.

Your Top Periodontal Services & Implants in Burnaby

Accepting new patients. Schedule Your Appointment today!

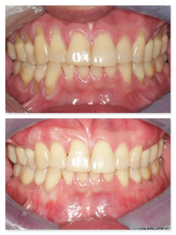
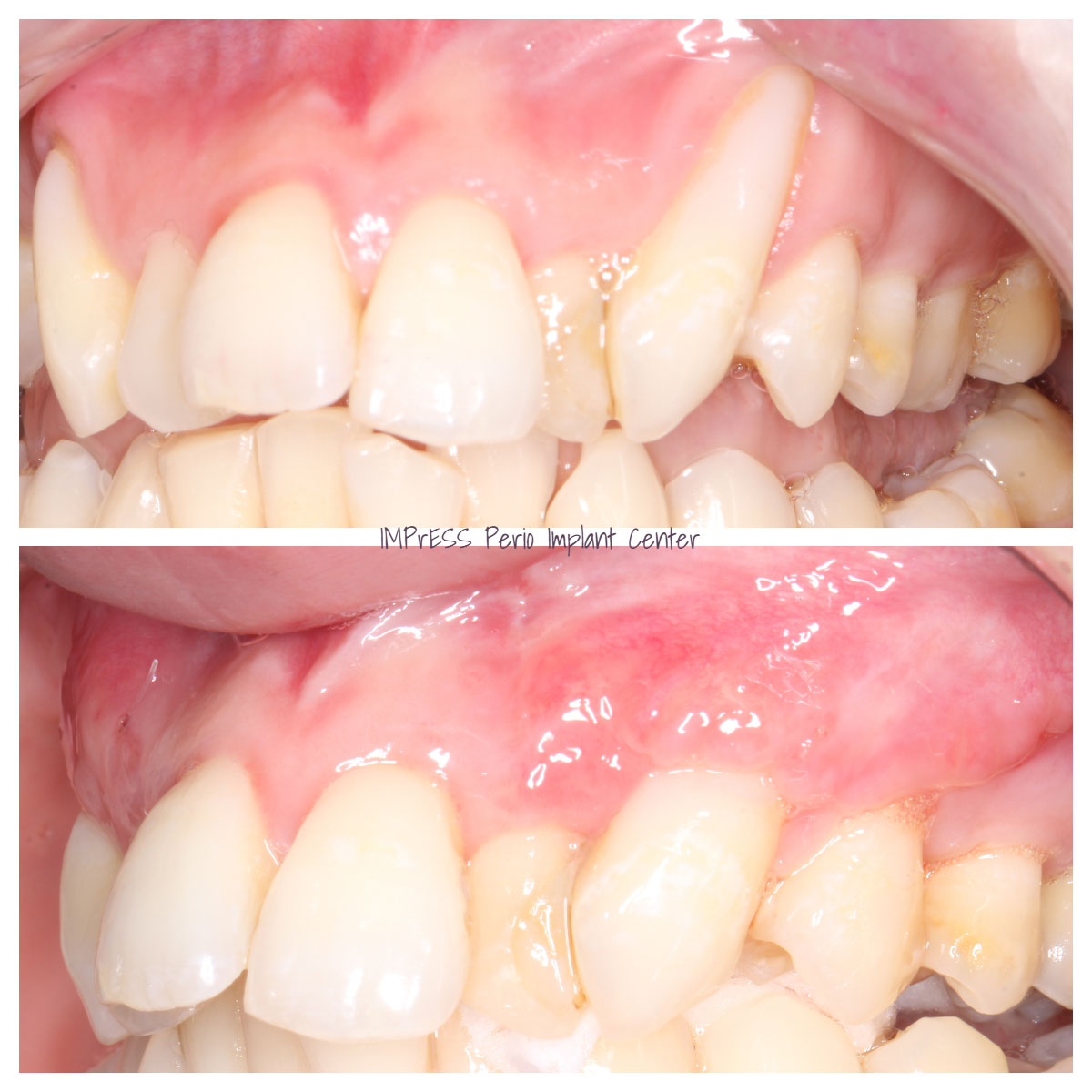
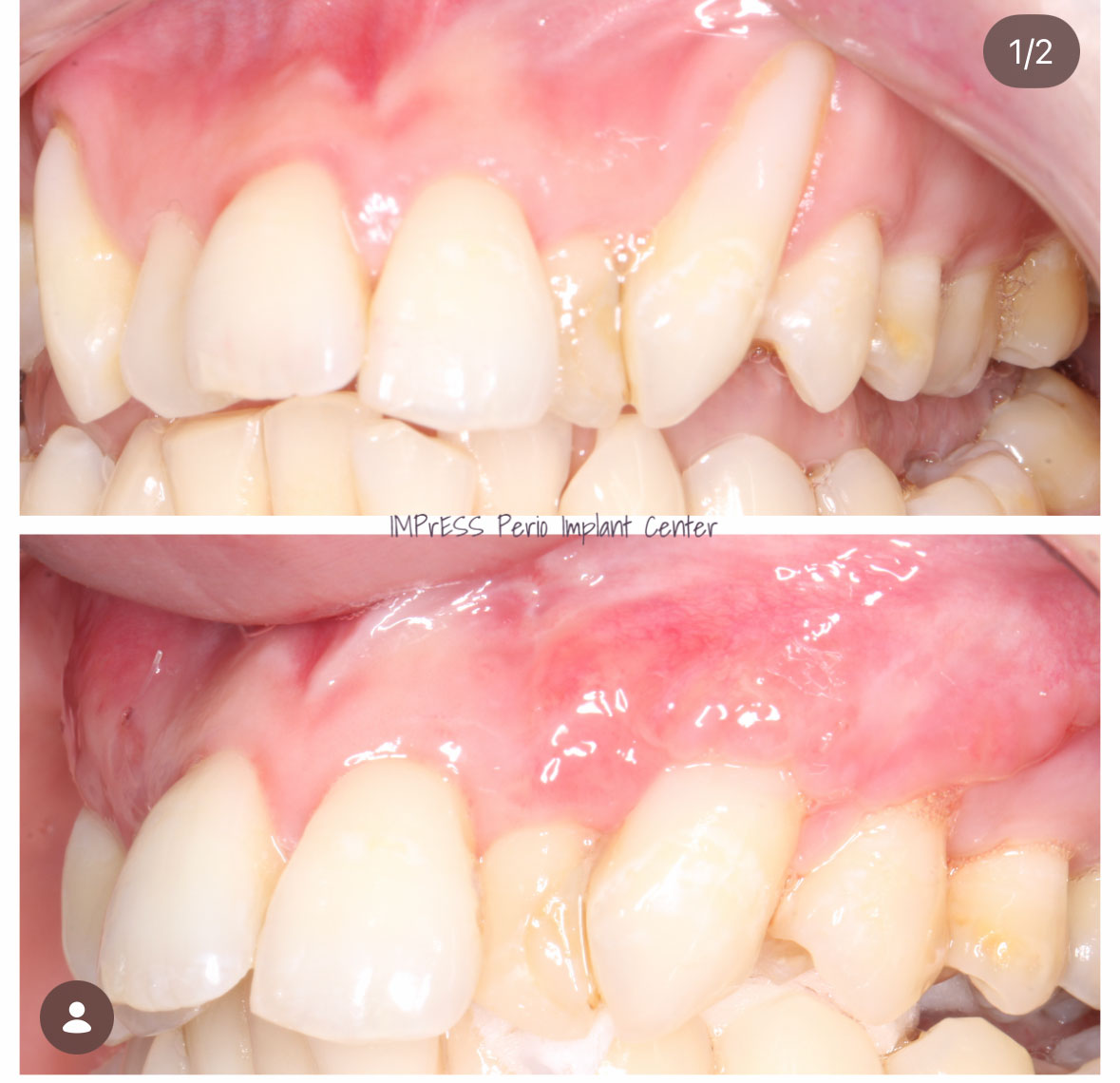
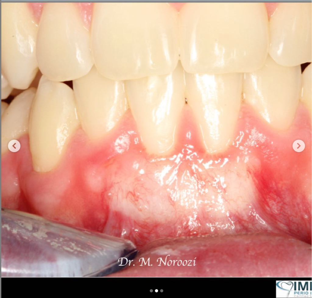
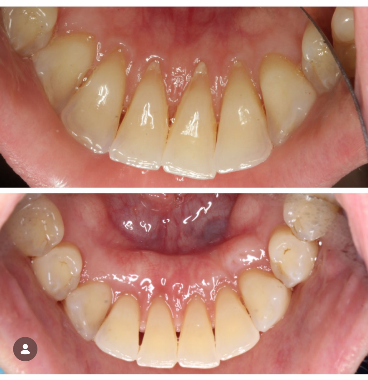
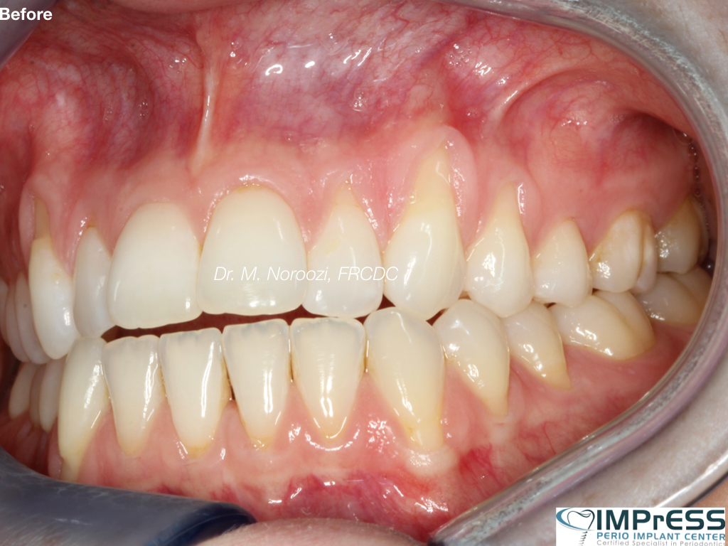
Gum Grafting for Gum Recession Treatment Gingival Graft Dr. Noroozi Vancouver Burnaby Periodontist Gum Specialist

Why Gum Recession Matters?

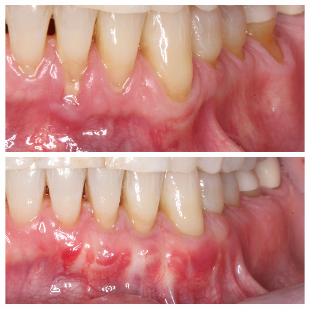
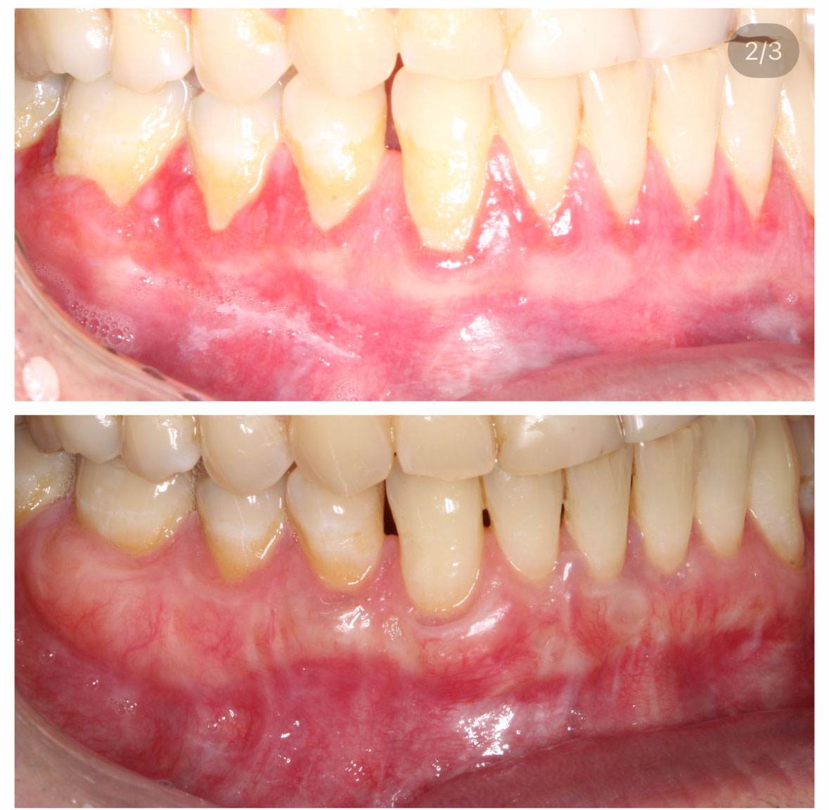
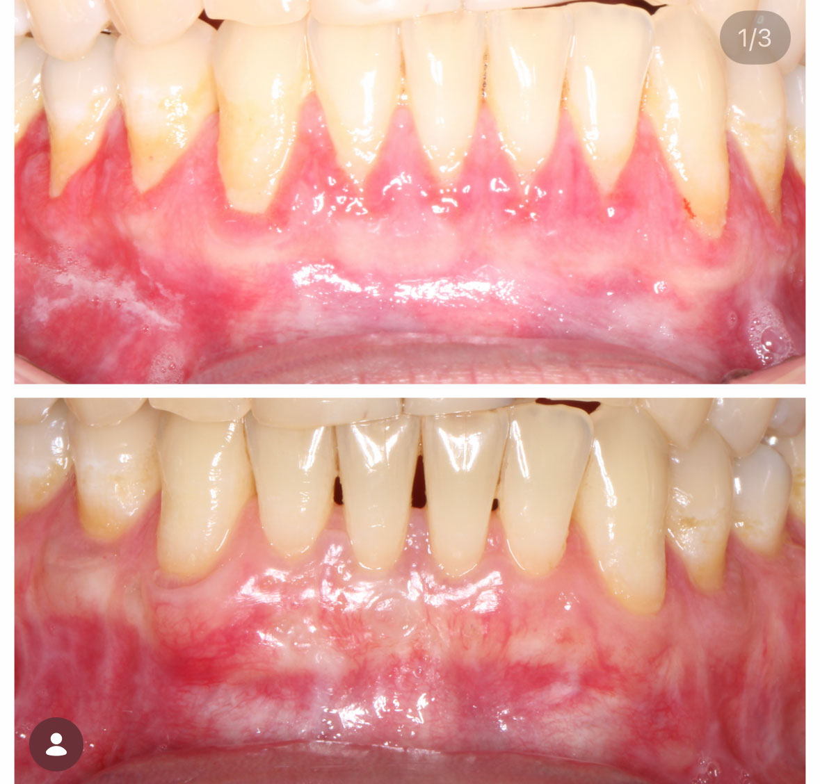
The role of gum tissue is to cover and protect the tooth root and underlying jawbone. When gum tissue recedes, the bone and other tissues that support your tooth’s root are also lost.  The resulting root sensitivity may also make eating and drinking unpleasant or even painful. It’s important to identify and treat recession early. Left unchecked, recession could worsen to a point where the root becomes unprotected and teeth may loosen and fall out. When recession of the gingiva occurs, the body loses a natural defense against both bacterial penetration and trauma. When gum recession is a problem, gum reconstruction using grafting techniques is an option.  A mucogingival defect creates a portal for bacteria to cause a periodontal abscess which can cause bone and tooth loss.

best gum graft for treatment of receding gums Vancouver BC best periodontist Dr. Noroozi IMPrESS Perio

Your Top Periodontal Services & Implants in Burnaby

Accepting new patients. Schedule Your Appointment today!

What Are the Consequences of Gum Recession?

Gum recession is the process in which the margin of the gum tissue that protects the teeth wears away or pulls back exposing more of the tooth root. When gum recession occurs, pockets or gaps form between the teeth and gum line, therefore, making it easy for disease causing bacteria to build up and destroy teeth. If left untreated, the supporting tissue and bone structures of the teeth can be severely damaged and may ultimately result in tooth loss and even severe health consequences.

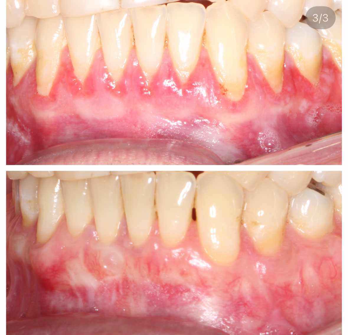
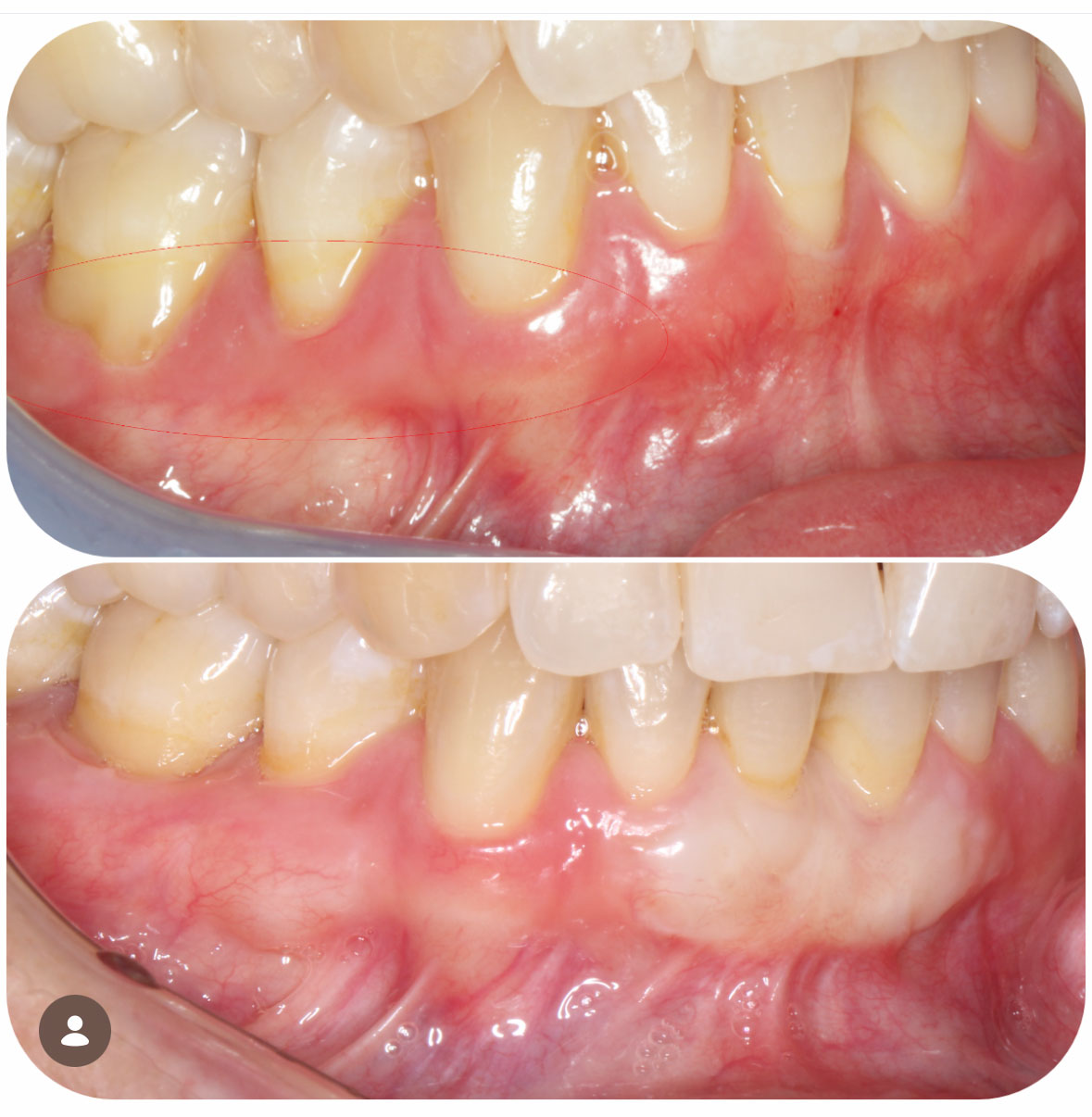
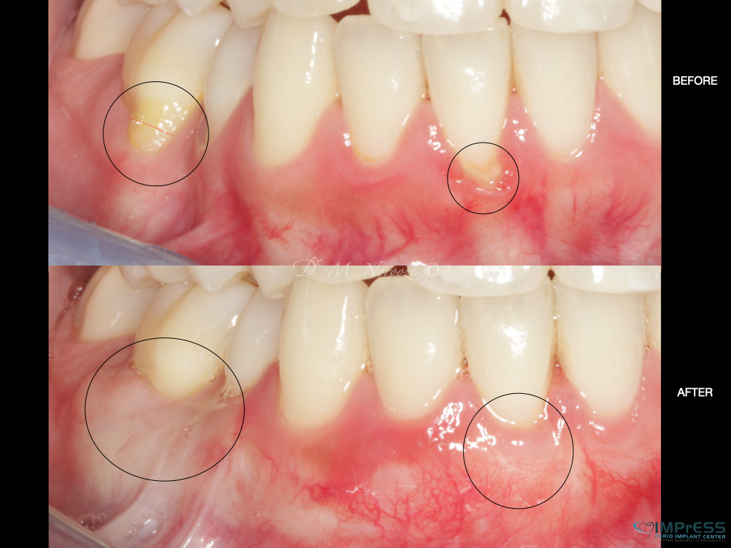
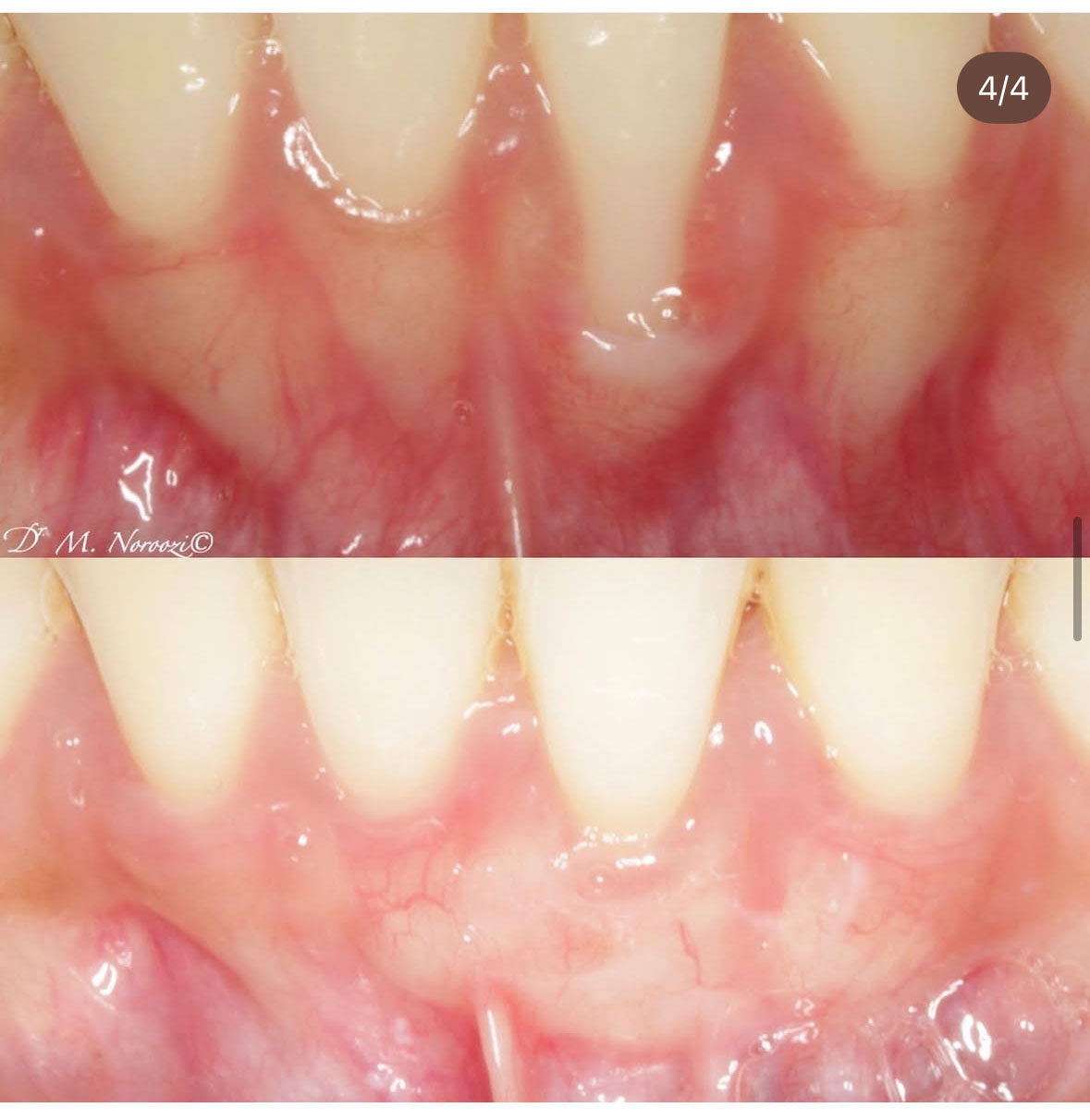
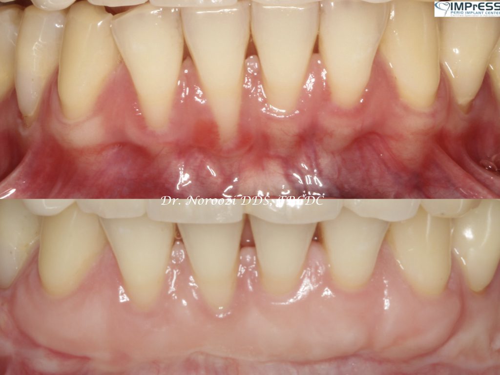
Gum Recession Treatment Gum Graft CTG Tunnel Dr. Noroozi Vancouver Periodontist Implant Specialist IMPrESS Perio Implant Center
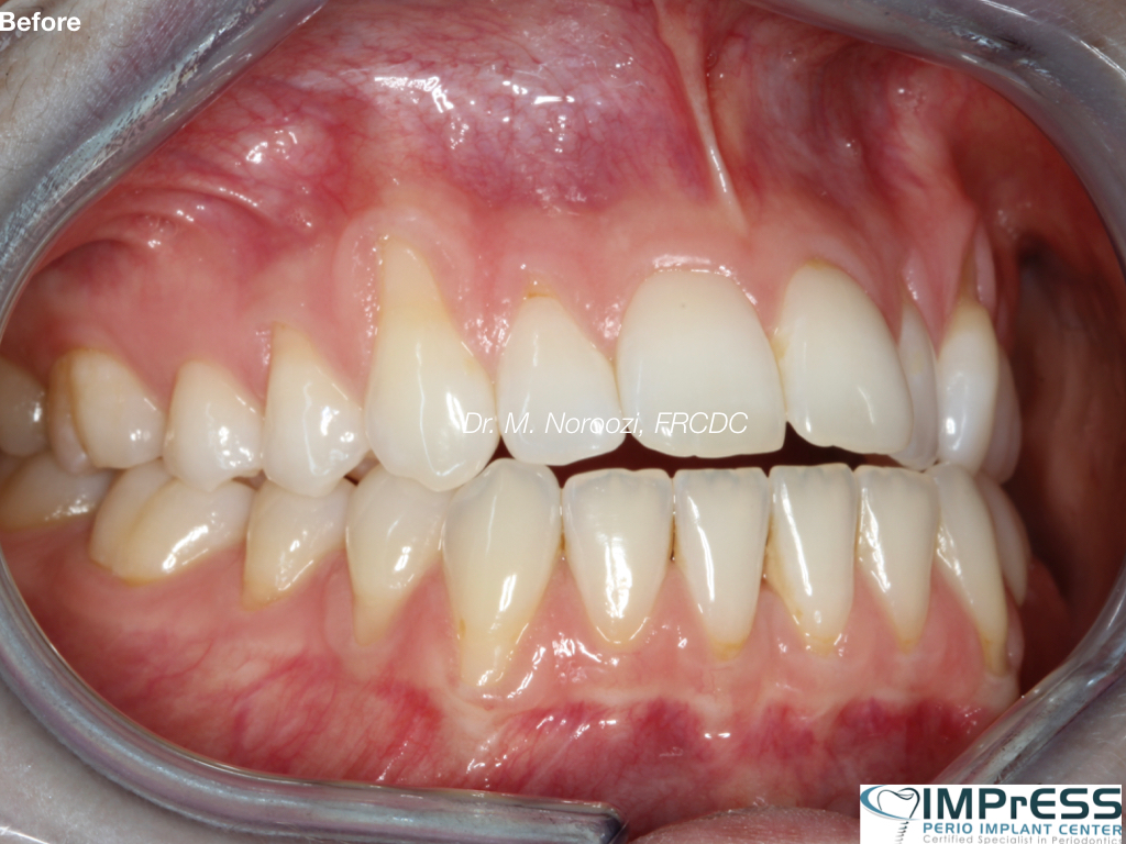
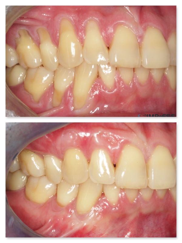
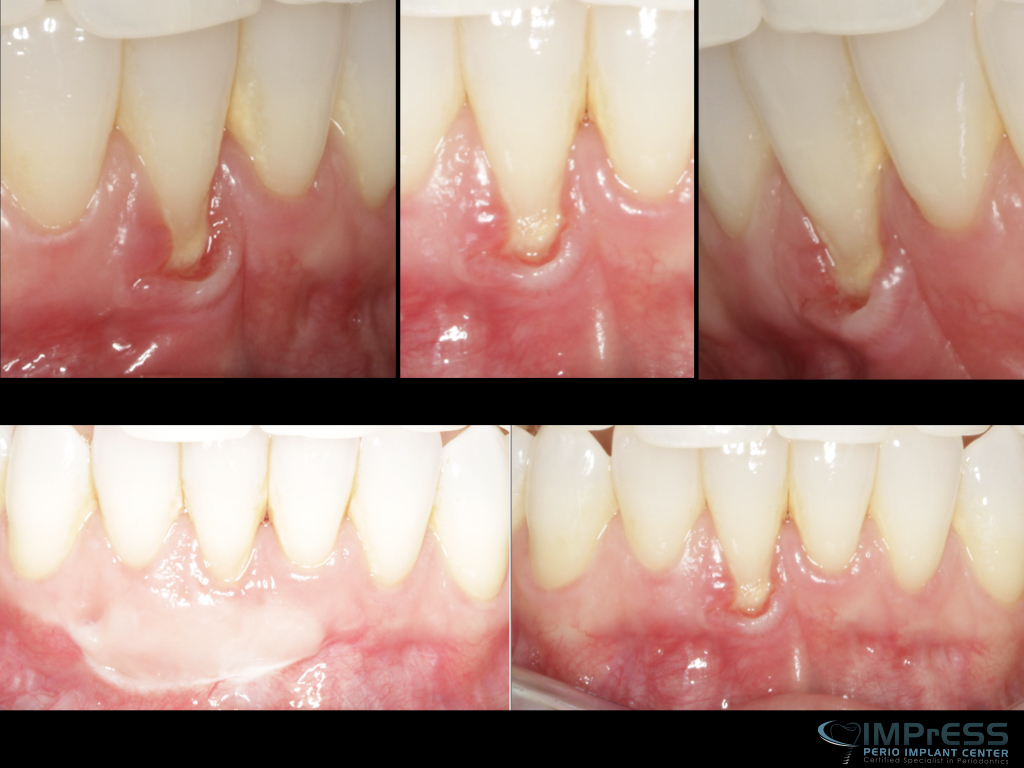
Gum Grafting for Treatment of Gum Recession Dr. Noroozi Periodontist Burnaby Vancouver IMPrESS Perio Implant Center
Gum Grafting for Gurm Recession Treatment IMPrESS Perio

Do not ignore gum recession! Early detection and treatment is essential to maintaining overall health and saving teeth. If you think that your gums are receding make an appointment immediately for an evaluation of your individual case.  

Why Should Gum Recession Be Taken Seriously? The cost of not getting a gum graft done:

When gum recession occurs, the root structure of the tooth becomes exposed. This means that tooth decay and other problems can affect the teeth along the gumline and beneath it. Since healthy gums are essential for a healthy mouth, getting gum recession treated is important for lasting dental wellness.

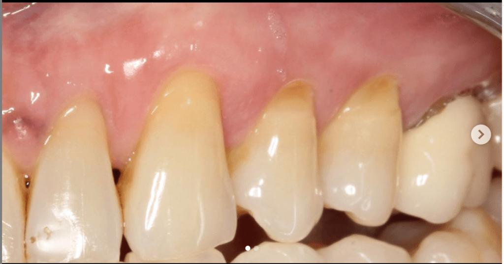
Best Periodontist in Vancouver BC Best Gum Graft Gum recession treatment Burnaby Periodontist Dr. Noroozi IMPrESS Perio Implant Center

Why do gums recede?

  • Aggressive tooth brushing
  • Periodontal diseases
  • Insufficient dental care
  • Hormonal changes
  • Tobacco products
  • Grinding and clenching teeth
  • Crooked teeth or misaligned bite
  • Body piercing of the lip or tongue

Symptoms of Gum Recession:

  • Sensitive teeth
  • Tender gums
  • Longer tooth line
  • Exposed roots
  • Loose teeth

When there is only minor recession, some healthy gingiva often remains and protects the tooth, so that no treatment other than modifying home care practices may be necessary. However, when recession reaches the mucosa, the first line of defense against bacterial penetration is lost. Exposed tooth roots are the result of gum recession. Gum graft surgery will repair the defect and help to prevent additional recession and bone loss. In addition, gum recession often results in root sensitivity to hot and cold foods as well as an unsightly appearance of the gum and tooth. When significant, gum recession can predispose to worsening recession and expose the root surface, which is softer than enamel, leading to root caries and root gouging. 

Functional Reasons for Connective Tissue Gum Graft:

  • Increase gingival attachment
  • Increase tooth support
  • Establish a gingival seal (close the portal for infection)
  • Reduce sensitivity
  • Prevent tooth loss
Best gum graft in Vancouver Burnaby Dr. Noroozi Periodontist
Gum Recession Treatment Gum Graft in Vancouver BC Burnaby BC Dr. Noroozi Periodontist IMPrESS Perio Implant Center

What Are the Benefits of Gum Grafting Surgery in Burnaby BC?

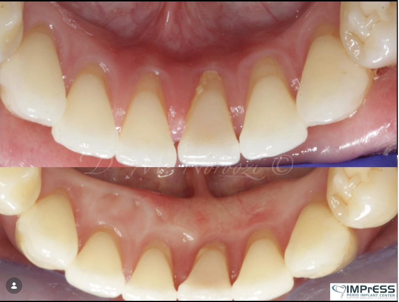
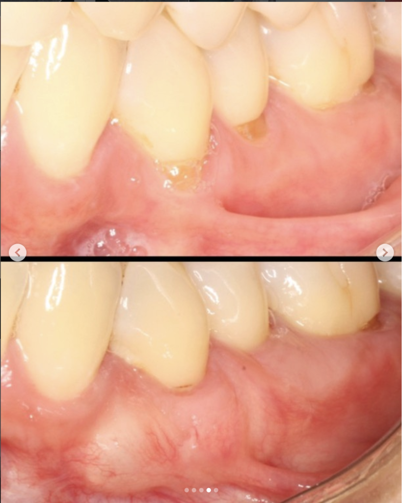
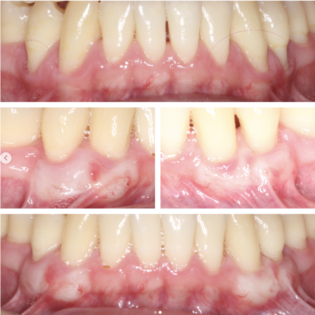
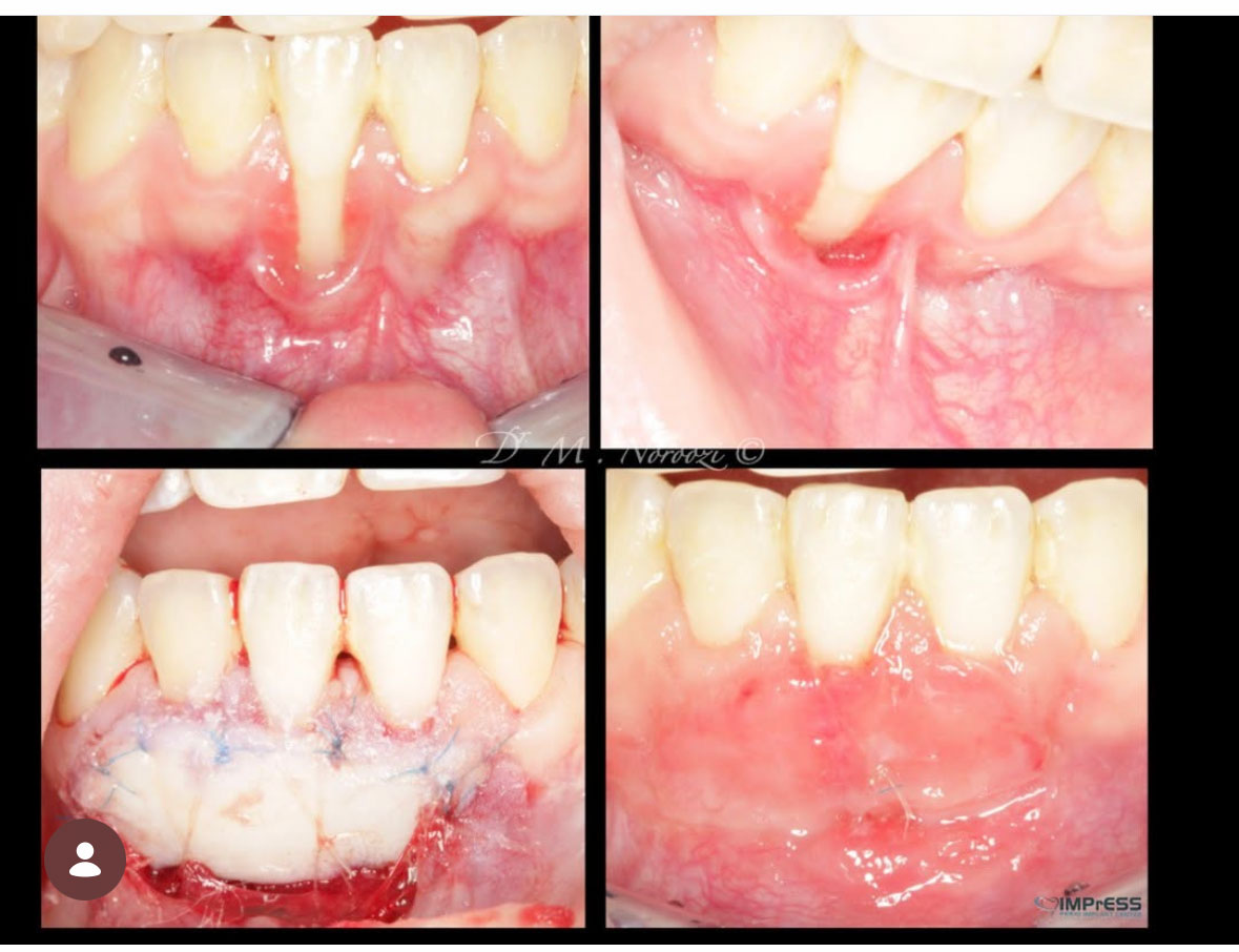
A gum graft can reduce further recession and bone loss. In some cases, it can cover exposed roots to protect them from decay. This may reduce tooth sensitivity and improve esthetics of your smile. Whether you have a gum graft to improve function or esthetics, patients often receive the benefits of both: a beautiful new smile and improved periodontal health – your keys to smiling, eating and speaking with comfort and confidence. Gum grafts can be used to cover roots or develop gum tissue where absent due to excessive gingival recession. During gum graft surgery, your periodontist takes gum tissue from your palate or another donor source to cover the exposed root. This can be done for one tooth or several teeth to even your gum line and reduce sensitivity. The gingival graft procedure is highly predictable and results in a stable, healthy band of attached tissue around the tooth. Gum grafting is a common periodontal procedure. Though the name might sound frightening, the procedure is commonly performed with excellent results and minimal discomfort.

Gum Graft Specialist in Burnaby BC

A gum graft (also known as a gingival graft or periodontal plastic surgery), is a collective name for surgical periodontal procedures that aim to cover an exposed tooth root surface with grafted oral tissue. Exposed tooth roots are usually the result of gingival recession due to periodontal disease.  There are other common causes, including overly aggressive brushing and trauma.

Who provides treatment for gum recession?

Gum graft treatments are usually provided by periodontists because it is technically demanding and requires specialist training.

Some of the Major Benefits Associated with Gum Grafting:

Reduced sensitivity – When the tooth root becomes exposed, eating or drinking hot or cold foods can cause extreme sensitivity to the teeth. Gum grafting surgery permanently covers the exposed root, helps reduce discomfort, and restores the good health of the gums.

Improved appearance – Periodontal disease is characterized by gum recession and inflammation.  Gum recession and root exposure can make the teeth look longer than normal and the smile to appear “toothy.”  Gum grafting can make the teeth look shorter, more symmetrical and generally more pleasing to look at.  In addition, adjacent tissue can be enhanced and augmented during the procedure for aesthetic purposes.

dental gum graft in vancouver bc gum recession treatment vancouver bc periodontist best gum graft dentist

Improved gum health – Periodontal disease can progress and destroy gum tissue very rapidly.  If left untreated, a large amount of gum tissue can be lost in a short period of time.  Gum grafting can help halt tissue and bone loss; preventing further problems and protecting exposed roots from further decay.

 
 

What Does Gum Grafting Treatment Involve?

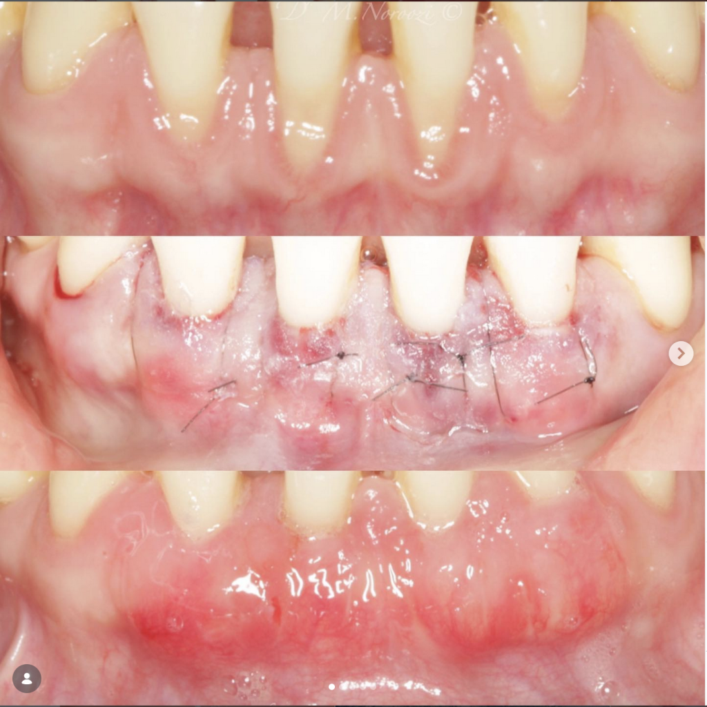
Once the need for gum grafting surgery has been determined, there are several treatments the dentist will want perform before gum grafting takes place.  First, the teeth must be thoroughly cleaned supra and subgingivally to remove calculus (tartar) and bacteria. The dentist can also provide literature, advice and educational tools to increase the effectiveness of home care and help reduce the susceptibility of periodontal disease in the future. The gum grafting procedure is usually performed under local anesthetic.  The exact procedure will depend much on whether tissue is coming from the patient’s palate or a tissue bank. Initially, small incisions will be made at the recipient site to create a small pocket to accommodate the graft.  Then a split thickness incision is made and the connective tissue graft is inserted into the space between the two sections of tissue. The graft is usually slightly larger than the recession area, so some excess will be apparent. Sutures are often placed to further stabilize the graft and to prevent any shifting from the designated site.  Surgical material is used to protect the surgical area during the first week of healing.  Uniformity and healing of the gums will be achieved in approximately six weeks.

Dermal Graft Pinhole Gum Rejuvenation Gum Graft Alternative Dr. Noroozi IMPrESS Perio Vancouver BC
Dermal Graft Pinhole Gum Rejuvenation Gum Graft Alternative Dr. Noroozi IMPrESS Perio Vancouver BC

Some of the Most Common Types of Gum Grafting in Burnaby BC

Free gingival graft – This procedure is often used to thicken gum tissue.  A layer of tissue is removed from the palate and relocated to the area affected by gum recession. Both sites will quickly heal without permanent damage. The soft tissue in the oral cavity is classified as either keratinized or nonkeratinized based on the presence of keratin in the epithelium. In health, the soft tissue immediately around the teeth is keratinized and is referred to as keratinized tissue or gingiva.

Subepithelial connective tissue graft – This procedure is commonly used to cover exposed roots.  Tissue is removed fairly painlessly from the outer layer of the palate and relocated to the site of gum recession.

Acellular dermal matrix allograft – This procedure uses medically processed, donated human tissue as a tissue source for the graft. The advantage of this is procedure is that there is no need for a donor site from the patient’s palate (and thus, less pain).

Pinhole Gum Rejuvenation: graftless, incision free and scalpel free alternative to gum grafting for treatment of receding gums. 

Gingival Graft Best Gum Graft for gum recession treatment Vancouver Burnaby Periodontist Dr. Noroozi IMPrESS Perio Implant Center.001
Pinhole Surgery Gum Graft Alternative Gum recession Vancouver Gum Specialist Dr. Noroozi

Cost of Gum Grafting in Burnaby & Vancouver BC

Every patient & situation is different and there is no way to know until you have a consultation. If you have any questions about gum grafting, please ask our specialist doctors at IMPrESS Perio Implant Center, your local Burnaby Certified Periodontists.

Gum recession treatment in Burnaby BC near Vancouver Best Periodontist Dr. Noroozi IMPrESS Perio Implant Center
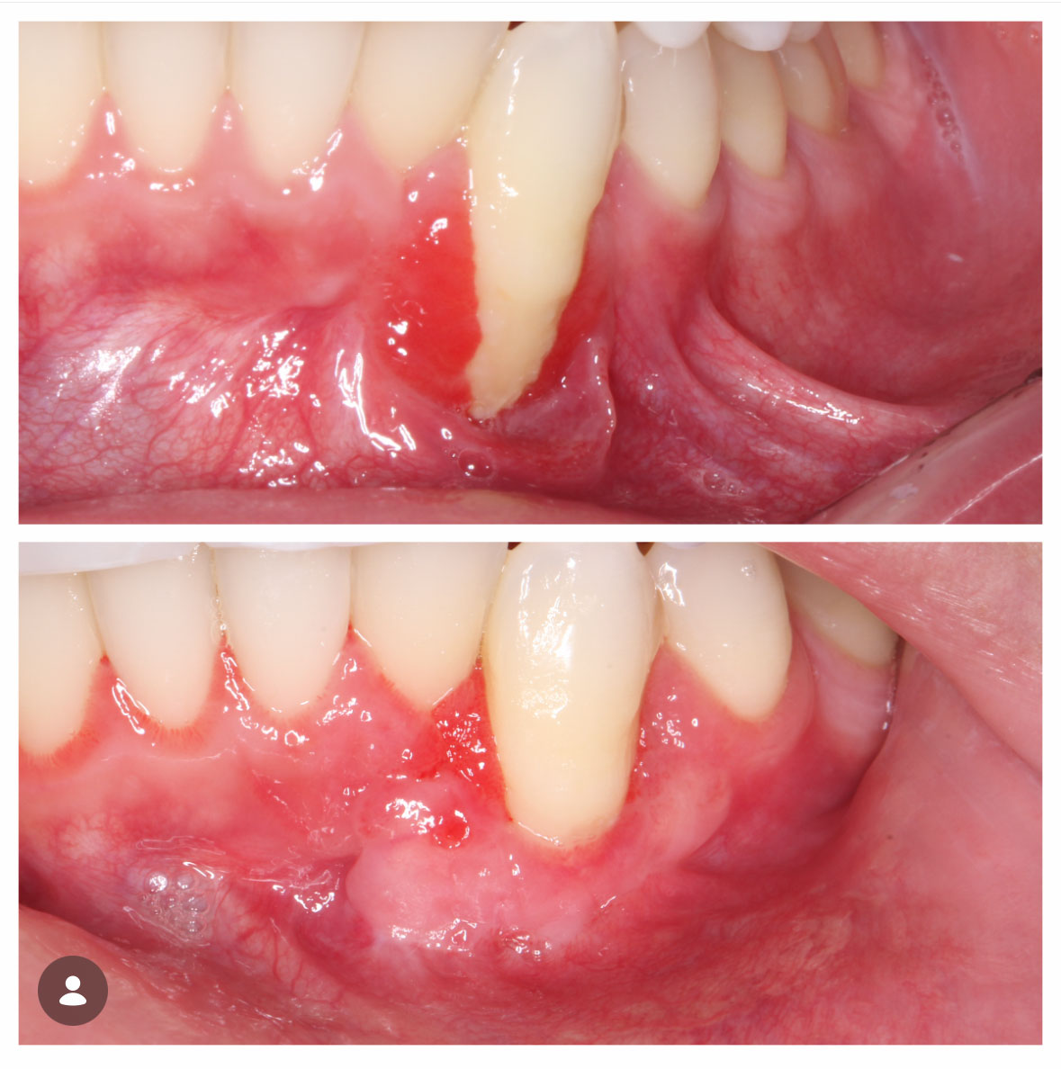
Severe Gum Recession Treatment Gum Grafting Dr. Noroozi IMPrESS Perio Implant Center Vancouver Burnaby Periodontist

Our Top Procedures for Your Dental Health

A natural tooth consists of a root and a crown. If you compare natural teeth to implant-supported replacement teeth, you’ll see they have the same basic parts.

Pinhole Surgical Technique, breakthrough gum grafting alternative treatment for gum recessions…

A minimally invasive solution with a fixed full-arch implant restoration for high patient satisfaction, Fixed (Non-removable) Same-Day-Teeth, providing immediate function and aesthetics

Unlike with regular scalpel “gum surgery” there is no cutting of the gum tissues or sewing with stitches, so the whole experience is virtually pain free. Laser

Mehdi Noroozi, Periodontist, Implant Surgeon

For nearly two decades, Dr. Noroozi and his dedicated team have transformed the smiles of thousands of patients, delivering exceptional results with minimal discomfort, fewer complications, and quicker recovery times. As the founder and clinical director of IMPrESS Perio Implant Center, Dr. Noroozi leads a renowned practice specializing in advanced microsurgery and minimally invasive periodontal and dental implant procedures.

Faranak Zaeimdar, Prosthodontist

Dr. Zaeimdar is a Board Certified Specialist in Prosthetic Dentistry.

Nathalie Pauletto, Periodontist

Dr. Pauletto then graduated from the University of British Columbia in 1997, with a combined diploma in the specialty of Periodontics and a Masters of Clinical Dental Science, which involved […]