Dr. Mehdi Noroozi

Board Certified Specialist in Periodontics & Implant Dentistry, DDS, MSc, Dip. Perio, FRCD(C), DABP

For nearly two decades, Dr. Noroozi and his dedicated team have transformed the smiles of thousands of patients, delivering exceptional results with minimal discomfort, fewer complications, and quicker recovery times. As the founder and clinical director of IMPrESS Perio Implant Center, Dr. Noroozi leads a renowned practice specializing in advanced microsurgery and minimally invasive periodontal and dental implant procedures.

Dr. Mehdi Noroozi Periodontist Implant Specialist IMPrESS Perio Implant Center Vancouver Burnaby BC

Your Top Periodontal Services & Implants in Burnaby

Accepting new patients. Schedule Your Appointment today!

Dr. Noroozi is a board-certified specialist by the Royal College of Dentists of Canada and a diplomate of the American Board of Periodontology. He is an expert in dental implant therapy, periodontal surgery, bone augmentation, and osseous reconstruction. He is also considered a local expert in Alveolar Bone Reconstruction and Soft tissue Grafting.

  • Board Certified Specialist in Periodontics
  • Fellow of the Royal College of Dentists of Canada, FRCD(C)
  • Diplomate of the American Board of Periodontology
  • Clinical Assistant Professor, UBC Faculty of Dentistry
  • Postgraduate Training in Periodontics & Implant Surgery – Diploma in Periodontology (UBC)
  • Diploma in Advanced Bone & Soft Tissue Grafting (IDEA-USA)
  • Advanced Remote Anchorage, Zygoma and Pterygoid Implants (Dallas- Texas USA)
  • Master of Science in Craniofacial Science (UBC)
  • Doctor of Dental Surgery (University of Toronto)

Dr. Mehdi Noroozi is a distinguished Canadian Periodontist, board-certified and fellowship-trained, with a Doctor of Dental Surgery degree from the University of Toronto. Following several years of private practice, he completed an intensive three-year surgical residency at the University of British Columbia, where he earned a Master’s in Craniofacial Science with a focus on dental implantology. He also obtained a specialized diploma in postgraduate periodontics and implant surgery. Throughout his career, Dr. Noroozi has successfully performed thousands of dental implant surgeries, honing his expertise in advanced periodontal and implant therapies.

Dr. Noroozi is a graduate of esteemed advanced courses in bone and soft tissue grafting, including those led by Professor Khoury and Dr. Istvan Urban. His training in microsurgical techniques enhances the aesthetic outcomes, predictability, and comfort of his treatments, ensuring the highest standard of care for his patients. Dr. Noroozi is one of a select group of surgeons with advanced training in the placement of pterygoid implants for comprehensive full-mouth rehabilitation. In addition to offering IV sedation, his practice provides an array of sophisticated periodontal, implant, sinus, and bone grafting procedures.

A recipient of numerous prestigious academic honors, Dr. Noroozi was awarded the Canadian Academy of Periodontology Prize and the William R. Jackson Award for his exceptional clinical abilities. He was also twice recognized with the UBC DMD Graduate Teaching Assistant Award, underscoring his excellence in dental education. As a Fellow of the Royal College of Dentists of Canada and Diplomate of the American Board of Periodontology, he stands as a leader in the fields of implant dentistry and periodontics. He is an active member of several renowned dental organizations, including the Canadian Academy of Periodontology and the American Academy of Periodontology.

Dr. Noroozi is the founder of the EPIC Study Club, a platform dedicated to advancing the education of dental professionals in periodontics and implant dentistry. He has contributed to numerous publications and presented his research internationally, particularly on the outcomes of implant therapy in patients with self-reported penicillin allergies. As a Clinical Assistant Professor at the University of British Columbia, he plays a vital role in shaping the future of periodontal specialists.

In his practice, Dr. Noroozi utilizes cutting-edge technology, such as ultrasonic Piezosurgery for sinus elevation, implant placement, autogenous bone harvesting, and PRF preparation, to achieve optimal treatment outcomes. His expertise extends to the innovative Chao Pinhole Gum Rejuvenation™ technique, which he helped pioneer in Vancouver and Canada, offering patients a minimally invasive solution to gum recession.

Above all, Dr. Noroozi is dedicated to providing exceptional, personalized care, combining his advanced skills with a compassionate approach in a welcoming environment. His commitment to excellence makes him a leading figure in the fields of periodontics and implant dentistry. “Join Dr. Noroozi on Instagram for updates, education, and real patient results.”

List of Publications

Vancouver Burnaby Periodontist Prosthodontist IMPrESS Perio Implant Center

Our Top Procedures for Your Dental Health

A natural tooth consists of a root and a crown. If you compare natural teeth to implant-supported replacement teeth, you’ll see they have the same basic parts.

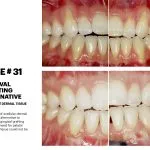
Pinhole Surgical Technique, breakthrough gum grafting alternative treatment for gum recessions…

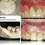
A minimally invasive solution with a fixed full-arch implant restoration for high patient satisfaction, Fixed (Non-removable) Same-Day-Teeth, providing immediate function and aesthetics

Unlike with regular scalpel “gum surgery” there is no cutting of the gum tissues or sewing with stitches, so the whole experience is virtually pain free. Laser