BioClear Black Triangles Treatment in Burnaby BC

Rejuvenate your smile with the better-looking, longer-lasting, less-invasive approach to dental restorations

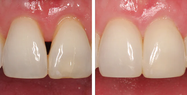
The Bioclear Method is an approach to cosmetic and restorative dentistry used instead of traditional fillings, bonding, or veneers. Bioclear can last longer than traditional composites, porcelain, or amalgams. It looks better too, with a more natural and consistent finish. Full Bioclear rejuvenation including black triangle elimination, instant ortho correction, replaced biting edge with a smooth flowing arc. 

Your Top Periodontal Services & Implants in Burnaby

Accepting new patients. Schedule Your Appointment today!

It’s stronger and longer-lasting

The typical longevity of a composite restoration—like certain cavity fillings—might be two to five years. Traditional composites are applied at room temperature, in successive layers. This not only creates noticeable edges at the gumline, but also weakens the structural integrity of the restoration. After that, they need to be touched up or replaced. There was clearly room for improvement.

Bioclear uses a heated composite made by 3M that is flowed in, rather than layered. Essentially, the material that will form the new tooth structure is combined with a warmed, viscous material that allows it to be flowed into the Bioclear Matrix, creating a single, monolithic fill that is cured (hardened) with light. The result is harder and more structurally sound than layered composite alone. Bioclear restorations typically last fifteen to twenty years or more.

It looks better and more natural

This is due in part to the anatomically shaped Bioclear Matrices, but it also has a lot to do with the final polish.

Even the latest composites may look grainy or have a matte finish compared to the slightly translucent, reflective quality of your natural teeth. Once applied and hardened and dry, these composites are polished with a small sanding bit on a drill. Bioclear applies what we affectionately call the “Rock Star Polish.”

The polishing is done wet, using water and a special slurry, keeping the temperature down and thus maintaining the integrity of the restoration. And the polishing mix itself is made of a safe, food-grade pumice.

It conserves more of your natural tooth structure

Traditional restorations end at the gumline, often creating ridgelines that over time can irritate and inflame the gums. Bioclear restorations start below the gumline (thanks once again to the Bioclear Matrix).

Then there are the preparations! Preparations refer to the process of readying a tooth (or teeth) for restoration. Even today, dentists will remove all existing enamel in order to prep for porcelain veneers. Bioclear preparations only call for removing unhealthy tooth structure: it inherently conserves more of the healthy, original tooth. And care is taken to remove accumulated biofilm—that’s the organic material that collects even on healthy teeth—ensuring that the heated composite adheres directly to your enamel.

What can Bioclear do?

Your Top Periodontal Services & Implants in Burnaby

Accepting new patients. Schedule Your Appointment today!

Our Top Procedures for Your Dental Health

A natural tooth consists of a root and a crown. If you compare natural teeth to implant-supported replacement teeth, you’ll see they have the same basic parts.

Pinhole Surgical Technique, breakthrough gum grafting alternative treatment for gum recessions…

A minimally invasive solution with a fixed full-arch implant restoration for high patient satisfaction, Fixed (Non-removable) Same-Day-Teeth, providing immediate function and aesthetics

Unlike with regular scalpel “gum surgery” there is no cutting of the gum tissues or sewing with stitches, so the whole experience is virtually pain free. Laser

Mehdi Noroozi, Periodontist, Implant Surgeon

For nearly two decades, Dr. Noroozi and his dedicated team have transformed the smiles of thousands of patients, delivering exceptional results with minimal discomfort, fewer complications, and quicker recovery times. As the founder and clinical director of IMPrESS Perio Implant Center, Dr. Noroozi leads a renowned practice specializing in advanced microsurgery and minimally invasive periodontal and dental implant procedures.

Faranak Zaeimdar, Prosthodontist

Dr. Zaeimdar is a Board Certified Specialist in Prosthetic Dentistry.

Nathalie Pauletto, Periodontist

Dr. Pauletto then graduated from the University of British Columbia in 1997, with a combined diploma in the specialty of Periodontics and a Masters of Clinical Dental Science, which involved […]