Dental Crowns in Burnaby, BC

A dental crown should look, feel, and function exactly like a natural tooth. At IMPrESS Dental Group, we use cutting edge materials and techniques to produce crowns with maximum longevity and maximum aesthetic appeal.

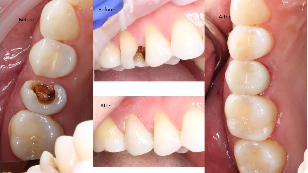
What is a crown?

The “crown” of your tooth is the part that sits above the gum line. When a tooth is damaged by cracks, breakage or excessive decay, or has undergone root canal treatment, we restore that tooth with an artificial crown, made of porcelain, ceramic or porcelain bonded to gold. As prosthodontists, we have extensive training in the production of the most authentic crowns that you will ever see – ours often outlast the typical dental crown by years and sometimes even decades.

How long does a dental crown take?

The procedure usually takes just two visits – the first to place the temporary crown and the second to place the permanent one.

  • Temporary Crown: During the first visit, we will remove decay and shape your tooth to prepare it for the new crown. A dental impression will be taken for the lab and a temporary crown will be placed on your tooth.
  • Permanent Crown: Once we receive your new crown from the lab (typically within 2 weeks), you will return to us for a quick appointment to permanently attach the crown and fit it to perfection!

Your Top Periodontal Services & Implants in Burnaby

Accepting new patients. Schedule Your Appointment today!

Our Top Procedures for Your Dental Health

A natural tooth consists of a root and a crown. If you compare natural teeth to implant-supported replacement teeth, you’ll see they have the same basic parts.

Pinhole Surgical Technique, breakthrough gum grafting alternative treatment for gum recessions…

A minimally invasive solution with a fixed full-arch implant restoration for high patient satisfaction, Fixed (Non-removable) Same-Day-Teeth, providing immediate function and aesthetics

Unlike with regular scalpel “gum surgery” there is no cutting of the gum tissues or sewing with stitches, so the whole experience is virtually pain free. Laser

Mehdi Noroozi, Periodontist, Implant Surgeon

For nearly two decades, Dr. Noroozi and his dedicated team have transformed the smiles of thousands of patients, delivering exceptional results with minimal discomfort, fewer complications, and quicker recovery times. As the founder and clinical director of IMPrESS Perio Implant Center, Dr. Noroozi leads a renowned practice specializing in advanced microsurgery and minimally invasive periodontal and dental implant procedures.

Faranak Zaeimdar, Prosthodontist

Dr. Zaeimdar is a Board Certified Specialist in Prosthetic Dentistry.

Nathalie Pauletto, Periodontist

Dr. Pauletto then graduated from the University of British Columbia in 1997, with a combined diploma in the specialty of Periodontics and a Masters of Clinical Dental Science, which involved […]