Cone Beam CT Scanning & Virtual Implant Planning

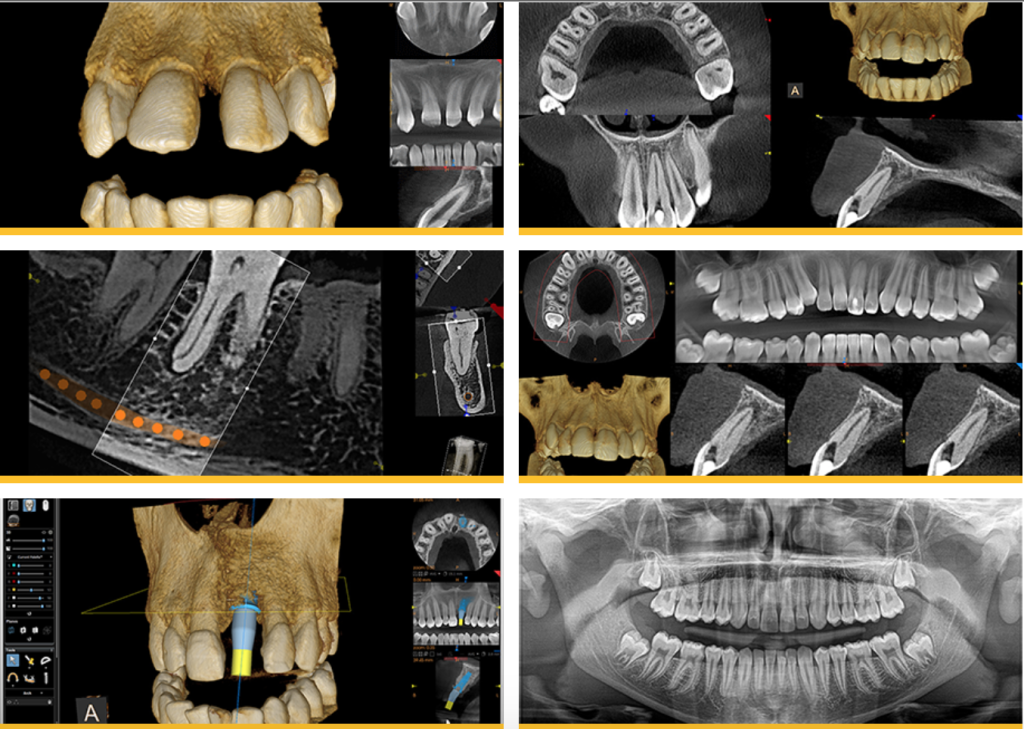
Dental CT 3D imaging is the standard of care in dental implantology. This 3D radiographic image provides a detailed mapping of the anatomy so that implants can be placed more quickly, more accurately, and with a much higher level of comfort and safety. Quality, predictability, and reliability of treatment is our priority at IMPrESS Perio Implant Center. In implant dentistry, we are able to provide all that with the use of the CT scan and planning software in our office.

For the Best Dental Implants in Burnaby! Call Today!

Accepting new patients. Schedule Your Appointment today!

Intraoral Scanner for Digital Impression

Digital impressions represent cutting-edge technology that allows dentists to create a virtual, computer-generated replica of the hard and soft tissues in the mouth using optical scanning devices. The digital technology captures clear and highly accurate impression data in mere minutes, without the need for traditional impression materials that some patients find inconvenient and messy. Many patients find digital impressions an easier and more comfortable procedure because traditional impression materials are avoided. The impression information then is transferred to a computer and used to create restorations, often without the need for stone models.

Digital Implant Dentistry in Burnaby BC, IMPrESS Perio Implant Center

Your Top Periodontal Services & Implants in Burnaby

Accepting new patients. Schedule Your Appointment today!

Our Top Procedures for Your Dental Health

A natural tooth consists of a root and a crown. If you compare natural teeth to implant-supported replacement teeth, you’ll see they have the same basic parts.

Pinhole Surgical Technique, breakthrough gum grafting alternative treatment for gum recessions…

A minimally invasive solution with a fixed full-arch implant restoration for high patient satisfaction, Fixed (Non-removable) Same-Day-Teeth, providing immediate function and aesthetics

Unlike with regular scalpel “gum surgery” there is no cutting of the gum tissues or sewing with stitches, so the whole experience is virtually pain free. Laser

Mehdi Noroozi, Periodontist, Implant Surgeon

For nearly two decades, Dr. Noroozi and his dedicated team have transformed the smiles of thousands of patients, delivering exceptional results with minimal discomfort, fewer complications, and quicker recovery times. As the founder and clinical director of IMPrESS Perio Implant Center, Dr. Noroozi leads a renowned practice specializing in advanced microsurgery and minimally invasive periodontal and dental implant procedures.

Faranak Zaeimdar, Prosthodontist

Dr. Zaeimdar is a Board Certified Specialist in Prosthetic Dentistry.

Nathalie Pauletto, Periodontist

Dr. Pauletto then graduated from the University of British Columbia in 1997, with a combined diploma in the specialty of Periodontics and a Masters of Clinical Dental Science, which involved […]