Replacing Lost Teeth With Dental Implants Vancouver | Burnaby

If all of your teeth are missing in the upper or lower jaw, dental implants are the best solution. You can choose a full bridge that is attached to several dental implants. Another option is a removable prosthesis that is attached via anchoring devices to two or more dental implants. The prosthesis remains securely in place in your mouth, yet it is easy to remove.

For the Best Dental Implants in Burnaby! Call Today!

Accepting new patients. Schedule Your Appointment today!

All on X implant Full Mouth Implant Reconstruction All on 4 Implants IMPrESS Perio Implant Center Vancouver Burnaby Periodontist Prosthodontist Implant Specialist Dr. Noroozi Periodontist Implant Specialist
All on 4 All on 6 implants Teeth in a day Full Implant Denture IMPrESS Perio Implant Center Dr. Noroozi Vancouver Implant Specialist
All On X Full Mouth Implants Fixed Teeth IMPrESS Perio Implant Centre Dr Noroozi Burnaby Vancouver BC
Teeth in one day full mouth dental implants Implant teeth impress perio implant center Dr. Noroozi

Step-by-Step Fixed Option

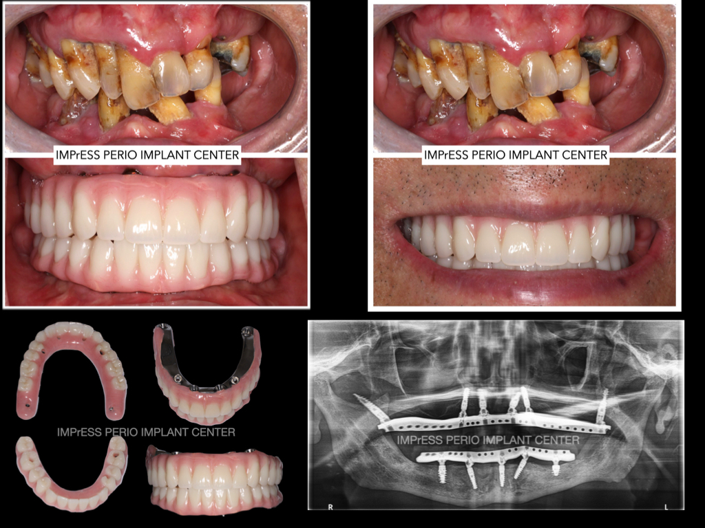
Step 1: If you have lost all of your teeth in one or both of jaws and require the most natural-looking solution, the permanently anchored dental implant bridge on several dental implants is the answer when the prerequisites are met.

Step 2: For a permanently anchored dental implant bridge, several dental implants are installed to form a good foundation. Because the dental implants are anchored in the jawbone, they stimulate the bone tissue and help to maintain healthy bone levels and facial structure

Step 3: The abutments are attached to the dental implants and the bridge is fitted in place. All dental work is performed according to your prerequisites and wishes.

Step 4: The dental implant bridge is now in place. It looks and functions like normal teeth. You can now eat whatever you like and laugh without having to worry about the prosthesis falling out.

Fixed Implant Denture Burnaby BC IMPrESS Perio Implant Center
Fixed Implant Denture Burnaby BC IMPrESS Perio Implant Center

Your Top Periodontal Services & Implants in Burnaby

Accepting new patients. Schedule Your Appointment today!

  • Step 1: If you have lost all of your teeth in one or both jaws and require a removable prosthesis that remains in place more firmly than a conventional removable prosthesis, the overdenture connected to two or more implants is the answer when the prerequisites are met. 
  • Step 2: An overdenture involves installing two or more dental implants that will be used as a secure foundation to attach the prosthesis.
  • Step 3: For the overdenture, either ball abutments or a small bar between the abutments are used. The prosthesis is fitted with corresponding devices underneath.
  • Step 4: The overdenture is now in place. It looks and functions like normal teeth. You can now eat whatever you like and laugh without having to worry about the prosthesis falling out.
All on X Full Mouth Implant Rehabilitation IMPrESS Perio Implant Center Dr. Noroozi Implant Specialist Burnaby

Missing All Lower and/or Upper Teeth, What is the All-on-4® treatment concept in Vancouver BC?

All-On-Four Implant Teeth in One Day Vancouver Burnaby BC
All-On-Four Teeth in One Day Vancouver Burnaby BCAll-On-Four Teeth in One Day Vancouver Burnaby BC
All on Four Implants Vancouver Burnaby BC Teeth in a day IMPrESS Perio Implant Center Dr. Noroozi

Ball Attachment Denture

One option is to have two implants placed in your lower jaw and a denture made that snaps onto these implants. This option allows your lower denture to be more stable while chewing than without implants. However, there will still be movement of your lower denture, and sore spots will occur if any food particles, especially seeds, are caught under it. As with all removable replacement teeth, you still will need periodic appointments for denture adjustment.

1. Before
2. Implants Placed
3. Denture Attached

Bar Attachment Denture

Another option involves placing four to six implants, depending on your jaw size or shape, into your lower jaw. After healing is complete, the implants are connected with a custom-made support bar. Your denture will be made with special internal retention clips that attach onto the support bar, enabling the denture to snap firmly into place. This is called an “overdenture.” The advantage of this option is that it is much more stable than the first option and allows very little denture movement. Your denture is still removable for easy cleaning and maintenance.

1. Before
2. Implants Placed
3. Denture Attached

Screw Retained Denture

A third option involves placing five or more implants in your jaw and attaching a permanent denture. Your denture is held in place by screws or clasps that secure it to the support posts or bar. It doesn’t touch the gum tissue, which allows you to clean under the denture without removing it. This denture will replace all your missing lower teeth and will not be removed except at maintenance visits. Although cleaning under your denture without removing it is more time consuming and requires more dexterity, many patients who want a permanent denture prefer this option.

1. Before
2. Implants Placed
3. Denture Attached

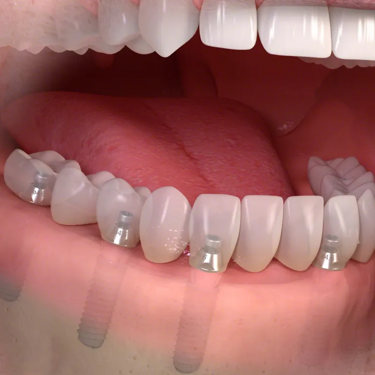
Individual Implants

The final option is to have all your teeth individually replaced so that they will appear to be growing out of your gum tissue and will most closely resemble the appearance of your natural teeth. This option usually requires eight or more implants. Separate abutments or support posts for each one of these implants will be made and crowns for each missing tooth will be placed. The teeth are often joined together for sinus grafting to replace bone height strength and support. Overall, this is the most costly option, because it requires the most implants and individual replacement tooth fabrication. Your replacement options may also be limited by the current size and shape of your jaw bone.

1. Before
2. Implants Placed
3. Denture Attached

What If I’m Missing All Of My Upper Teeth?

A similar range of treatment options is also available for your upper jaw. However, because the bone is not as hard as that in the lower jaw, people often need more implants to support their new replacement teeth. Depending upon the number of implants to be placed, it may be possible to eliminate the need for covering the roof of your mouth with a complete denture. This option allows you to fully taste your food and gives you a better sense of its temperature. Your denture will feel more natural. You will still have a removable denture, which makes cleaning the support bar and denture much easier.

Full Mouth Implant Rehabilitation IMPrESS Perio Implant Center Dr. Noroozi implant Specialist Burnaby Vancouver BC

Implant Retained Upper Denture

Depending upon the number of implants to be placed, it may be possible to eliminate the need for covering the roof of your mouth with a complete denture. This option allows you to fully taste your food and gives you a better sense of its temperature. Your denture will feel more natural. You will still have a removable denture, which makes cleaning the support bar and denture much easier.

Individual Upper Implants

If you want a restoration that is similar to your natural teeth and therefore not removable, you probably will need eight to ten individual implants placed. This is followed after healing by the placement of the abutments and new replacement crowns.

Our Top Procedures for Your Dental Health

A natural tooth consists of a root and a crown. If you compare natural teeth to implant-supported replacement teeth, you’ll see they have the same basic parts.

Pinhole Surgical Technique, breakthrough gum grafting alternative treatment for gum recessions…

A minimally invasive solution with a fixed full-arch implant restoration for high patient satisfaction, Fixed (Non-removable) Same-Day-Teeth, providing immediate function and aesthetics

Unlike with regular scalpel “gum surgery” there is no cutting of the gum tissues or sewing with stitches, so the whole experience is virtually pain free. Laser

Mehdi Noroozi, Periodontist, Implant Surgeon

For nearly two decades, Dr. Noroozi and his dedicated team have transformed the smiles of thousands of patients, delivering exceptional results with minimal discomfort, fewer complications, and quicker recovery times. As the founder and clinical director of IMPrESS Perio Implant Center, Dr. Noroozi leads a renowned practice specializing in advanced microsurgery and minimally invasive periodontal and dental implant procedures.

Faranak Zaeimdar, Prosthodontist

Dr. Zaeimdar is a Board Certified Specialist in Prosthetic Dentistry.

Nathalie Pauletto, Periodontist

Dr. Pauletto then graduated from the University of British Columbia in 1997, with a combined diploma in the specialty of Periodontics and a Masters of Clinical Dental Science, which involved […]