Pinhole Surgical Technique™ Burnaby | Vancouver

What is Pinhole Surgical Technique™?

Smile Enhancement & Gum Rejuvenation

Dr. Mehdi Noroozi, certified Pinhole clinician, performs revolutionary Pinhole® Surgical Technique with application of allograft dermal matrix as an alternative to traditional gum grafting at IMPrESS Perio Implant Center located in Burnaby BC for treatment of gum recessions predictably, safely and minimally invasive. Learn more about our specialist here.

Gum recession breakthrough treatment also known as Pinhole Gum Rejuvenation and Lunchtime Gum Lift is a procedure in which Dr. Noroozi, the certified Pinhole specialist at IMPrESS Perio Implant Center, Burnaby BC, uses specialized instruments to make a small hole in your gum and add collagen material which stabilizes the area of gum recession. This new method is simple, graft-free, scalpel free, and minimally invasive. PST™ was developed and patented by John Chao, D.D.S. It has been featured in the International Journal of Periodontics, one of the most prestigious dentistry journals in the world. 

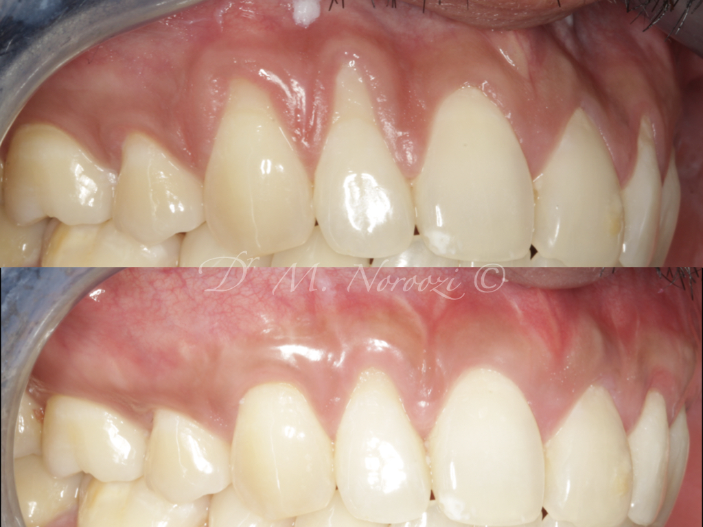
Best Gum Graft Alternative with Dermal graft to treat gum recession Dr. Noroozi Vancouver Periodontist IMPrESS Perio Implant
Pinhole Gum Rejuvenation Allograft Dermal Tissue Dr. Noroozi Periodontist IMPrESS Perio Implant Center Vancouver Burnaby BC
Pinhole Gum Rejuvenation Allograft Dermal Tissue Gum Graft Alternative Dr. Noroozi IMPrESS Perio Implant Center Periodontist in Vancouver Burnaby

What is gum recession?

Gum recession refers to the loss of gum tissue along the gumline. This can occur as a result of periodontal disease (gingivitis, periodontitis, advanced periodontitis), the natural aging process, or abrasive habits when it comes to brushing the teeth. Gum recession is a common dental problem and most people do not know that they have gum recession because it occurs gradually. The first sign of gum recession is usually tooth sensitivity or you may notice teeth that look longer than normal. Typically a notch can be felt near the gum line.

What are the consequences of gum recession?

Recession is the process in which the margin of the gum tissue that protects the teeth wears away or pulls back exposing more of the tooth root. When gum recession occurs, pockets or gaps form between the teeth and gum line, therefore, making it easy for disease-causing bacteria to build up and destroy teeth. If left untreated, the supporting tissue and bone structures of the teeth can be severely damaged and may ultimately result in tooth loss and even severe health consequences. Do not ignore the gum recession! Early detection and treatment are essential to maintaining overall health and saving teeth. If you think that your gums are receding make an appointment immediately for an evaluation of your individual case.

Gum Graft Alternative Pinhole Surgical Technique Alloderm Dr. Noroozi Periodontist Vancouver

Why should gum recession be taken seriously?

When gum recession occurs, the root structure of the tooth becomes exposed. This means that tooth decay and other problems can affect the teeth along the gumline and beneath it. Since healthy gums are essential for a healthy mouth, getting gum recession treated is important for lasting dental wellness.

Pinhole Gum Surgery Gum Graft Alternative Alloderm Vancouver Periodontist Dr. Noroozi IMPrESS Perio Implant Center Gum Recession Treatment
What is Pinhole Surgical Technique™ in Vancouver BC?
Dermal Graft Pinhole Gum Rejuvenation Gum Graft Alternative Dr. Noroozi IMPrESS Perio Vancouver BC

Why do we get gum recession?

While gum recession is usually viewed as one of the symptoms of gum disease, it can also be caused by insufficient tooth brushing, overly aggressive tooth brushing, or from certain medications that can affect gum health. Gum recession can even be caused by orthodontic treatments and appliances like braces or retainers. Some of the reasons we get gum recessions are:

  • Genetically thin phenotype
  • Aggressive tooth brushing
  • Periodontal diseases
  • Insufficient dental care
  • Hormonal changes
  • Tobacco products
  • Grinding and clenching teeth
  • Crooked teeth or a misaligned bite
  • Body piercing of the lip or tongue
  • Orthodontic expansion

Why choose Pinhole ®Surgical Technique (PST™) in Vancouver, BC?

Unlike gum grafting, The Pinhole Surgery Technique™ is minimally invasive and does not cut gum tissue, making it a much less painful option. Gum recession was traditionally treated using a connective tissue graft, which “harvests” gum tissue from the roof of the mouth and then sutures it to the affected area. Connective tissue grafts have a recovery period of up to three weeks and patients may experience side effects including gum pain, swelling, and bleeding. Palatal tissue grafts (tissue is taken from the roof of your mouth) also may have a different esthetic appearance than normal gum tissue, as the color and texture of roof tissue does not match that of your gums. 

Benefits of Pinhole Surgical Technique™ (Gum Lift) in Burnaby, BC

  • Can correct gum recession in as little as one treatment session.
  • Less discomfort for the patient after treatment
  • Faster recovery for the patient than traditional grafting
  • No need for scalpels or invasive surgical tools
  • No need to take donor tissue from the patient’s palate
  • Excellent, natural-looking, long-lasting results
  • It can prevent tooth loss and the need for other costly procedures such as implants or dentures.
  • Treatment sessions can be completed in as little as 1 to 2 hours in many cases.
  • It can enhance a more youthful and attractive appearance.
  • Patients often describe feeling happier due to being able to smile without the shame or guilt associated with ugly receded gums.
  • Most patients are back to normal light activities within 24 to 48 hours post-procedure.

How does the Chao Pinhole® Surgical Technique (PST) differ from traditional gum grafting?

Traditional gum recession treatments involve the use of donor tissue or soft tissue grafts in order to rebuild the gumline. This soft tissue would be sutured in place and would join with existing gum tissue as it healed. While this traditional grafting treatment is effective, comparable results with better patient experience can be achieved through the Chao Pinhole® Surgical Technique.

Pinhole Surgery Gum Rejuvenation Dr. Mehdi Noroozi Burnaby BC Periodontist
Pinhole Gum Rejuvenation Dr. Mehdi Noroozi Burnaby Periodontist IMPrESS Perio Implant Center

How is the Pinhole® Surgical Technique (PST) performed in Vancouver & Burnaby, BC?

During the Chao Pinhole® Surgical Technique, a needle is used to make a small hole in the patient’s existing gum tissue. Through this pinhole, special instruments are used to gently loosen the gum tissue. These tools help expand and slide the gumline to cover the exposed root structure. There are no grafts, no or minimal sutures, and no incisions needed with the Chao Pinhole® Surgical Technique. It simply involves the adjustment of the existing tissue and thickening of the gingival biotype (Gum) through the placement of collagen or acellular dermal matrix (alloderm).

If you have any concerns about possible gum recession or are worried about gum grafting, contact our office today to schedule an appointment with Dr. Mehdi Noroozi, the certified periodontist in the Pinhole Surgical Technique. We will be happy to discuss the details and benefits of the Pinhole Surgical Technique PST™.

Pinhole Surgery Patient_Brochure

Pinhole Surgery-INSTRUCTIONS

Pinhole Surgical Technique Publication

Gum Graft Alternative Allograft Donor tissue Straumann Vancouver BC Canada
General Disclaimer: The results in the photographs are examples only and do not imply any certainty of the result of a procedure, and all outcomes are subject to the circumstances of the individual patient.

Our Top Procedures for Your Dental Health

A natural tooth consists of a root and a crown. If you compare natural teeth to implant-supported replacement teeth, you’ll see they have the same basic parts.

Pinhole Surgical Technique, breakthrough gum grafting alternative treatment for gum recessions…

A minimally invasive solution with a fixed full-arch implant restoration for high patient satisfaction, Fixed (Non-removable) Same-Day-Teeth, providing immediate function and aesthetics

Unlike with regular scalpel “gum surgery” there is no cutting of the gum tissues or sewing with stitches, so the whole experience is virtually pain free. Laser

Mehdi Noroozi, Periodontist, Implant Surgeon

For nearly two decades, Dr. Noroozi and his dedicated team have transformed the smiles of thousands of patients, delivering exceptional results with minimal discomfort, fewer complications, and quicker recovery times. As the founder and clinical director of IMPrESS Perio Implant Center, Dr. Noroozi leads a renowned practice specializing in advanced microsurgery and minimally invasive periodontal and dental implant procedures.

Faranak Zaeimdar, Prosthodontist

Dr. Zaeimdar is a Board Certified Specialist in Prosthetic Dentistry.

Nathalie Pauletto, Periodontist

Dr. Pauletto then graduated from the University of British Columbia in 1997, with a combined diploma in the specialty of Periodontics and a Masters of Clinical Dental Science, which involved […]